Los niños que han superado el Covid-19 pueden sufrir síndrome inflamatorio multisistémico

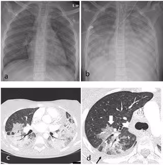
Hallazgos torácicos en una niña de 15 años con síndrome inflamatorio multisistémico en niños (MIS-C).
Hallazgos torácicos en una niña de 15 años con síndrome inflamatorio multisistémico en niños (MIS-C). - RADIOLOGICAL SOCIETY OF NORTH AMERICA
Infosalus
Publicado: viernes, 26 junio 2020 15:19


MADRID, 26 Jun. (EUROPA PRESS) -

Los niños que han superado el Covid-19 pueden sufrir síndrome inflamatorio multisistémico (MIS-C), según han observado un equipo de investigadores del Evelina London Children's Hospital (Reino Unido) en un estudio publicado en la revista 'Radiology'.

El conjunto de hallazgos incluye inflamación de las vías respiratorias y rápido desarrollo de edema pulmonar, aneurismas de las arterias coronarias y extensos cambios inflamatorios intraabdominales.

En abril de 2020, el Evelina London Children's Hospital en Londres, Reino Unido experimentó una oleada de niños con un síndrome hiperinflamatorio multisistémico. Los niños tenían una variedad de síntomas como, por ejemplo, fiebre, dolores de cabeza, dolor abdominal, erupción cutánea y conjuntivitis.

Las características clínicas y los hallazgos de laboratorio compartieron algunas similitudes con las de la enfermedad de Kawasaki, que causa inflamación en las paredes de los vasos sanguíneos, síndrome de shock de la enfermedad de Kawasaki o síndrome de shock tóxico, aunque atípico y más grave.

"Nuestro hospital vio un grupo de niños sin precedentes que presentaba MIS-C, un nuevo síndrome hiperinflamatorio en niños relacionado con la actual pandemia de COVID-19, cuyo reconocimiento condujo a una alerta nacional", han dicho los investigadores.

Para llevar a cabo el trabajo, realizaron una revisión retrospectiva de los hallazgos clínicos, de laboratorio y de imágenes de los primeros 35 niños menores de 17 años que ingresaron en el hospital pediátrico que cumplió con la definición de caso para MIS-C. Los niños ingresaron del 14 de abril al 9 de mayo de 2020 e incluyeron a 27 niños y ocho niñas, con una edad media de 11 años.

L a presentación clínica más común fue fiebre, que se encuentra en 33 (94%) de los niños, síntomas gastrointestinales que incluyen dolor abdominal, vómitos y diarrea en 30 (86%) de los niños, erupción cutánea (13 o 37%) y conjuntivitis (9 o 26%). Asimismo, 21 niños (60%) estaban en estado de shock. El estado clínico fue lo suficientemente grave como para justificar el manejo en la Unidad de Cuidados Intensivos pediátricos en 24 de 35 niños (69%), de los cuales 7 (20%) requirieron ventilación mecánica y 20 (57%) apoyo inotrópico.

Dos niños requirieron oxigenación por membrana extracorpórea (ECMO) debido a una disfunción miocárdica severa. Las pruebas de laboratorio revelaron que todos los niños tenían recuentos anormales de glóbulos blancos. El estudio identificó un patrón de hallazgos de imágenes en MIS-C posterior a Covid-19, que incluye inflamación de las vías respiratorias, edema pulmonar rápidamente progresivo, aneurismas de las arterias coronarias y cambios inflamatorios abdominales extensos dentro de la fosa ilíaca derecha.

Los 35 niños se sometieron a una radiografía de tórax debido a fiebre, sepsis o características de inflamación multisistémica. Diecinueve rayos X fueron anormales, el hallazgo más común fue el del engrosamiento de la pared bronquial.

Al mismo tiempo, los hallazgos de la ecografía abdominal incluyeron cambios inflamatorios dentro de la fosa ilíaca derecha, con hebras de grasa mesentérica, linfadenopatía y engrosamiento de la pared intestinal, así como líquido libre en la pelvis.

Por todo ello, los autores aconsejan que los estudios futuros incluyan un grupo más grande de pacientes, idealmente utilizando bases de datos multicéntricas para evaluar los hallazgos radiológicos junto con el curso clínico complejo de estos pacientes jóvenes.

Contenido patrocinado