Gotas hechas con semen de cerdo: la sorprendente estrategia que apunta a tratar un cáncer ocular infantil

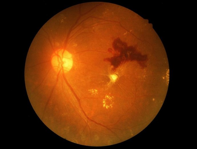
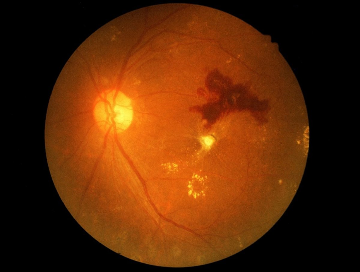
Archivo - Retinopatía diabética
Archivo - Retinopatía diabética - MEMORISZ/ ISTOCK - Archivo
Infosalus
Publicado: lunes, 30 marzo 2026 7:33

    MADRID, 30 Mar. (EUROPA PRESS) -

Llegar a la parte más profunda del ojo sin pinchazos ni radiación suena todavía a ciencia ficción en muchas consultas. Más aún si hablamos de un tumor tan agresivo y delicado como el retinoblastoma, que afecta sobre todo a niños muy pequeños.

Un equipo de China ha probado en animales una solución tan inesperada como llamativa: usar vesículas diminutas procedentes del semen de cerdo como vehículo para llevar fármacos en forma de gotas hasta la retina y el propio tumor. Los primeros resultados en ratones sugieren que esta vía podría frenar el crecimiento del cáncer preservando la función de la retina.

UN VEHÍCULO DIMINUTO CAPAZ DE CRUZAR LAS BARRERAS DEL OJO

   Expertos de la Universidad Farmacéutica de Shenyang (China) aprovecharon la capacidad de los exosomas derivados del semen de cerdo (SEV) para atravesar barreras biológicas y diseñar gotas oftálmicas que pueden penetrar la parte posterior del ojo para tratar elretinoblastoma, un cáncer raro y agresivo que afecta con mayor frecuencia a niños pequeños.

    Tal y como se describe en 'Science', probaron las gotas oftálmicas en ratones y conejos, demostrando en los ratones que las gotas pueden suprimir con éxito el crecimiento del tumor preservando la función retiniana. Estos hallazgos podrían abrir una importante vía para terapias no invasivas que traten la retina, la mácula, el disco óptico y otras estructuras profundas del ojo, que actualmente suelen tratarse con inyecciones o radiación y quimioterapia que dañan la visión.

    Atravesar las barreras celulares del ojo para alcanzar estas estructuras profundas es difícil, por lo que los investigadores consideraron que los exosomas, pequeñas vesículas que actúan como mensajeros intracelulares, podrían ser capaces de lograrlo. Diseñaron gotas oftálmicas con SEV de cerdo modificados con ácido fólico y un sistema de nanoenzimas con puntos de carbono, dióxido de manganeso y glucosa oxidasa.

ASÍ FUNCIONAN ESTAS GOTAS 'INTELIGENTES' CONTRA EL TUMOR

En modelos murinos de retinoblastoma, las vesículas SEV facilitaron la penetración profunda en el ojo, el ácido fólico guió las gotas oftálmicas hacia las células tumorales y el sistema de nanoenzimas, al ser ingerido por estas células, desencadenó su autodestrucción.

    Los investigadores señalan que las vesículas SEV contienen la proteína EGF, fundamental para mediar la disrupción reversible de las uniones estrechas en las células de la barrera ocular, lo que permite que las gotas penetren en la parte posterior del ojo.

Contador

Últimas noticias sobre estos temas

Contenido patrocinado