Osteoporosis, una enfermedad que provoca más días de hospital que el cáncer de mama, infarto o diabetes

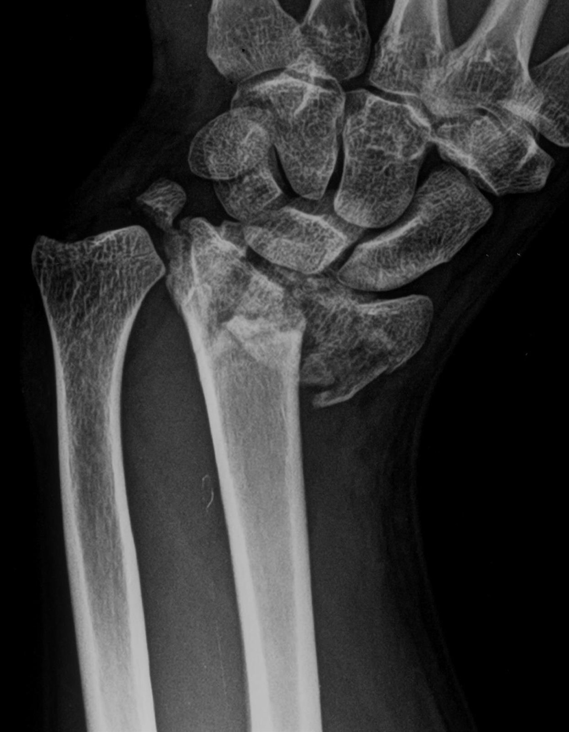
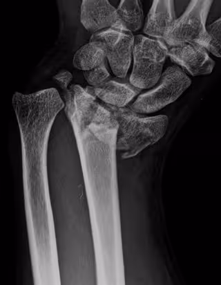
Fractura de radio
Fractura de radio - HOSPITAL LA LUZ - Archivo
Infosalus
Publicado: miércoles, 16 octubre 2019 13:06

   MADRID, 16 Oct. (EUROPA PRESS) -

   La osteoporosis, una enfermedad silenciosa, crónica y progresiva, provoca más días de estancia hospitalaria que el cáncer de mama, el infarto o la diabetes, según ha avisado el presidente de la Fundación Hispana de Osteoporosis y Enfermedades Metabólicas Óseas (FHOEMO), Santiago Palacios, con motivo de la celebración, este domingo, del Día Mundial de la patología.

   Se calcula que en España hay unas 3 millones de personas que padecen osteoporosis, de las cuales 2,2 millones son mujeres. Una incidencia que puede hacer que el coste sanitario español por las fracturas que origina la enfermedad se sitúe en el año 2030 en los 5.500 millones de euros, un 30,9 por ciento más que en la actual, el cual sitúa en los 4.200 millones de euros.

   Sin embargo, es una enfermedad "muy infradiagnosticada", ya que cerca del 80 por ciento de las personas que han tenido, al menos, una fractura por osteoporosis no conocen que la padecen y, por tanto, no están tratadas. Un bajo diagnóstico que, tal y como ha señalado el doctor, provoca una mayor preocupación si se tiene en cuenta que el 20 por ciento de los pacientes fallece después de una fractura de cadera, la mayoría durante el primer año, y sólo uno de cada cuatro que se han fracturado un hueso recupera su anterior calidad de vida, autonomía e independencia.

   "La osteoporosis es una enfermedad que se puede prevenir y corregir, por lo que no hay excusa para no hacerlo", ha dicho Palacios, quien ha destacado la necesidad de crear más Unidades de Fractura, hay 16 en toda España, porque pueden evitar más de 1.200 fracturas por fragilidad al año y, al mismo tiempo, originar un ahorro neto de 18,4 millones de euros anuales.

   Al mismo tiempo, el doctor ha subrayado la importancia de concienciar a la sociedad, especialmente a las mujeres, de la importancia de conocer los factores de riesgo así como de las medidas que pueden prevenir o frenar su progresión, las cuales pasan por la ingesta de tres lácteos al día, tomar el sol 15 minutos al día y realizar actividad física.

   Ahora bien, el presidente de la FHOEMO ha avisado de que los médicos deben tener también una mayor concienciación sobre esta enfermedad y realizar densitometría a las mujeres mayores de 65 años, a las personas con antecedentes familiares de osteoporosis y aquellas que están disminuyendo de estatura, entre otros factores.

   "Es fundamental que los médicos estén en alerta y se realizan más densitometrías porque, lamentablemente, no se hacen todas las que hay que hacer", ha apostillado. Estas declaraciones han sido corroboradas por la vicepresidenta de la Asociación Española con la Osteoporosis y la Artrosis (AECOSAR), María Antonia Robles, quien ha solicitado a los médicos que recomienden a los afectados acudir a una asociación de pacientes porque les pueden ayudar "mucho" en el manejo de la enfermedad.

'TUS HUESOS. MAÑANA Y SIEMPRE'

   Por todo ello, y con el fin de aumentar la concienciación y la información entre la población y los profesionales médicos sobre la osteoporosis, FHOEMO, AECOSAR y la Sociedad Española de Investigación Ósea y del Metabolismo Mineral (SEIOMM), con la colaboración de las compañías Amgen y UCB, han lanzado la campaña 'Tus huesos. Mañana y siempre'.

   En concreto, la campaña pretende transmitir la preocupación y necesidad de proteger los huesos para evitar las fracturas, insistiendo en la importancia de actuar desde la primera fractura. "Es hoy, es mañana y es siembre. Si no actuamos hoy, las consecuencias serán mañana y durarán para siempre, porque la osteoporosis pasa fractura", han dicho los responsables de la campaña.

   Además, la iniciativa va a acompañada de un cortometraje protagonizado por la actriz Concha Velasco, y titulado 'Mañana y siempre', en el que se reflexiona sobre el impacto en la vida de una paciente con una dolencia crónica como la osteoporosis y el riesgo de fractura que conlleva, visto desde los ojos de una niña de ocho años y la relación con su abuela. También participan los actores Fran Perea, Kira Miró y Adriana Torrebejano.

Contenido patrocinado