La presencia de coágulo sanguíneo, asociada con un rápido crecimiento del aneurisma aórtico

La presencia de coágulo sanguíneo asociado con el rápido crecimiento de un aneurisma aórtico.
La presencia de coágulo sanguíneo asociado con el rápido crecimiento de un aneurisma aórtico. - RADIOLOGICAL SOCIETY OF NORTH AMERICA
Infosalus
Publicado: miércoles, 29 enero 2020 7:51

MADRID 29 Ene. (EUROPA PRESS) -

La presencia de un coágulo de sangre en la pared de la aorta en personas con aneurismas aórticos abdominales se asocia con un crecimiento más rápido y potencialmente peligroso en el aneurisma, según un estudio publicado en la revista 'Radiology'.

Los investigadores señalan que los hallazgos podrían ayudar a identificar qué pacientes necesitan un tratamiento más agresivo y una imagen de seguimiento más frecuente después de su diagnóstico inicial.

La aorta es la arteria principal que transporta sangre oxigenada desde el corazón. Los aneurismas abdominales ocurren cuando se forma una protuberancia en la porción de la arteria que atraviesa el abdomen. Con el tiempo, la pared puede debilitarse y romperse. La ruptura del aneurisma aórtico abdominal es la décima causa principal de muerte en hombres mayores de 55 años.

Las decisiones para reparar quirúrgicamente el aneurisma se basan en su diámetro. Los pacientes con aneurismas de más de 5,5 centímetros normalmente son remitidos para reparación, mientras que los de menos de 5,5 cm se controlan con mayor frecuencia con imágenes a intervalos regulares. El ultrasonido y la imagen transversal con tomografía computerizada o resonancia magnética son las técnicas que se usan comúnmente.

Sin embargo, esta estrategia de manejo basada en el diámetro tiene limitaciones, ya que un número considerable de pequeños aneurismas se rompen, según el primer autor del estudio, Chengcheng Zhu, investigador asistente del Departamento de Radiología e Imagen Biomédica de la Universidad de California en San Francisco.

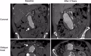
El doctor Zhu y sus colegas centraron su estudio en el trombo intraluminal, un coágulo de sangre en la pared de la aorta en la ubicación del aneurisma. Los trombos intraluminales están presentes en la mayoría de los aneurismas cerca del umbral de reparación de 5,5 cm, y en un número considerable de aneurismas más pequeños.

A pesar de su prevalencia, la influencia de estos coágulos en el crecimiento del aneurisma aórtico abdominal y el riesgo de ruptura aún no se comprende completamente. "El trombo intraluminal podría ser un nuevo marcador para el crecimiento de aneurismas", avanza.

Los investigadores utilizaron imágenes transversales de alta resolución con tomografía computarizada o resonancia magnética para evaluar a 225 hombres con aneurisma aórtico abdominal. El seguimiento duró, en promedio, más de 3 años.

Algo más de la mitad de los pacientes tenía un trombo intraluminal. Los aneurismas de aquellos con trombo intraluminal fueron mayores al inicio y crecieron a una tasa de 2 milímetros por año, el doble de rápido que la tasa de crecimiento de 1 mm por año en personas sin trombo intraluminal.

"Un aneurisma con trombo crece mucho más rápido que uno sin trombo
--señala Zhu--. Nuestro estudio observó a un gran número de pacientes con un seguimiento relativamente largo para confirmar que el trombo es un nuevo factor de riesgo que los radiólogos podrían informar potencialmente".

Si bien el estudio no examinó las razones por las cuales la presencia de un trombo tuvo un impacto tan drástico en los aneurismas, el doctor Zhu señala que probablemente tiene efectos bioquímicos dañinos en la pared del vaso.

"Cuando la pared del vaso está cubierta de trombo, la falta de oxígeno la debilita, haciendo que el aneurisma crezca más rápido y se rompa", explica.

Por todo ello, los hallazgos sugieren que los cronogramas de seguimiento de imágenes pueden necesitar ajustarse para pacientes cuyo aneurisma tiene un trombo. Los protocolos actuales para las imágenes de seguimiento se basan en el tamaño del aneurisma y no tienen en cuenta la ausencia o la presencia de un trombo.

"Un paciente con alto riesgo puede necesitar una monitorización más estrecha --continúa--. Si en pacientes con trombo el aneurisma crece el doble de rápido, entonces se podría considerar acortar el intervalo de vigilancia".

El doctor añade que se necesita más investigación antes de que la detección de trombos se integre en los protocolos clínicos. Por ahora, señala que los hallazgos brindan otra información para determinar el pronóstico de los pacientes con esta afección potencialmente peligrosa.

Contenido patrocinado