Identifican en ratones un mecanismo que predispone al organismo a sufrir enfermedades metabólicas

Corte longitudinal del intestino en el que se ha delineado en rojo una vellosidad del epitelio intestinal, tejido en el que se ha estudiado el patrón de expresión del gen Tet3.
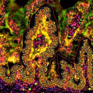
Corte longitudinal del intestino en el que se ha delineado en rojo una vellosidad del epitelio intestinal, tejido en el que se ha estudiado el patrón de expresión del gen Tet3. - IBV-CSIC
Infosalus
Publicado: lunes, 18 noviembre 2024 13:02

MADRID 18 Nov. (EUROPA PRESS) -

Un grupo de investigación internacional liderado por el Instituto de Biomedicina de Valencia (IBV), del Consejo Superior de Investigaciones Científicas (CSIC), ha demostrado en una investigación realizada en ratones que la ausencia del gen Tet3 (una proteína) altera el metabolismo de las células diferenciadas del organismo y predispone la aparición de enfermedades metabólicas.

El estudio, cuyos resultados se han publicado en 'Nature Communications', ha estudiado la función del gen Tet3, sobre el que se ha observado un mal funcionamiento en muchos tipos de enfermedades metabólicas como la diabetes o la obesidad, así como en varios tipos de cáncer. La ausencia de este gen provoca que las células diferenciadas tengan que cambiar el modo en que obtienen energía e iniciar un proceso alternativo y anómalo.

Para comprobar cuáles son las consecuencias de la ausencia del gen Tet3, el equipo liderado por la investigadora del CSIC Natalia Tapia ha procedido a su eliminación en ratones transgénicos. Tapia ha explicado que las células madre que contienen la mayoría de tejidos obtienen su energía a partir del metabolismo glicolítico, mientras que las células diferenciadas lo hacen a partir de un metabolismo basado en la fosforilación oxidativa.

La fosforilación oxidativa se realiza íntegramente en el interior de las mitocondrias. En cambio, el metabolismo glicolítico no requiere el uso de mitocondrias, pero es menos eficiente energéticamente. El uso preferente de la glicolísis frente a la fosforilación oxidativa en células diferenciadas conlleva la aparición de alteraciones metabólicas.

Tapia, quien es la autora principal de este trabajo, ha señalado que los ratones en los que se eliminó el gen Tet3 no son capaces de realizar la fosforilación oxidativa de forma eficiente, por lo que mantienen el metabolismo glicolítico a niveles más altos de lo normal, un fenómeno que también se ha observado en muchos tipos de células tumorales.

"Nuestro estudio sugiere que la pérdida de función del gen Tet3 fuerza a las células hacia un estado metabólico aberrante, el cual puede fomentar la aparición de ciertas enfermedades como el cáncer", ha remachado Tapia.

Contenido patrocinado