Identifican un mecanismo clave en el control de la arquitectura celular

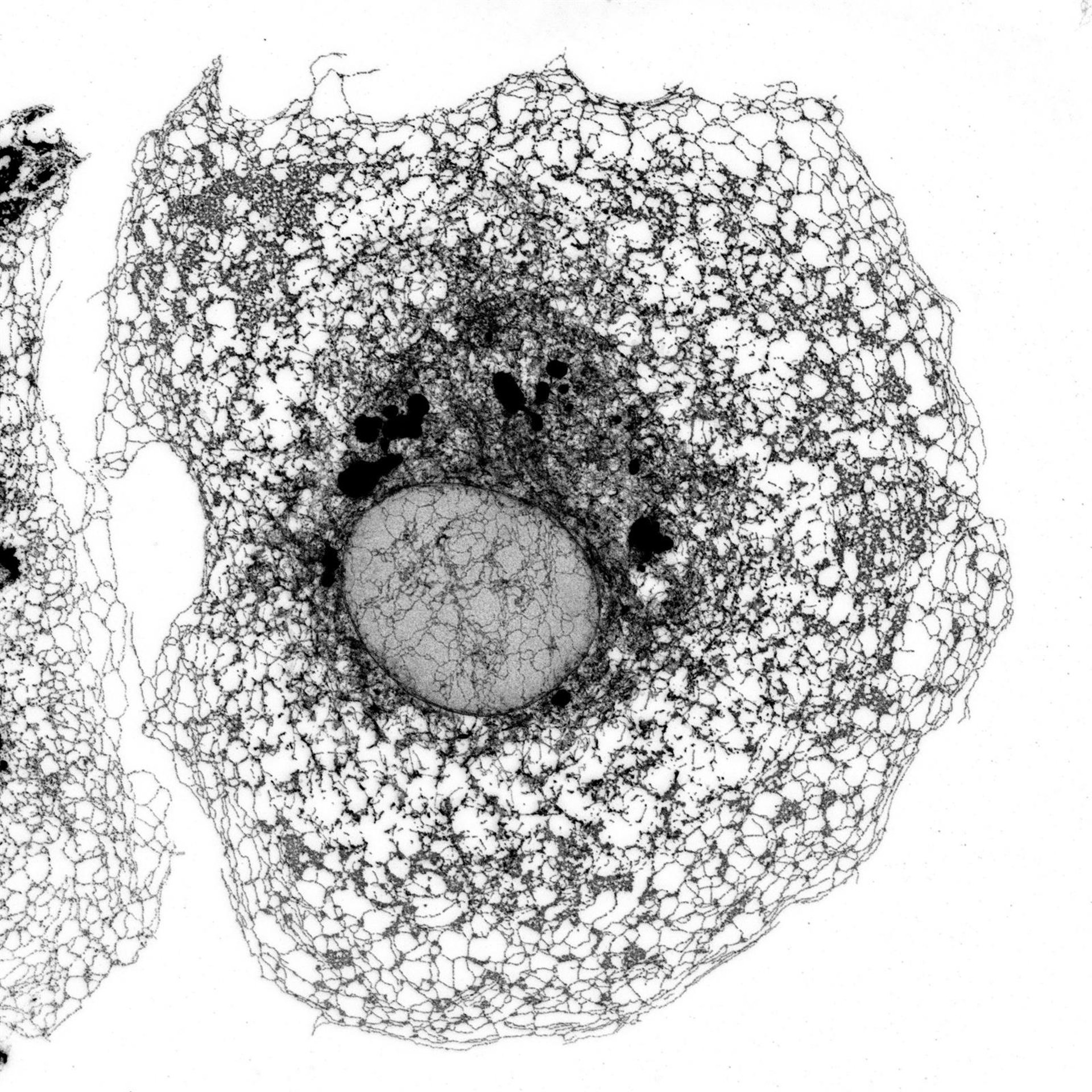
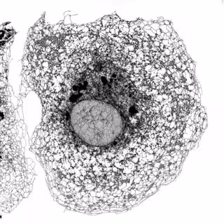
Microscopía confocal de alta resolución del retículo endoplásmico de una célula de riñón de mono verde.
Microscopía confocal de alta resolución del retículo endoplásmico de una célula de riñón de mono verde. - MIGUEL SÁNCHEZ (IIBM-CSIC-UAM)
Infosalus
Publicado: martes, 22 abril 2025 18:35

MADRID 22 Abr. (EUROPA PRESS) -

Un estudio del Consejo Superior de Investigaciones Científicas (CSIC) ha identificado un nuevo mecanismo celular que permite a las células adaptar su arquitectura interna en situaciones de estrés, en concreto, la proteína denominada PERK actúa reorganizando el espacio interior de la célula para que esta pueda seguir funcionando correctamente.

El Instituto de Investigaciones Biomédicas Sols-Morreale (IIBM-CSIC-UAM), liderado por Miguel Sánchez, ha identificado este nuevo hallazgo, que ha sido publicado en la revista 'Cell Reports'.

Hasta ahora se sabía que PERK ayuda a frenar la producción de nuevas proteínas cuando la célula está saturada. Pero este nuevo trabajo revela que también desempeña un papel fundamental en cómo se redistribuyen los compartimentos internos de la célula, especialmente una estructura clave conocida como retículo endoplásmico (RE), responsable de fabricar muchas de las proteínas que necesita la célula.

El retículo endoplásmico es una compleja red de membranas que realiza tareas esenciales, como la formación y maduración de al menos el 30 por ciento de las proteínas de la célula. La arquitectura de esta red de membranas debe adaptarse a la forma de cada tipo de célula, que puede variar según sean pequeñas, como linfocitos con forma esférica, o neuronas, con prolongaciones que llegan a medir varios centímetros.

Además, el retículo endoplásmico debe ajustarse a las necesidades cambiantes de la célula y cuando no funciona en condiciones óptimas, una situación conocida como estrés del retículo endoplásmico, las células tienden a reestructurarlo y aumentar su volumen.

El control preciso de la arquitectura de esta red de membranas es crucial para la supervivencia y el correcto funcionamiento de los diferentes tipos de células en el organismo, pero aún se desconoce en gran medida cómo se lleva a cabo este control y cómo se coordina con los cambios en la forma de la célula.

MICROSCOPÍA AUTOMATIZADA PARA EL ESTUDIO DE ENFERMEDADES

Los investigadores utilizaron una metodología avanzada de microscopía de alto contenido (high-content microscopy), que permite capturar imágenes del retículo endoplásmico en cientos de miles de células y analizar su estructura de manera automatizada. Esto posibilita la realización, en tiempos razonables, de un cribado en el que se anula uno a uno la expresión de miles de genes para estudiar su impacto en la función celular.

El estudio reveló que una proteína de respuesta a estrés del retículo endoplásmico, PERK, desempeña un papel más amplio de lo que se pensaba anteriormente. Así, aseguran que no sólo limita la producción de nuevas proteínas cuando se activa por estrés del retículo endoplásmico, sino que también es esencial para que la expansión del retículo endoplásmico se acomode correctamente dentro del volumen celular.

"Uno de los primeros hallazgos inesperados de este estudio fue que cuando PERK se activa, no sólo reduce la síntesis de proteínas, sino que también relaja el anclaje entre el retículo endoplásmico y los microtúbulos del citoesqueleto (red de proteínas que organiza la forma de las células), permitiendo que el retículo endoplásmico se expanda y se distribuya de manera adecuada dentro de la célula", ha explicado Sánchez.

Los microtúbulos implicados en el proceso de unión con el retículo endoplásmico son los denominados no centrosomales, y están relacionados con la orientación, organización y migración de las células de forma polarizada, en una dirección concreta.

Los investigadores se preguntaron si la activación de PERK también influiría en la estabilidad de los propios microtúbulos. "Aquí llegó otro hallazgo inesperado", apunta el director del estudio. "Descubrimos que el grado de anclaje entre el retículo endoplásmico y los microtúbulos, que está fuertemente influenciado por la actividad de PERK, también afecta la estabilidad de estos microtúbulos", indica Sánchez.

En células sometidas a estrés del retículo endoplásmico -por ejemplo, tras la exposición a tunicamicina, un veneno que provoca la acumulación de proteínas inmaduras en el retículo endoplásmico -, PERK desactiva la maquinaria de síntesis de proteínas y debilita la unión del retículo endoplásmico con los microtúbulos, facilitando su expansión física.

Pero debilitar el anclaje entre el retículo endoplásmico y los microtúbulos tiene un efecto adicional: disminuye la estabilidad de los propios microtúbulos no centrosomales, en un proceso de retroalimentación negativa. "Esto confirma que el control de la arquitectura del retículo endoplásmico y la estabilidad y dinámica de los microtúbulos están estrechamente coordinados y, muy relevante, que podemos manipular artificialmente este sistema", concluye Sánchez.

RELEVANCIA EN BIOMEDICINA

Este sistema dinámico explica otra observación del estudio. "La morfología y el comportamiento móvil de la célula están, en parte, condicionados por el estado funcional del RE y el control de la síntesis de proteínas a través de PERK", explica Sánchez.

"Cuando las células experimentan un alto estrés del retículo endoplásmico y activan PERK, reducen el anclaje del retículo endoplásmico a los microtúbulos no centrosomales para permitir su expansión. Sin embargo, esto también disminuye la estabilidad y abundancia de estos microtúbulos, lo que hace que las células adopten un estado más estático, sin una organización claramente polarizada y con menor capacidad de migración", añade.

"Por el contrario, las células con una actividad reducida de PERK mantienen un alto grado de anclaje entre el retículo endoplásmico y los microtúbulos. Esto puede dificultar la reorganización del retículo endoplásmico, pero también estabiliza los MTs no centrosomales, promoviendo una morfología con protrusiones grandes y estables", concluye.

Contenido patrocinado