Identifican un fármaco que puede impedir el desarrollo de demencia tras sufrir repetidos golpes en la cabeza

La zona roja muestra el lugar donde se inflama el cerebro después de una conmoción cerebral.
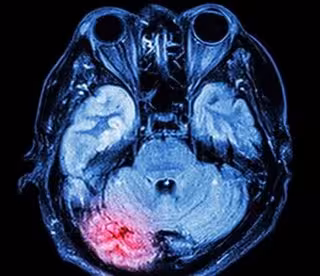
La zona roja muestra el lugar donde se inflama el cerebro después de una conmoción cerebral. - UNIVERSITY OF SOUTH AUSTRALIA
Infosalus
Publicado: lunes, 7 junio 2021 18:29


MADRID, 7 Jun. (EUROPA PRESS) -

Un estudio internacional pionero en el mundo, dirigido por la Universidad del Sur de Australia, ha identificado un nuevo fármaco para impedir que los deportistas desarrollen demencia tras sufrir repetidos golpes en la cabeza durante su carrera.

La relación entre las conmociones cerebrales y las enfermedades neurogenerativas está muy estudiadas, pero los nuevos resultados de esta investigación podrían detener la progresión de la encefalopatía traumática crónica (ETC) en los deportistas que sufren repetidos golpes en la cabeza.

La encefalopatía traumática crónica es una enfermedad cerebral progresiva y mortal asociada a la acumulación de una proteína conocida como tau hiperfosforilada que afecta a la cognición y el comportamiento. En un artículo publicado en la revista 'Scientific Reports', estos invetigadores muestran cómo las conmociones cerebrales repetidas pueden causar la ETC y una forma de bloquearla con un fármaco especialmente desarrollado para ello.

Los hallazgos podrían tener importantes implicaciones para los atletas que practican deportes de contacto, como los boxeadores y los futbolistas, así como para los veteranos militares que sufren lesiones en la cabeza durante los conflictos.

El cerebro libera un neurotransmisor llamado sustancia P en caso de lesión en la cabeza, lo que provoca la acumulación de cantidades anormales de la proteína tau en el interior de las neuronas. "Los ovillos de proteína tau son una característica de la ETC, que supuestamente provoca problemas de memoria, confusión, cambios de personalidad, agresividad, depresión y pensamientos suicidas. Nuestra investigación demuestra que bloqueando la sustancia P con un fármaco específico, podemos evitar que los ovillos de proteína tau se desarrollen en el cerebro y causen problemas neurológicos", explica Bob Vink, autor principal del trabajo.

El tratamiento se ha probado con éxito en modelos animales, lo que da esperanzas de que la ETC pueda prevenirse en los seres humanos. El profesor Vink afirma que el siguiente paso son los ensayos clínicos en humanos, pero esto podría llevar varios años, ya que actualmente la ETC sólo puede diagnosticarse post mortem.

Un estudio realizado en 14.000 estadounidenses durante 25 años, publicado en la revista 'Alzheimer's and Dementia' en marzo, demostró que las personas que sufrían un solo traumatismo craneoencefálico tenían un 25 por ciento más de probabilidades de desarrollar demencia en el futuro. Este riesgo aumentaba con los traumatismos cerebrales múltiples.

Contenido patrocinado