Investigadores del CSIC muestran la eficacia de la molécula cortistatina para tratar la fibrosis pulmonar

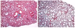
A la izquierda, pulmón de ratón con signos de fibrosis pulmonar grave. A la derecha, pulmón de ratón tratado con cortistatina, en el que el daño es mucho menor.
A la izquierda, pulmón de ratón con signos de fibrosis pulmonar grave. A la derecha, pulmón de ratón tratado con cortistatina, en el que el daño es mucho menor. - IPBLN-CSIC
Infosalus
Publicado: viernes, 23 julio 2021 10:24


MADRID, 23 Jul. (EUROPA PRESS) -

Un grupo de investigación del Consejo Superior de Investigaciones Científicas (CSIC) ha identificado una molécula que actúa sobre el sistema nervioso (un neuropéptido), la cortistatina, como potencial biomarcador para el diagnóstico y tratamiento de enfermedades asociadas a la fibrosis pulmonar, como el daño pulmonar agudo y su forma más severa, el síndrome de dificultad respiratoria aguda.

El estudio, publicado en la revista 'British Journal of Pharmacology', ha demostrado en modelos experimentales preclínicos que la falta de cortistatina provoca una respuesta descontrolada y nociva del sistema inmunitario (la tormenta de citoquinas) y el posterior desarrollo de la reacción fibrótica pulmonar.

Por contra, el tratamiento con cortistatina protege frente a las formas graves de daño pulmonar agudo y el síndrome de dificultad respiratoria aguda. Esta característica la convierte en un candidato para tratar la fibrosis más grave causada por la COVID-19.

La cortistatina es un neuropéptido antiinflamatorio descubierto por el equipo liderado por Mario Delgado, investigador principal del estudio y director del Instituto de Parasitología y Biomedicina López Neyra (IPBLN-CSIC). Aunque los estudios anteriores reconocían la cortistatina como un potente agente antiinflamatorio, este es el primer trabajo que identifica su capacidad para regular y revertir directamente la respuesta fibrótica crónica.

"Puesto que la inflamación es un proceso previo y subyacente a la fibrosis crónica, es una ventaja disponer de un agente capaz de evitar ambas respuestas, inflamatoria y fibrótica, frente a otros posibles tratamientos. Aunque todavía no se ha demostrado la eficacia de la cortistatina en modelos de infección vírica pulmonar, el estudio demuestra inequívocamente su capacidad para limitar la tormenta de citoquinas y evitar la aparición de signos clínicos de fibrosis severa en el pulmón en modelos preclínicos plenamente establecidos, lo que permitiría aventurar una traslación a los pacientes de COVID-19", remarca Delgado.

Respecto de los resultados obtenidos en modelos preclínicos, el investigador del CSIC insiste en que "aun siendo cautos con su aplicación en pacientes, hay un ejemplo de éxito reciente con otro neuropéptido, el péptido intestinal vasoactivo Aviptadil, descubierto como antinflamatorio en nuestro laboratorio hace más de dos décadas, que muestra características parecidas a la cortistatina y que actualmente es uno de los tratamientos elegidos por la Agencia Americana del Medicamento para las formas severas de COVID-19, lo que invita a ser optimistas".

LLAVE CIENTÍFICA CONTRA LA FIBROSIS CRÓNICA

Se estima que la fibrosis crónica es la responsable de un tercio de las muertes que se producen en los países desarrollados. Afecta a los órganos vitales y es la causa subyacente de enfermedades con un gran impacto sanitario, como la fibrosis pulmonar idiopática, varios tipos de cirrosis hepática y cardiomiopatías, fibrosis renal o la esclerosis sistémica. Existen evidencias que indican que los enfermos con COVID-19 tienen peor pronóstico cuando la infección viral cursa con fibrosis pulmonar.

A pesar del avance en el conocimiento de los factores que intervienen en el desarrollo del proceso fibrótico crónico, hasta ahora se ignoran aquellos que predisponen a la enfermedad o que protegen de un desarrollo más severo de la misma. Además, no existen tratamientos efectivos para frenar su progresión y, especialmente, que sean capaces de revertir el proceso fibrótico.

La identificación de la cortistatina como un freno molecular endógeno de la fibrosis en pulmón abre nuevas vías de investigación en otros órganos y patologías, ya que los mecanismos moleculares y celulares que gobiernan el proceso fibrótico son básicamente comunes en todos los tejidos afectados. "Hemos confirmado en paralelo el efecto antifibrótico de la cortistatina en modelos preclínicos de fibrosis hepática y de esclerodermia", explica Delgado.

"Habría que corroborar en humanos que una deficiencia de cortistatina es un marcador de mal pronóstico en enfermedades fibróticas de distinta etiología y que afectan a diversos órganos. Si es así, nos permitiría identificar a aquellos pacientes que van a tener más probabilidades de desarrollar formas severas de la enfermedad y sería relativamente sencillo revertir este proceso con tratamientos basados en el uso de cortistatina o alguno de sus análogos estables, ya que se ha visto que el uso de este neuropéptido es seguro y efectivo en otro tipo de enfermedades en humanos", concluye.

Esta investigación se ha realizado mayoritariamente en el IPBLN-CSIC, con la colaboración del doctor O'Valle de la Universidad de Granada y ha sido íntegramente financiada por el Ministerio de Ciencia e Innovación a través de un proyecto del Plan Nacional.

Contenido patrocinado