Descubren la relación entre los genes de la esquizofrenia y el tamaño del hipocampo

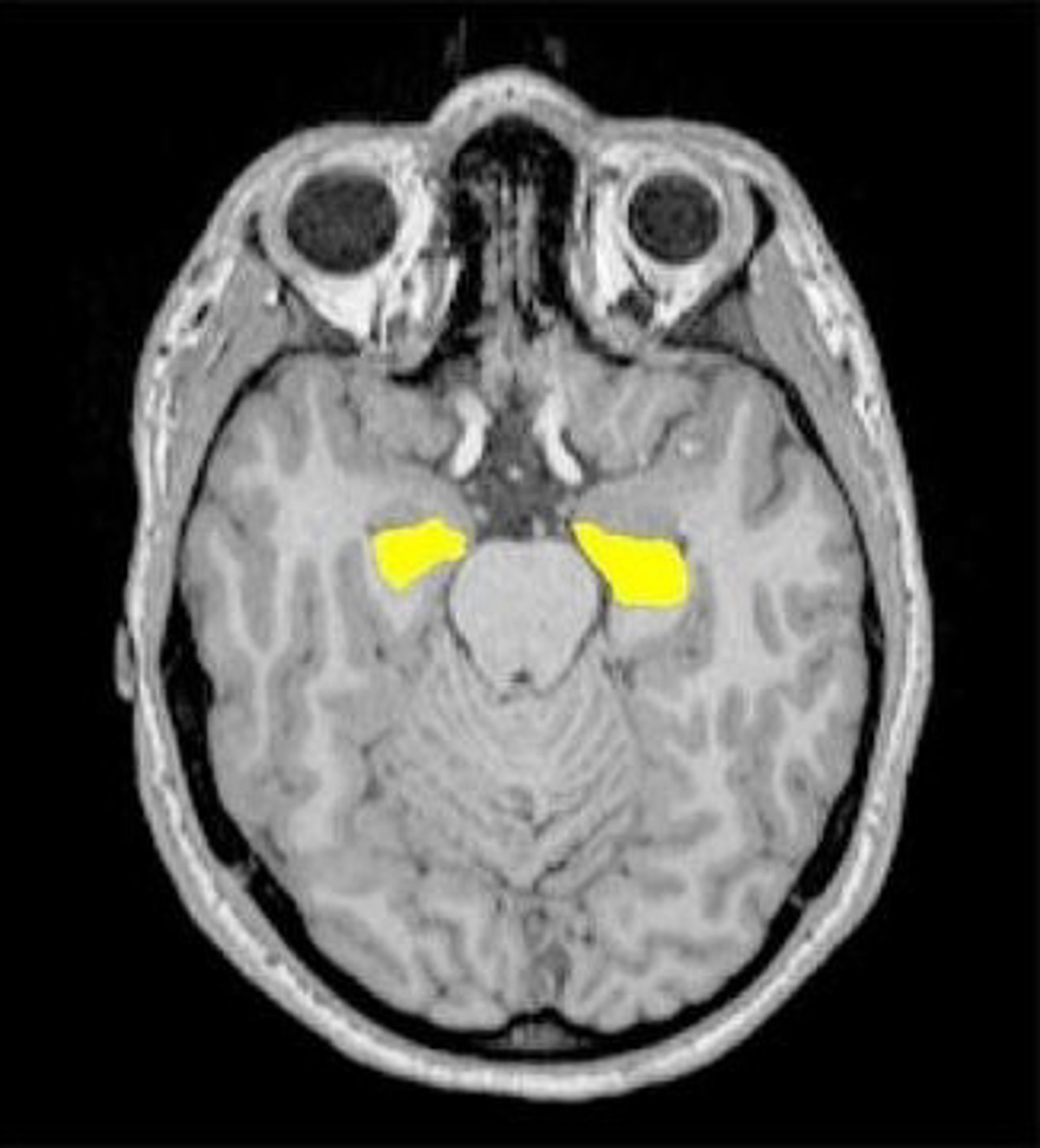
Hipocampo
NEUROPSYCHIARTY AND BRAIN IMAGING GROUP, BASEL
Infosalus
Actualizado: miércoles, 21 diciembre 2016 13:46

   MADRID, 23 Ago. (EUROPA PRESS) -

   Cuanto mayor es el número de genes de riesgo en una persona con trastornos psiquiátricos menor es el volumen de su hipocampo en el lóbulo temporal, según un estudio realizado por los científicos de la Universidad de Basilea, Fabienne Harrisberger y Stefan Borgwardt, junto a investigadores de Transfaculty Research Platform.

   La psicosis esquizofrénica es un trastorno psiquiátrico originado por una combinación de factores biológicos, sociales y medioambientales, que se relacionan con cambios en la estructura del cerebro. En este sentido, el análisis ha revelado que el grupo de genes de riesgo está conectado con una reducción en el tamaño de la región crítica del cerebro antes de la aparición de los primeros síntomas de la enfermedad.

   Aunque en realidad no se sabe si estos cambios son resultado de los efectos secundarios de los medicamentos que se emplean para su tratamiento o si ya están presentes antes de que se manifieste la patología.

    "Es muy posible que los individuos con un hipocampo más pequeños reaccionan de manera diferente a la terapia en comparación con los que tienen un hipocampo normalmente desarrollados", ha explicado el profesor de Neuropsiquiatría y la Unidad de Imagen Cerebral, Stefan Borgwardt.

   Esta investigación es un hecho importante para comprender los factores neurobiológicos que contribuyen al desarrollo de la esquizofrenia, de hecho se sabe que ninguno de los factores de riesgo se puede utilizar para predecir la aparición de la psicosis en un individuo concreto. Sin embargo, el descubrimiento puede ser útil para el tratamiento de la enfermedad.

   

Contenido patrocinado