Investigadores alertan sobre el pronostico "peor de lo esperado" de un tipo raro de astrocitoma

Astrocitoma, tumor neuronal tipo raro
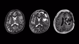
Astrocitoma, tumor neuronal tipo raro - KAZUYA MOTOMURA
Infosalus
Publicado: lunes, 3 abril 2023 13:34


MADRID, 3 Abr. (EUROPA PRESS) -

Un equipo de investigadores de la Facultad de Medicina de la Universidad de Nagoya (Japón) ha informado que los pacientes con una forma rara de cáncer de cerebro y de médula espinal, el astrocitoma histológicamente difuso de isocitrato deshidrogenasa de tipo salvaje (IDHwt) localizado, tienen un mal pronóstico, similar al de los tipos más malignos de tumores cerebrales y de médula espinal.

Estos hallazgos han sido publicados en la revista 'Scientific Reports' y apuntan a la necesidad de un fuerte cuidado postoperatorio para los pacientes con este tipo de tumor.

Los gliomas son tumores que se originan en las células gliales que rodean las neuronas del cerebro. Bajo el microscopio, los gliomas se pueden dividir en varios tipos según el tipo de células que invaden. Entre ellos se incluyen los astrocitomas que, como su nombre indica, infectan los astrocitos, un tipo importante de neurona.

En 2016, para mejorar el pronóstico y el manejo de los pacientes, la clasificación de la OMS de tumores del sistema nervioso central incluyó una nueva clasificación de 'gliomas difusos', basada en la presencia o ausencia de mutaciones específicas. Dos tipos raros de astrocitomas difusos son los astrocitomas difusos de isocitrato deshidrogenasa de tipo salvaje (IDHwt) infiltrantes y localizados. Dado que son tan raros, falta información sobre si las características infiltrativas o localizadas afectan su pronóstico y lo que esto significa para el paciente.

El equipo de investigación de la Universidad de Nagoya, dirigido por Yuji Kibe y Kazuya Motomura del Departamento de Neurocirugía, analizó los astrocitomas IDHwt localizados y descubrió que todos resultaron en una recurrencia maligna y un pronóstico clínico precario similar al de los glioblastomas. Los glioblastomas se encuentran entre los tumores más malignos, con un tiempo de supervivencia promedio de 8 meses y menos del 7 por ciento de los pacientes sobreviven cinco años.

"Para los pacientes con gliomas, los resultados de nuestra investigación deberían conducirlos a recibir el diagnóstico clínico y el tratamiento adecuados. Para los médicos, los astrocitomas IDHwt deben seguirse con gran precaución, incluso después de la extirpación total. Se debe considerar una terapia postoperatoria fuerte", ha finalizado el investigador, Kazuya Motomura.

Últimas noticias sobre estos temas

Contenido patrocinado