La estimulación fisiológica mejora el implante de marcapasos y previene el deterioro de la función cardíaca

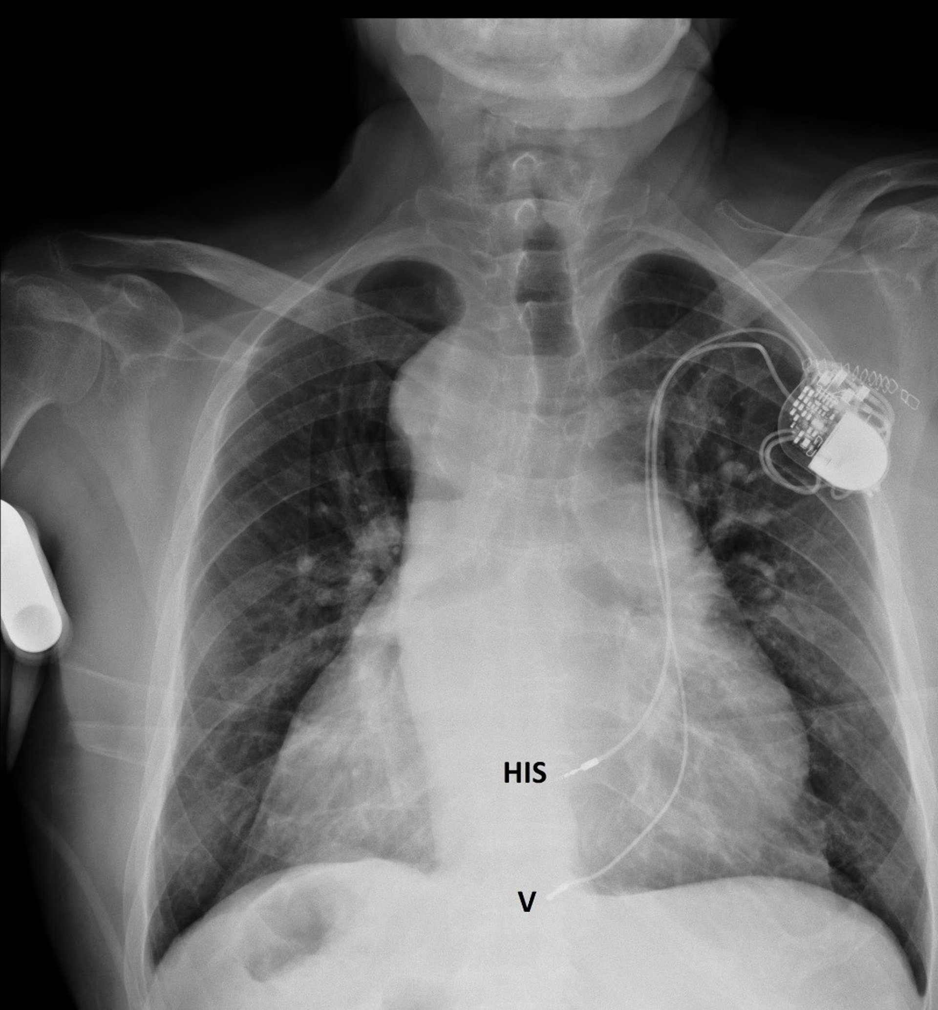
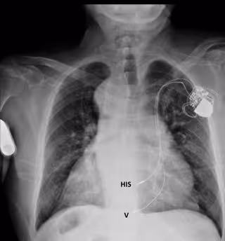
Archivo - Estimulador hisiano
Archivo - Estimulador hisiano - JUNTA DE ANDALUCÍA - Archivo
Infosalus
Publicado: viernes, 18 agosto 2023 11:22


MADRID, 18 Ago. (EUROPA PRESS) -

El jefe de servicio de Cardiología del Hospital La Moraleja, el doctor Manuel Jiménez Mena, ha asegurado que "la estimulación fisiológica permite generar un latido artificial que replica la activación eléctrica de un corazón normal".

"Esto es muy eficaz a la hora de prevenir el deterioro de la función cardíaca que ocurre en un porcentaje significativo de pacientes portadores de un marcapasos convencional", ha resaltado el experto.

La activación normal del corazón se produce de arriba hacia abajo, es decir, desde las aurículas hacia la punta de los ventrículos. Cuando se implanta un marcapasos, la corriente eléctrica que se produce es justamente la contraria, de abajo hacia arriba, y, en ocasiones, origina una asincronía que puede afectar negativamente a la función contráctil del corazón.

En este momento aparece la estimulación fisiológica que viene a mejorar la estimulación cardiaca convencional. El Hospital Universitario Sanitas La Moraleja ha empleado por primera vez con éxito en varios pacientes.

En efecto, hasta ahora los marcapasos tradicionales se colocaban en la punta del ventrículo derecho, dando lugar a un latido artificial que generaba una contracción asincrónica del corazón. Por el contrario, la estimulación fisiológica cambia el modo en el que el marcapasos activa el corazón. Esta activación es de arriba abajo, en la misma dirección que se produce la estimulación normal.

"Si estimulamos la rama izquierda del haz de Hiss, conseguimos la estimulación buscada, muy parecida a la normal del corazón, muy estable y prácticamente sin fracasos", ha explicado el doctor Jiménez Mena.

En definitiva, la nueva técnica permite una contracción del corazón más fisiológica a la vez que minimiza, sino elimina prácticamente, la posibilidad de que aparezca una disfunción ventricular, una miocardiopatía ligada al funcionamiento del marcapasos.

Muy beneficiosa para cualquier paciente que precise del implante de un marcapasos, la estimulación fisiológica es especialmente importante en aquellas personas jóvenes que vayan a convivir con el dispositivo durante muchos años y requieran de estímulo ventricular durante gran parte del tiempo. "Se está demostrando que los resultados clínicos con este tipo de estimulación son muy buenos", ha afirmado el especialista.

"Tanto es así que se está extendiendo su uso al terreno de la insuficiencia cardiaca y actualmente podría suponer una alternativa a la resincronización cardiaca convencional, que implica tener que introducir un cable más en el corazón y utilizar generadores más complejos", ha añadido.

Con todo, no hay inconveniente alguno en que personas de edad avanzada puedan también aprovechar los beneficios de la estimulación fisiológica. "No hay exclusiones por razón de edad. Lógicamente, si la esperanza de vida es muy corta o el riesgo de infección es muy alto durante la intervención, pues podemos optar por otras alternativas, como el marcapasos sin cables. Pero la estimulación fisiológica, que es además la más natural, siempre es posible llevarla a cabo", ha detallado el experto.

La nueva técnica es muy similar en el procedimiento asistencial y en la estancia hospitalaria a la implantación tradicional de cualquier otro marcapasos. Realizada por la Unidad de Arritmias, precisa de la intervención de un cardiólogo con experiencia en estimulación cardiaca y electrofisiología.

Según el doctor Jiménez Mena, la estimulación fisiólogica supone el fin de la disfunción ventricular izquierda por estimulación de marcapasos convencional. "Este problema queda solventado con la estimulación fisiológica", ha concluido.

Contenido patrocinado