La incidencia de la tuberculosis en España no retrocede

Infosalus
Actualizado: viernes, 20 marzo 2009 11:42

BARCELONA 20 Mar. (EUROPA PRESS) -

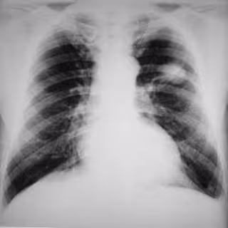
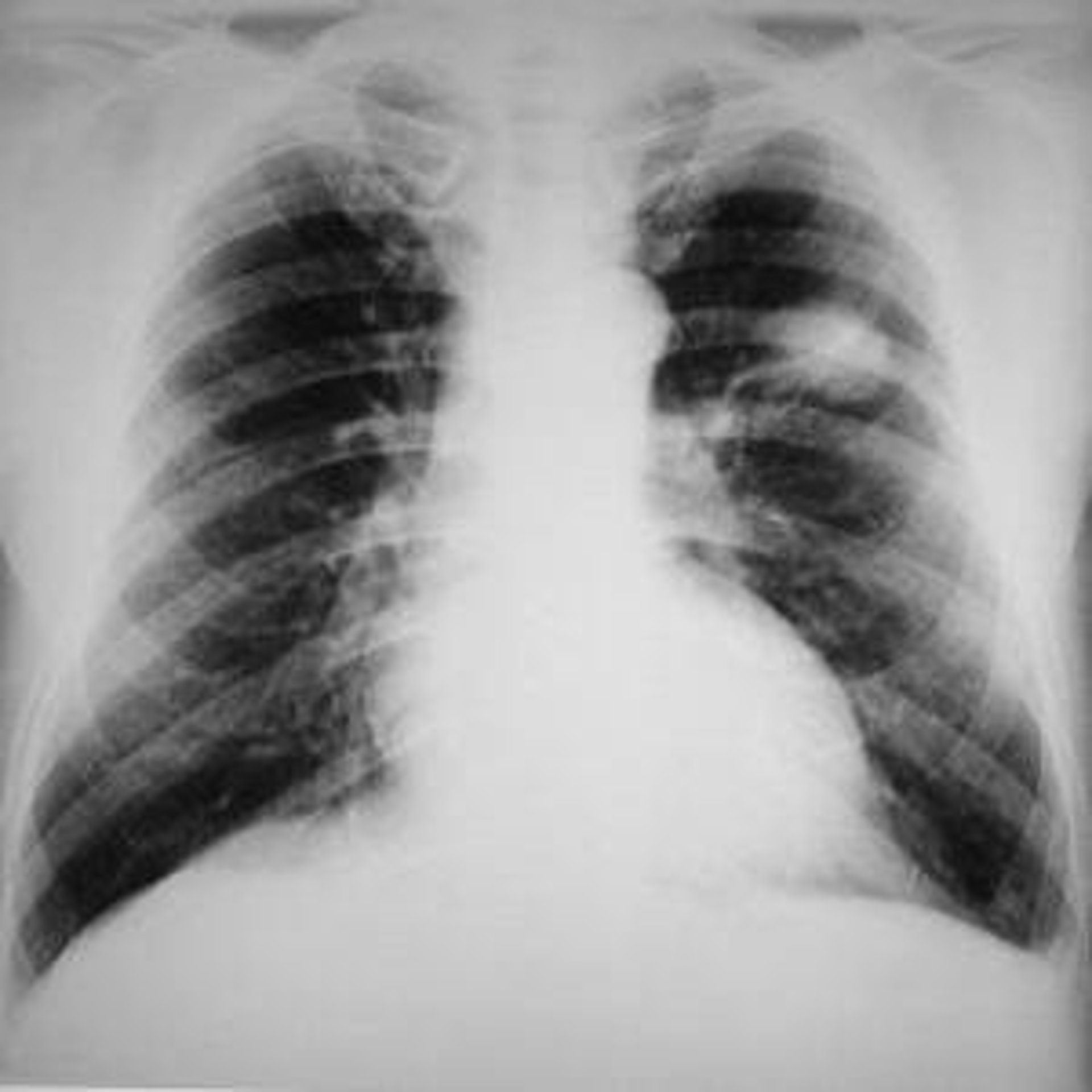
La tuberculosis mantiene sus cifras de incidencia en España y que, pese a que "se aprecia un descenso del número de casos" en los últimos años, afecta a los colectivos más desfavorecidos, advierte la Sociedad Española de Neumología y Cirugía Torácica (Separ)

Según datos provisionales del Centro de Epidemiología, en 2008 se han registrado 5.629 casos de tuberculosis en España, 1.048 menos que en 2007 cuando se cerraron los datos, y 166 más que en los datos provisionales de 2007. Sin embargo, según Separ, estas cifras "deben considerarse con reservas, ya que se estima que al menos una tercera parte de los casos no se notifican". Separ dijo que en este recuento no está incluídos los datos de Galicia, que reportó en 2007 un total de 570 nuevos enfermos.

La coordinadora del Área de tuberculosis y enfermedades infecciosas de Separ, Rosario Menéndez, aseguró que, a pesar de que los datos muestran una "contención" de la patología en España, son "necesariamente más elevados" por que una tercera parte de los casos no se notifican.

Por comunidades, Catalunya encabezó en 2008 la lista de casos detectados de tuberculosis, con 1.314, seguida por Andalucía (901), Madrid (829) y Valencia (709). En cambio, en proporción al número de habitantes, Ceuta se sitúa en primera posición, con 48,70 casos por 100.000 habitantes, y Catalunya baja al quinto lugar, con 18,43.

El neumólogo especialista en tuberculosis Juan Ruiz Manzano aseguró que en zonas españolas con elevada inmigración "se aprecian porcentajes comprendidos entre el 30 y el 50 por ciento de enfermos inmigrantes", y en barrios como el Raval, Besòs y Ciutat Vella de Barcelona la incidencia "supera" los 80 enfermos por 100.000 habitantes.

La incidencia de esta enfermedad neumológica en las ciudades siempre es mayor que en otras zonas geográficas y, en ocasiones, llega a duplicar o triplicar la incidencia global del país.

A pesar de la alta prevalencia de la tuberculosis entre los inmigrantes procedentes de países en desarrollo, Ruiz Manzano insistió en que "el perfil es muy diverso", pese a que hay colectivos con una mayor incidencia.

Artículos Relacionados

Contenido patrocinado