Experta destaca la importancia de diagnosticar y tratar de forma urgente las fracturas para una adecuada recuperación

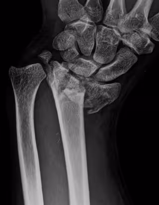
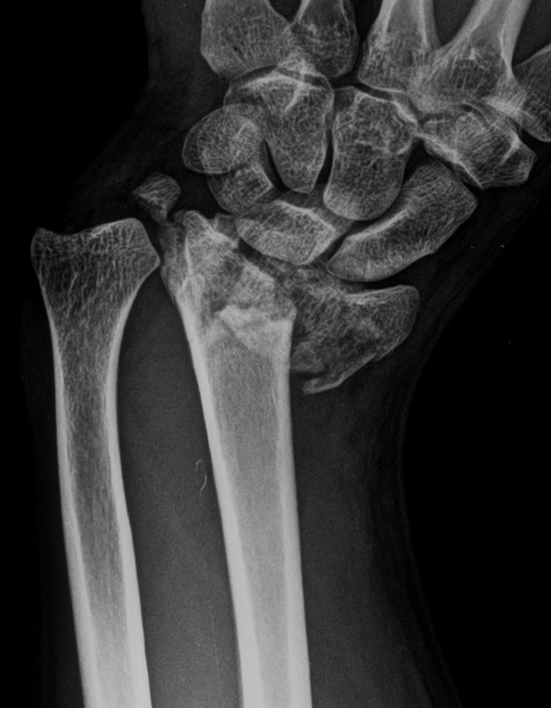
Archivo - Fractura de radio
Archivo - Fractura de radio - HOSPITAL LA LUZ - Archivo
Infosalus
Publicado: jueves, 23 febrero 2023 15:05

MADRID 23 Feb. (EUROPA PRESS) -

La especialista en Cirugía Ortopédica y Traumatología perteneciente al Servicio del doctor Ghassan Elgeadi Saleh y coordinadora de la Unidad de Fracturas del Hospital Quirónsalud San José, Amaia Martínez Menduiña, ha destacado la importancia de diagnosticar y tratar de forma urgente las fracturas para que haya una adecuada recuperación.

Las fracturas son una patología muy prevalente, siendo las más frecuentes las de cadera (entre 40.000 y 45.000 cada año, según el Registro Nacional de Fracturas de Cadera), muñeca, tobillo y hombro. En cuanto a las principales causas de estas fracturas, destacan las caídas casuales en personas mayores, relacionadas en gran parte con la fragilidad y la osteoporosis y los traumatismos secundarios a accidentes en los más jóvenes (derivados del uso de bicicleta, coche, patinete eléctrico o la práctica de deportes de riesgo).

"En muchas ocasiones las fracturas van acompañadas de complicaciones graves, fundamentalmente ampollas de fractura, lesiones en vasos sanguíneos o heridas en el caso de fracturas abiertas, que requieren una atención inmediata y urgente, dado que su diagnóstico y tratamiento puede afectar de manera decisiva al diagnóstico y tratamiento de la fractura, así como a su evolución", ha dicho la experta.

Para prevenir posibles complicaciones y secuelas, como pueden ser no uniones, maluniones y/o infecciones, principalmente, es conveniente acudir a un Servicio de Urgencias especializado para afrontar las situaciones complejas que pueden derivarse del tratamiento de las fracturas.

Respecto al tratamiento de las fracturas, la doctora ha informado de que "es muy variado", informando de que existen numerosas técnicas y una gran variedad de implantes, por lo que cada caso debe ser "cuidadosamente" analizado y planificado con el fin de determinar un tratamiento individualizado para cada tipo de fractura y paciente.

Contenido patrocinado