¿Qué personas tienen más riesgo de sufrir neumotórax?

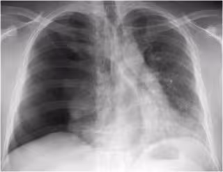
Neumotórax
QUIRÓNSALUD
Infosalus
Actualizado: jueves, 31 marzo 2016 19:08

   MADRID, 31 Mar. (EUROPA PRESS) -

   Las personas jóvenes, delgadas o aquellas que padecen complicaciones de enfermedades respiratorias son las que más padecen neumotórax, una patología que se produce cuando aparecen fugas de aire en el espacio entre los pulmones y las pleuras, que son los recubrimientos membranosos de los pulmones, lo que hace que el aire que sale del pulmón se colapse.

   "La causa más frecuente de esta afección es la rotura de pequeños quistes pulmonares. También se pueden producir fugas de aire debido a lesiones externas como un fuerte impacto o una fractura de costillas que cause la descompresión del pulmón, como la rotura de costillas, o ser una complicación de diversos procedimientos diagnósticos o quirúrgicos", ha explicado el jefe del servicio de Neumología del Hospital Universitario Quirónsalud Madrid y del Hospital Quirónsalud San Camilo, José María Echave.

Precisamente, este jueves se ha conocido que el piloto español de Fórmula 1 Fernando Alonso no podrá participar en el Gran Premio de China por sufrir un "pequeño neumotórax" en el pulmón izquierdo y una fractura en la costilla. Y es que, una de las causas de aparición de neumotórax son las fracturas en las costillas.

SÍNTOMAS DEL NEUMOTÓRAX

   Asimismo, los pacientes que sufren un neumotórax sufren el colapso de un pulmón que se manifiesta con una dificultad respiratoria y un dolor intenso en el área del tórax donde se encuentra el pulmón afectado. Estos síntomas se producen entre en un 80 a 90 por ciento de los afectados, aunque existen algunos casos que el neumotórax no causa estos síntomas.

   El tratamiento del neumotórax busca que el pulmón se expanda de nuevo, pero según el tipo de neumotórax será diferente. En concreto, si la pérdida de aire es pequeña se suele recomendar reposo y, si es de mayor tamaño será necesario el drenaje de la cavidad pleural.

   "El diagnóstico del neumotórax es eminentemente radiológico. El paciente suele acudir a consulta con dolor torácico y dificultad para respirar. Es conveniente realizar una radiografía en espiración para diferenciarlo de otras entidades. En casos más graves es necesario someter al paciente a cirugía que restablezca la funcionalidad del pulmón afectado", ha zanjado el experto.

Contenido patrocinado