El impacto de la enfermedad inflamatoria intestinal en la calidad de vida de los niños

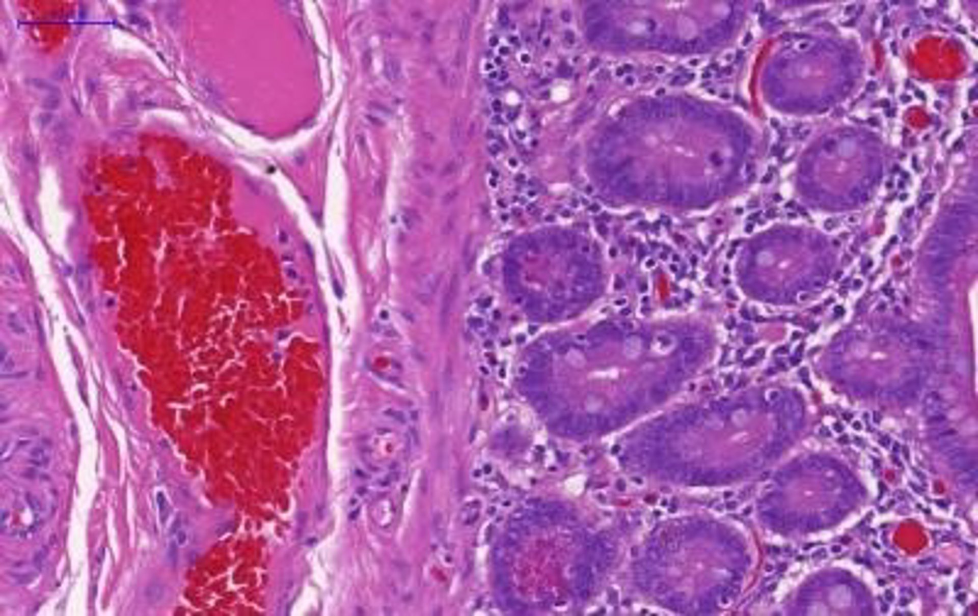
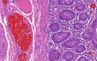
Intestino humano de un paciente con enfermedad inflamatoria intestinal.
UNIVERSIDAD DE MANCHESTER
Infosalus
Actualizado: miércoles, 21 diciembre 2016 13:46

   MADRID, 9 Ago. (EUROPA PRESS) -

   Expertos reunidos en una jornada organizada por el Hospital Infantil Universitario Niño Jesús de Madrid, en colaboración con AbbVie, han avisado de que las enfermedades inflamatorias intestinales (enfermedad de Crohn y colitis ulcerosa) tienen un "gran impacto" en la calidad de vida de los pacientes pediátricos.

   "Durante la jornada hemos querido que las familias entiendan que las EII son una enfermedad crónica que precisa un abordaje multidisciplinar en el que intervenga no solo el gastroenterólogo infantil sino también nutricionistas, psiquiatras, reumatólogos, oftalmólogos con una colaboración estrecha con enfermería y con todos los profesionales que intervienen en el cuidado de estos pacientes", ha explicado la doctora de la Sección de Gastroenterología del Hospital Infantil Universitario Niño Jesús, Mª José Martínez.

   Del mismo modo se ha pronunciado el presidente de GETECCU y responsable de la Unidad de EII del Hospital La Princesa de Madrid, Javier P. Gisbert, quien ha aseverado esta iniciativa refleja la colaboración entre las unidades de EII del H. de La Princesa y del Niño Jesús.

   "Este tándem aúna una serie de virtudes que lo hacen especial: la excelencia de las unidades de ambos hospitales por separado; la amplia experiencia en el manejo de estas enfermedades; la coordinación y confianza mutua y, lo que es más importante, la pasión y la vocación por cuidar, de la mejor forma posible, a los pacientes con EII y a sus familias", ha apostillado.

REPERCUSIÓN SOBRE EL CRECIMIENTO Y DESARROLLO

   Y es que, a diferencia del adulto, las enfermedad inflamatoria intestinal presentan unas características específicas: un curso habitualmente más grave con peor pronóstico, una repercusión sobre el crecimiento y el desarrollo, y un impacto psicológico en el niño y sus familias.

   "Los síntomas de la enfermedad de Crohn son insidiosos durante meses o incluso años: dolor abdominal, retraso del crecimiento, pérdida de peso y de apetito, cansancio generalizado, por lo que en ocasiones es más complicada de diagnosticar", ha recalcado Martínez.

   Se trata, por tanto, de una enfermedad complicada, que cursa por brotes y minimiza la calidad de vida del niño. Además, junto a una fluida relación entre el médico y paciente, es fundamental el papel de la enfermera para afrontar la patología de forma más eficaz.

   "En las fases de ausencia de enfermedad, insistimos en reforzar estrategias para el auto cuidado y hábitos de vida saludable, en definitiva, fomentar una educación para la salud", ha argumentado la supervisora de Enfermería del Hospital Infantil Universitario Niño Jesús, Pilar Alonso.

ABORDAJE DE LAS EII EN NIÑOS

   Ahora bien, los expertos han destacado la importancia de conseguir una remisión precoz y mantenida de la enfermedad, identificando de forma temprana a estos pacientes y derivándolos a una unidad especializada.

   En este sentido, han aconsejado programar la transición desde las unidades pediátricas a las de adultos. "En el caso de la EII, se ha demostrado que en el caso de que la transición no esté organizada se producen más pérdidas en el seguimiento y más abandonos del tratamiento; además, y lo que es más importante, esto tiene como consecuencia un peor control de la enfermedad, con más riesgos de ingresos hospitalarios y, lo que es más grave, más necesidad de intervenciones quirúrgicas por la EII", han señalado.

   Por otro lado, la transición tiene un efecto beneficioso a nivel emocional. Y es que, tal y como ha recalcado la médico adjunto de la Unidad de Enfermedad Inflamatoria Intestinal del Hospital Universitario de La Princesa, María Chaparro, para el paciente y su familia supone una continuidad en sus cuidados y una garantía de que puede depositar su confianza en el equipo de gastroenterólogos de adultos.

Contenido patrocinado