La edad es el principal factor de riesgo para padecer linfoma cerebral, según experto

Linfoma cerebral
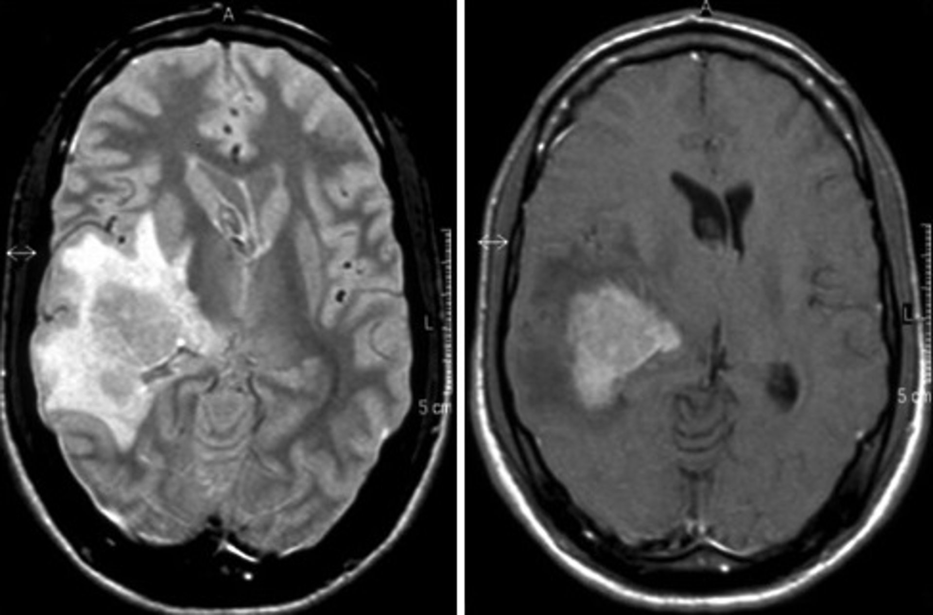
Linfoma cerebral - HOSPITAL RUBER INTERNACIONAL
Infosalus
Publicado: lunes, 20 enero 2025 10:37

MADRID 20 Ene. (EUROPA PRESS) -

El médico adjunto del Servicio de Hematología del Hospital Ruber Internacional, el doctor Javier Cornago, señala que, como en cualquier patología tumoral, "la edad es el principal factor de riesgo para padecer linfoma cerebral" y que "no existen otras causas directamente vinculadas con esta enfermedad".

Además, explica que se trata de una patología que "casi siempre afecta al cerebro, pero, en ocasiones, también puede aparecer a nivel del cerebelo o la médula espinal". Suele presentar síntomas neurológicos, como alteraciones de la visión o el habla, debilidad en brazos y piernas o crisis convulsivas. No obstante, el paciente también puede padecer náuseas, vómitos y dolor de cabeza, debido al aumento de la presión intracraneal por el crecimiento del tumor.

Ahora bien, los hematólogos de este hospital aseguran que el linfoma cerebral se trata de un tumor "raro" debido a su baja incidencia, de modo que "puede resultar difícil la realización de un diagnóstico temprano". Por este motivo, en cuanto aparecen los primeros signos y síntomas, los especialistas realizan pruebas de imagen cerebral, como un escáner y una resonancia magnética.

Además, según explica el doctor Cornago, si se descarta un accidente cerebrovascular y aparece una masa cerebral, "se biopsia dicha lesión. Así, con el resultado histológico, se podrá llegar con certeza al diagnóstico de linfoma cerebral". En ese sentido, destaca que la biopsia es la manera de confirmar que se trata de esa enfermedad y no de otros tumores cerebrales primarios u otras entidades como infecciones.

Después, se realiza un PET-TC para ver si el tumor ha afectado a otros niveles o, exclusivamente, al sistema nervioso central. También se lleva a cabo una punción lumbar para analizar el líquido cefalorraquídeo.

TRATAMIENTO DE LINFOMA CEREBRAL

Si el linfoma cerebral se encuentra en una primera fase, se trata con corticosteroides puesto que "producen una rápida mejoría inicial porque disminuyen discretamente la lesión cerebral y el edema asociado, pero las respuestas no son duraderas ni suponen un tratamiento definitivo", apunta el experto.

Asimismo, añade que esta patología no requiere de ninguna operación, a diferencia de otros tumores primarios del cerebro, y que "el eje del tratamiento es la quimioterapia" mediante fármacos que, con las dosis adecuadas, "son capaces de atravesar la barrera hematoencefálica y penetrar dentro del sistema nervioso central para ejercer su efecto sobre el linfoma".

la radioterapia e el cerebro también sirve para tratar esta enfermedad, pero, de forma aislada, este abordaje no es curativo y puede causar alteraciones en pacientes mayores, como demencia. Por ello, "su indicación debe individualizarse según las características de cada persona", asegura el doctor.

Por último, el experto explica que si la quimioterapia no resulta efectiva, se puede plantear un tratamiento con protonterapia o la inclusión en ensayos clínicos, en fases tempranas, "con terapia celular con células CAR-T".

Contenido patrocinado