Una investigación aragonesa revela un nuevo mecanismo de comunicación entre células tumorales cerebrales

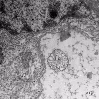
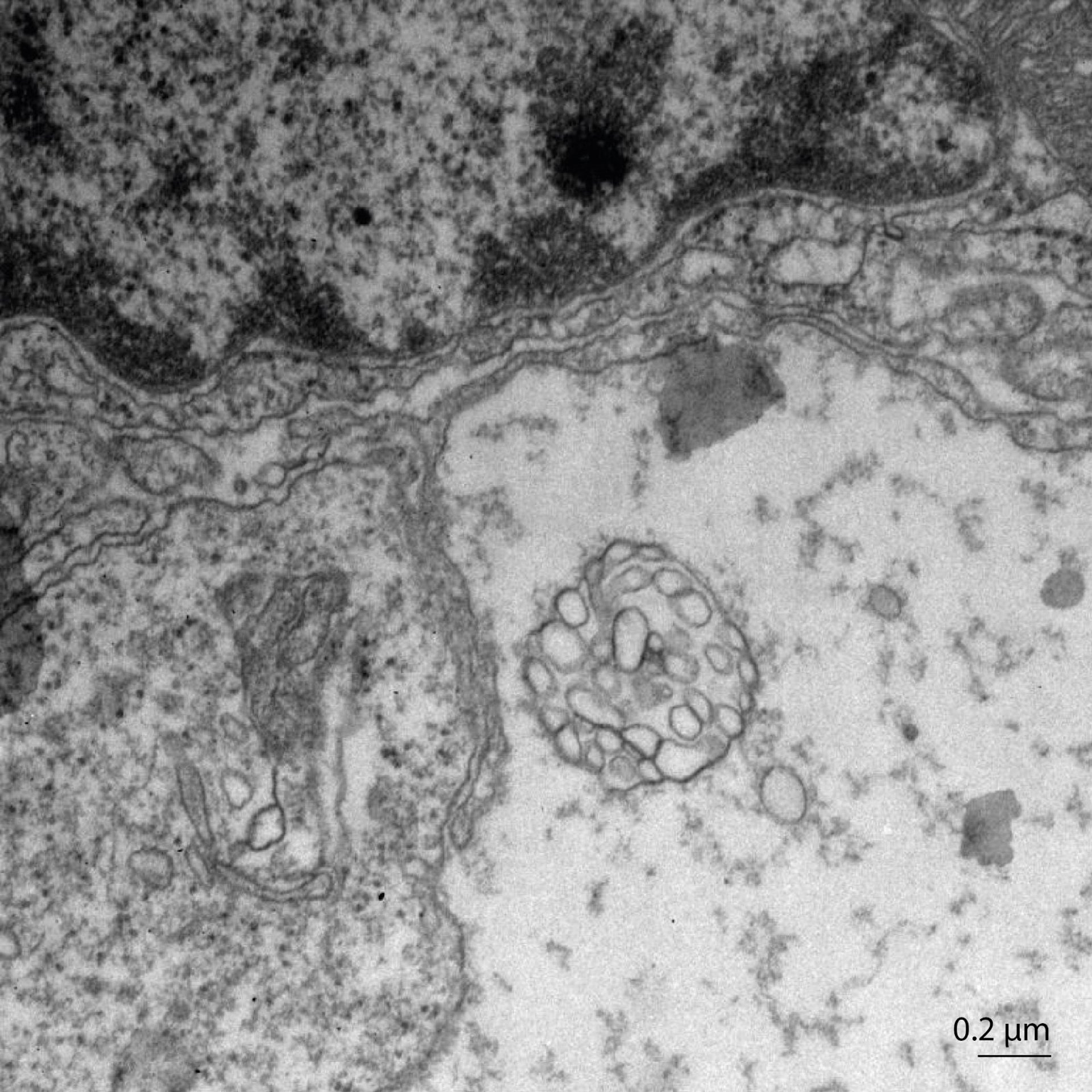
Esferosomas.
Esferosomas. - INSTITUTO DE INVESTIGACIÓN SANITARIA ARAGÓN
Infosalus
Publicado: jueves, 20 julio 2023 18:38


MADRID, 20 Jul. (EUROPA PRESS) -

La revista 'Sientific Reports' ha publicado un estudio pionero realizado por el Instituto de Investigación Sanitaria Aragón y la Universidad de Zaragoza centrado en tumores cerebrales de bajo grado, que revela un nuevo mecanismo de comunicación entre células tumorales cerebrales a través de esferosomas.

Las células tumorales se comunican entre ellas y con su entorno, modificándolo, para favorecer su crecimiento y malignidad. Existen muchas comunicaciones que van desde moléculas sencillas, como son los factores de crecimiento, hasta vesículas que son pequeñas bolsitas llenas de información. Hay muchos tipos de vesículas, pero su origen dentro de la célula y cómo se transportan, no siempre está claro.

El equipo, dirigido por la catedrática de Biología de la Universidad de Zaragoza e investigadora del IIS Aragón, Concha Junquera, empleando microscopia electrónica ha identificado que los gliomas de bajo grado emplean unas vesículas que se conocen como esferosomas.

"Estos esferosomas se producen en las células tumorales y se liberan al medio extracelular para trasportar información a las células vecinas o a otras células lejanas a través de los vasos", ha explicado Junquera.

Las vesículas extracelulares más estudiadas son los exosomas, sin embargo, este equipo ha encontrado que otras vesículas, los esferosomas, son más habituales en estos tumores cerebrales. El equipo ha descrito con mucho detalle el origen de estos esferosomas y cómo se producen encontrando que es muy distinto a los exosomas.

"Los esferosomas tienen diferente origen y biogénesis que los exosomas hallados en otros tumores y presumiblemente transportan diferentes moléculas, es decir, diferente contenido o información, lo que sugiere que desempeñan funciones distintas en la progresión de estos tumores cerebrales", ha subrayado explicado una de las investigadoras, Marta Baselga.

Este estudio además ha revelado la presencia de una estructura celular, el cilio primario en los gliomas de bajo grado. Esta estructura funciona como una antena y desempeña un papel importante en la detección y transmisión de señales oncogénicas, lo que la convierte en una prometedora diana terapéutica.

Contenido patrocinado