Investigadores españoles avanzan en la comprensión del mantenimiento del fenotipo de la leucemia aguda linfoblástica

Leucemia aguda linfoblástica
Leucemia aguda linfoblástica - CIC-INSTITUTO DE BIOLOGÍA MOLECULAR Y CELULAR DEL
Infosalus
Publicado: viernes, 17 enero 2020 11:58

MADRID 17 Ene. (EUROPA PRESS) -

El grupo de citogenética y caracterización molecular del cáncer, del Centro de Investigación del Cáncer (CIC-IBMCC), centro mixto de la Universidad de Salamanca y del Consejo Superior de Investigaciones Científicas, han avanzado en la comprensión del mantenimiento del fenotipo de la leucemia aguda linfoblástica.

En concreto, y según han publicado en la revista 'Cells', mediante el uso del sistema de edición CRISPR/Cas9, se ha analizado el papel del gen de fusión ETV6/RUNX1 en la leucemogénesis de esta enfermedad. Y es que, la translocación cromosómica t que resulta en la fusión de los genes ETV6 y RUNX1 es la alteración más frecuente en niños con leucemia aguda linfoblástica.

Aunque los pacientes portadores de esta translocación se asocian con un buen pronóstico y una excelente respuesta molecular al tratamiento, hasta un 20 por ciento de los casos siguen presentando recaídas. Además, estos casos de recaída se asocian a menudo con resistencia a los tratamientos como los glucocorticoides, y estos pacientes deben ser considerados para trasplante.

Se sabe que el gen de fusión ETV6/RUNX1 desempeña un papel importante en el desarrollo de la leucemia aguda linfoblástica, aunque por sí solo no es capaz de iniciar la enfermedad. Por tanto, se necesitan otros cambios genéticos secundarios como mutaciones y/o deleciones, para el desarrollo de la leucemia, si bien aún existe controversia sobre el papel del gen de fusión en el mantenimiento del fenotipo leucémico.

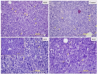
Por esta razón, el grupo de citogenética y caracterización molecular del cáncer ha estudiado el efecto, tanto 'in vitro' como 'in vivo', de la eliminación de la expresion del gen de fusión ETV6/ RUNX1, mediante la técnica CRISPR/Cas9, para comprobar su papel en la leucemogénesis de este tipo de leucemia.

"Los resultados obtenidos mostraron que la eliminación de la expresión de ETV6/RUNX1 provocó la desregulación de diferentes procesos biológicos como la resistencia a la apoptosis y la proliferación celular.
En consecuencia, las células leucémicas mostraron una mayor sensibilidad a la muerte y una menor ventaja proliferativa. En resumen, proporcionamos evidencias de que el gen de fusión tiene un papel clave en el mantenimiento del fenotipo leucémico", ha dicho el investigador del Centro de Investigación del Cáncer, Adrián Montaño.

Por tanto, el estudio, desarrollado gracias al apoyo económico de la Asociación Española Contra el Cáncer que financió el proyecto 'Análisis genómico y funcional de la leucemia linfoblástica y en un modelo in vitro de modificación genética dirigida', sugiere que el gen de fusión podría ser una posible diana terapéutica sobre la que diseñar nuevos fármacos que eviten la expresión de esta proteína, especialmente en aquellos casos de recaída o falta de respuesta a los tratamientos.

Últimas noticias sobre estos temas

Contenido patrocinado