La inmunoterapia combinada podría ser efectiva en el tratamiento del cáncer de próstata avanzado

Cáncer de próstata
JOHNS HOPKINS KIMMEL CANCER CENTER
Infosalus
Publicado: lunes, 25 junio 2018 16:48


MADRID, 25 Jun. (EUROPA PRESS) -

La inmunoterapia combinada podría ser efectiva en el tratamiento del cáncer de próstata avanzado, según ha puesto de manifiesto un estudio llevado a cabo por investigadores del Johns Hopkins Kimmel Cancer Center y el Bloomberg - Kimmel Institute for Cancer Immunotherapy (BKI) de Estados Unidos y que ha sido publicado en la revista 'Oncotarget'.

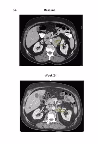
En concreto, en el trabajo se analizó cómo respondía el cáncer de próstata en 15 pacientes con la variante AR-V7, la forma más letal de este tumor, cuando se le administraba ipilimumab y nivolumab. Para ello, se les dio cuatro dosis de tres miligramos por kilogramo de nivolumab más un miligramo por kilogramo de ipilimumab cada tres semanas, seguido de un régimen de mantenimiento de solo tres miligramos por kilogramo de nivolumab cada dos semanas.

Una vez pasado el tiempo de estudio, los científicos observaron que el 13 por ciento de los hombres experimentaron una disminución en el nivel de antígeno prostático específico (PSA) de, al menos, el 50 por ciento. Asimismo, una cuarta parte logró una respuesta objetiva, lo que significa que sus tumores se contrajeron parcial o completamente con la inmunoterapia combinada durante unos nueve meses.

Al menos dos de los pacientes permanecen vivos por más de 18 meses, lo que es mucho más prolongado de lo esperado para los hombres con cáncer de próstata AR-V7 +. Asimismo, el 40 por ciento tenían un subtipo genético de cáncer de próstata que albergaba mutaciones somáticas y/o germinales en un gen de reparación del ADN implicado en la vía BRCA, que primero demostraron predisponer a las mujeres al cáncer de mama y de ovario.

"Sorprendentemente, todos los beneficios de ipilimumab más nivolumab parecían ocurrir en pacientes que tenían una de estas mutaciones genéticas, particularmente en dos hombres con mutaciones BRCA2", ha dicho el autor principal del estudio, Emmanuel Antonarakis.

En cáncer de próstata, alrededor del 20-25 por ciento de los pacientes tienen mutaciones en BRCA2 y genes relacionados, los cuales están involucrados en un proceso de reparación del ADN llamado recombinación homóloga. Por tanto, el estudio sugiere que estas mutaciones genéticas pueden ser aún más comunes en los hombres con el tipo AR-V7 + de cáncer de próstata.

Finalmente, el estudio mostró que la combinación de nivolumab más ipilimumab tenía una seguridad y tolerabilidad aceptables en hombres con cáncer de próstata avanzado AR-V7 +.

Últimas noticias sobre estos temas

Contenido patrocinado