La controvertida "terapia de liberación" no logra tratar la esclerosis múltiple

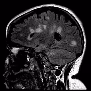
Cicatrización del cerebro en la esclerosis múltiple
UNIVERSITY OF BRITISH COLUMBIA
Infosalus
Actualizado: jueves, 9 marzo 2017 7:35

   MADRID, 9 Mar. (EUROPA PRESS) -

   La apertura de venas estrechadas desde el cerebro y la médula espinal no resulta eficaz en el tratamiento de la esclerosis múltiple (EM), según concluye un estudio dirigido por la Universidad de Columbia Británica (UBC) y Vancouver Coastal Health, en Canadá.

   Las conclusiones sobre la llamada "terapia de liberación", a la que se han sometido miles de personas con esclerosis múltiple desde 2009, suponen el desmentido más definitivo de la afirmación de que los pacientes podrían lograr mejoras dramáticas con un procedimiento médico de una sola vez, según los autores.

   "Esperamos que estos hallazgos, procedentes de un estudio cuidadosamente controlado, convenzan a las personas con EM para que no busquen la terapia de liberación, que es un procedimiento invasivo que conlleva el riesgo de complicaciones, así como un costo financiero significativo --afirma el doctor Anthony Traboulsee, profesor asociado de Neurología en UBC y director de la Clínica MS en el Centro Djavad Mowafaghian para la Salud del Cerebro--. Afortunadamente, hay una serie de tratamientos farmacológicos para la EM que se ha probado, mediante estudios rigurosos, que son seguros y eficaces para frenar la progresión de la enfermedad".

   Para obtener la evidencia más fiable, el estudio tuvo que someter a algunas personas a un "simulacro" del procedimiento, el equivalente quirúrgico de un placebo. Se insertó en los 104 participantes un catéter en sus venas bloqueadas, pero sólo en 49 se dilató las paredes de los vasos sanguíneos inflando un pequeño globo, un proceso conocido como venoplastia.

   Un año más tarde, los resultados del grupo de venoplastia fueron estadísticamente los mismos que los del grupo de simulación, medidos por imágenes cerebrales, evaluaciones estándar de los síntomas de la EM y las propias autoevaluaciones de los pacientes.

   Los hallazgos del estudio, que costó 5,4 millones de dólares, financiado conjuntamente por los Institutos Canadienses de Investigación en Salud, la Sociedad de la EM de Canadá y las Provincias de Columbia Británica, Manitoba y Quebec, se presentan este miércoles en la reunión científica anual de la Sociedad americana de Radiología Intervencionista que se celebra en Washington, Estados Unidos. Los investigadores están preparando un artículo para que se publique en una revista revisada por pares.

   La esclerosis múltiple es una enfermedad autoinmune, en la cual las propias defensas del cuerpo atacan el revestimiento protector de las células cerebrales, o neuronas. La degradación de ese aislante retarda la capacidad de las neuronas de conducir señales eléctricas, llevando a problemas con el movimiento, la sensación y la función cognoscitiva. Las causas de la enfermedad siguen sin conocerse, aunque la investigación ha culpado a variaciones genéticas y factores ambientales, como la carencia de la vitamina D.

SE TRATA DE UN PROCEDIMIENTO PROPUESTO POR UN MÉDICO ITALIANO

   El uso de la venoplastia como tratamiento para la EM se propuso por el doctor Paolo Zamboni, de la Universidad de Ferrara, en Italia, quien afirmó que el estrechamiento de las venas en el cuello podría estar provocando que el hierro se acumulara en el cerebro y la médula espinal, desatando la respuesta autoinmune. Llamó a su teoría insuficiencia venosa cerebrospinal crónica (CCSVI, por sus siglas en inglés), y citó varias decenas de casos de pacientes que mejoraron después de que él les practicara el procedimiento de venoplastia.

   Muchos pacientes en Canadá y Europa, al conocer esos resultados anecdóticos a través de los medios de comunicación, pidieron imágenes de sus venas y posteriormente someterse a la venoplastia. Pero casi todos los médicos canadienses, citando la falta de pruebas de apoyo, no lo realizarían, lo que llevó a algunos pacientes a buscar el tratamiento en Estados Unidos, América Latina y Europa del Este.

   Investigadores de todo Canadá, encabezados por el equipo de UBC y 'Vancouver Coastal Health', realizaron dos estudios principales, buscando más pruebas sobre la teoría de la CCSVI. Un estudio, respaldado por la Sociedad de Esclerosis Múltiple de Canadá, buscó determinar si el estrechamiento de las venas era una característica distintiva de la EM; y el otro quería probar el tratamiento propuesto.

   El primer estudio, publicado en 'The Lancet' en 2013, encontró que el estrechamiento era igual de común en ambos grupos: de hecho, era aún más común de lo que Zamboni había descrito, unos hallazgos que plantearon serias dudas sobre la teoría de Zamboni.

   "A pesar de los hallazgos negativos de ese estudio diagnóstico, muchos pacientes querían saber si el procedimiento de dilatación venosa podría ayudar -relata la doctora Lindsay Machan, profesora asociada de Radiología de UBC, encargada de presentar los hallazgos en la conferencia de radiología intervencionista que se celebra este miércoles--. Nos comprometimos a evaluar meticulosamente este tratamiento con métodos robustos y resultados centrados en el paciente".

   Las 104 personas en el último estudio --en Vancouver, Winnipeg, Montreal y Quebec-- tenían EM y estrechamiento de la vena yugular, la que drena sangre del cerebro, o la vena ácigos, que drena la sangre de la médula espinal. El estudio fue "doble ciego", es decir, ni los pacientes ni los médicos que los evaluaron sabían quién estaba recibiendo el tratamiento o el procedimiento simulado. Todos los pacientes fueron sometidos a sedación menor y todos ellos tenían un catéter enroscado a través de una incisión en la ingle a la zona de estrechamiento del vaso.

   Para los que recibieron el tratamiento real, se infló el globo una o dos veces; mientras que para los que recibieron la farsa, el catéter simplemente permaneció en el área estrechada durante la misma cantidad de tiempo, alrededor de un minuto. Los investigadores no encontraron diferencias estadísticamente significativas entre el grupo de tratamiento y el simulado en los síntomas del paciente, bien en cuanto a la información aportada por los pacientes o según lo determinado por los médicos, tres días después del procedimiento y un año después.

   Los pacientes en ambos grupos informaron de mejoras ligeras pero iguales un año más adelante. Se emplearon imágenes de resonancia magnética (MRI, por sus siglas en inglés) de sus cerebros para contabilizar el número de nuevas lesiones en su mielina y los investigadores no encontraron diferencia después de seis meses y tras un año entre el grupo de tratamiento y el del simulacro.

Últimas noticias sobre estos temas

Contenido patrocinado