Investigadores españoles demuestran la participación de una proteína en la metástasis de un cáncer de mama muy agresivo

Metástasis
UAM
Infosalus
Actualizado: lunes, 26 septiembre 2011 13:07

MADRID 26 Sep. (EUROPA PRESS) -

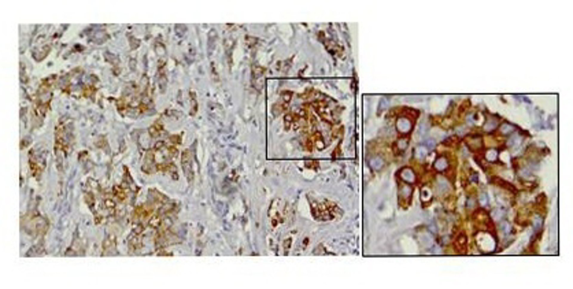
Investigadores de la Universidad Autónoma de Madrid (UAM) y del Instituto de Investigaciones Biomédicas Alberto Sols (IIB) han demostrado la participación de una proteína en el proceso de metástasis de carcinomas basales de mama, un subtipo de tumores muy agresivo. Este hallazgo, publicado en 'EMBO Molecular Medicine', podría dar lugar al decubrimiento de nuevas dianas terapéuticas para este cáncer.

El grupo de investigadores de las doctoras Amparo Cano y Gema Moreno-Bueno, del Departamento de Bioquímica de la UAM y el Instituto de Investigaciones Biomédicas Alberto Sols (centro mixto CSIC-UAM), ha trabajado durante los últimos años en la caracterización de nuevos marcadores de malignidad tumoral.

En concreto, su trabajo se ha centrado en el análisis de factores implicados en el proceso de Transición Epitelio-Mesénquima (TEM), un evento clave para la invasión y la metástasis de carcinomas.

En su última investigación este grupo analizó la expresión y función de una proteína conocida como 'Lisil oxidasa-like2' (LOXL2) en carcinomas de mama, demostrando que la expresión de esta proteína se encuentra incrementada específicamente en carcinomas de tipo basal.

De acuerdo con este estudio, modelos celulares 'in vitro' confirman la sobreexpresión de la proteína 'LOXL2' en células de carcinomas basales y demuestran el papel activo de esta proteína en los procesos de invasión y metástasis.

La proteína 'LOXL2' puede considerarse actualmente como un nuevo marcador en carcinomas basales de mama, lo que abre nuevas perspectivas para la potencial identificación de una diana terapéutica que pueda contribuir a bloquear el proceso metastático y combatir así el agresivo tipo tumoral.

El trabajo del grupo de investigación de las doctoras Cano y Moreno-Bueno fue realizado en colaboración con los Servicios de Anatomía Patológica del MD Anderson Cancer Center Madrid, el Hospital Virgen del Rocío (Sevilla) y el Hospital La Paz (UAM).

Contenido patrocinado