¿Por qué los infartos nocturnos son menos graves? Un estudio del CNIC apunta a los ritmos circadianos de los neutrófilos

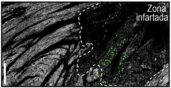
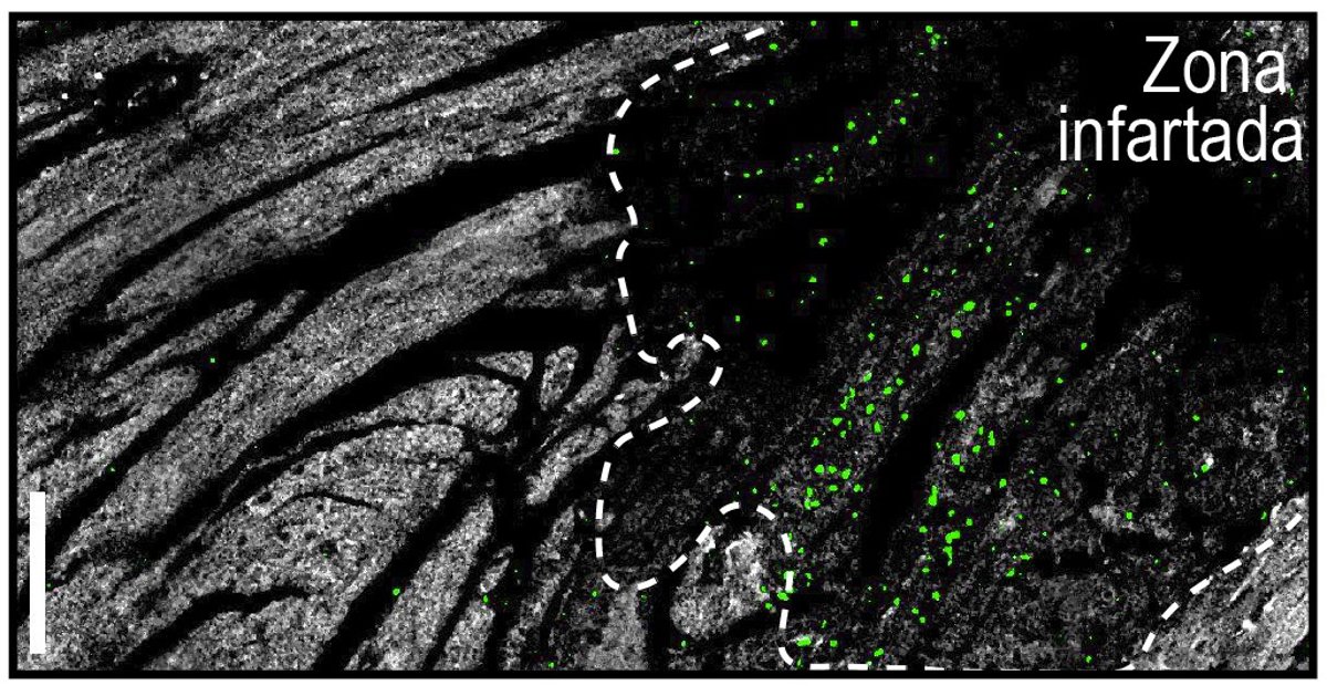
Localización de neutrófilos “nocturnos” (en verde) dentro del área de infarto en el miocardio (zona oscura rodeada por la línea blanca).
Localización de neutrófilos “nocturnos” (en verde) dentro del área de infarto en el miocardio (zona oscura rodeada por la línea blanca). - CNIC/ALEJANDRA AROCA
Infosalus
Publicado: viernes, 12 diciembre 2025 17:04

MADRID 12 Dic. (EUROPA PRESS) -

Un equipo de científicos del Centro Nacional de Investigaciones Cardiovasculares (CNIC) ha logrado explicar porqué los infartos que se producen en la noche son menos severos que los diurnos, y tiene que ver con la variación a lo largo del día de la agresividad de los neutrófilos, un tipo de glóbulo blanco.

El trabajo, publicado en la revista 'Journal of Experimental Medicine', muestra la existencia de un mecanismo circadiano dentro de los neutrófilos que hace fluctuar su actividad destructiva, y determina el grado de daño que provocan en el corazón tras un infarto.

Debido a que los seres humanos son una especie diurna, existe una mayor probabilidad de exponerse a infecciones durante esta etapa del día, motivo por el que el sistema inmunológico ajusta sus picos de actividad al ritmo circadiano, aunque esta respuesta puede en ocasiones volverse perjudicial en casos de estrés como los infartos de miocardio, en los que el sistema inmunitario puede causar daños colaterales severos en los tejidos.

"Por la noche, los neutrófilos se dirigen a la zona dañada respetando el tejido sano, que así no se ve afectado. Es durante el día cuando pierden esta direccionalidad y generan más daño en el tejido circundante", ha explicado la primera autora del estudio, la doctora Alejandra Aroca-Crevillén.

Durante la investigación también se ha desarrollado una estrategia farmacológica en modelos experimentales para bloquear este reloj molecular, lo que permite mantenerlas en un "estado nocturno" y reducir su potencial dañino durante el infarto.

"Nos sorprendió comprobar (...) que el bloqueo del reloj circadiano de los neutrófilos no solo protege el corazón, sino que también mejora la respuesta frente a algunos microbios e incluso reduce las embolias asociadas a la anemia falciforme", ha añadido la primera autora de la investigación.

Por su parte, el jefe del grupo investigador, el doctor Andrés Hidalgo, ha detallado que "el compuesto imita un factor que el cuerpo produce principalmente durante la noche", y que este factor "engaña" a los neutrófilos para hacerles creer que "es de noche", lo que disminuye su actividad tóxica.

Su desarrollo se ha llevado a cabo en colaboración con el líder del grupo de Investigación Cardiovascular Traslacional Multidisciplinaria en el (CNIC), el doctor Héctor Bueno, tras analizar los datos de miles de pacientes del Hospital 12 de Octubre.

Este trabajo constituye una de las primeras estrategias en aprovechar los ritmos circadianos del sistema inmunitario para modular la inflamación, y sin comprometer la defensa frente a infecciones, lo que "abre la puerta" a nuevas terapias basadas en la biología del tiempo, que tienen el potencial de proteger el corazón y otros órganos del daño inflamatorio sin debilitar las defensas naturales del organismo.

Además, ha sido financiado por la Fundación La Caixa; los Institutos Nacional de Salud de Estados Unidos; el Ministerio de Ciencia, Innovación y Universidades (MICIU); el Consejo de Becas de China; la ANR PRC; la Fundación para la Investigación Médica de Francia (FRM); la red transatlántica de excelencia Leducq sobre efectos circadianos en ictus; la Sociedad Española de Cardiología; y ha recibido el apoyo de AstraZeneca, Boehringer Ingelheim y Janssen.

Contador

Contenido patrocinado