Un estudio descubre nuevas vulnerabilidades en un gen que causa la diabetes

Investigadores del Centro de Regulación Genómica (CRG) y del Imperial College de Londres han descubierto en un estudio un "interruptor" que regula la actividad de un gen que causa la diabetes
Investigadores del Centro de Regulación Genómica (CRG) y del Imperial College de Londres han descubierto en un estudio un "interruptor" que regula la actividad de un gen que causa la diabetes - CRG
Infosalus
Publicado: jueves, 27 octubre 2022 11:13

BARCELONA 27 Oct. (EUROPA PRESS) -

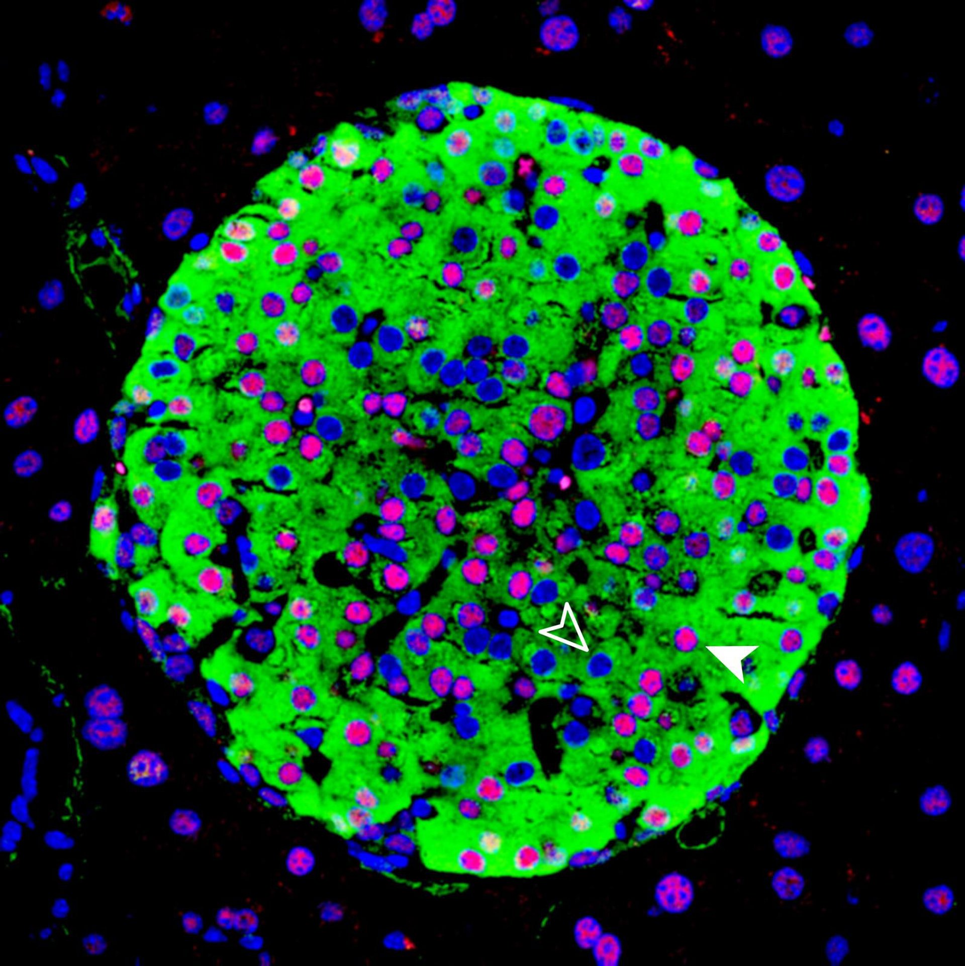
Investigadores del Centro de Regulación Genómica (CRG) y del Imperial College de Londres han descubierto en un estudio un "interruptor" que regula la actividad de un gen que causa la diabetes y que puede revelar nuevas vulnerabilidades en la enfermedad.

La revista 'Nature Cell Biology' ha publicado los resultados del estudio que han elaborado a partir de una combinación de modelos de ratón y de humanos y que puede conducir al desarrollo de nuevas estrategias terapéuticas, ha informado el CRG en un comunicado este jueves.

El HNF1A es un gen que proporciona las instrucciones para producir una proteína llamada factor nuclear 1 alpha de hepatocitos, que se expresa en muchos tejidos y es particularmente importante para el páncreas, donde desempeña un papel en el desarrollo de las células beta --son las que producen la hormona insulina encargada de regular los niveles de azúcar en la sangre--.

Las mutaciones en este gen hacen que las células construyan una proteína que no funciona como debería y que perjudica la función de las células beta, lo que lleva a las personas a desarrollar una enfermedad conocida como diabetes del adulto de inicio juvenil.

Se trata de una patología que representa el 1% de todos los tipos de diabetes, pero su prevalencia es alta en términos de números absolutos debido a que entre el 5% y el 10% de la población mundial tiene diabetes.

Últimas noticias sobre estos temas

Contenido patrocinado