Lo más leído

  1. Farmacia
  2. Actualidad
  3. Investigación
  4. Investigación
  5. Investigación
  6. Investigación
  7. Investigación
  8. Investigación
  9. Investigación
  10. Mayores
  11. Investigación
  12. Investigación
  13. Asistencia
  14. Farmacia
  15. Investigación
  16. Investigación
  17. Nutrición
  18. Investigación
  19. Investigación
  20. Investigación

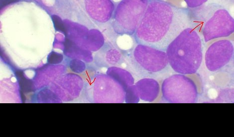
Consiguen cargar células CAR-T con virus oncolíticos para tratar tumores sólidos

Asistencia
Los investigadores del Centro de Medicina Individualizada de la Clínica Mayo, en Estados Unidos, han ideado una técnica de inmunoterapia que combina el tratamiento con células T de receptores de antígenos quiméricos, o terapia celular CAR-T, con un virus que mata el cáncer para atacar y tratar más eficazmente los tumores de cáncer sólido.