Descubren una posible solución para la malaria en el fondo marino

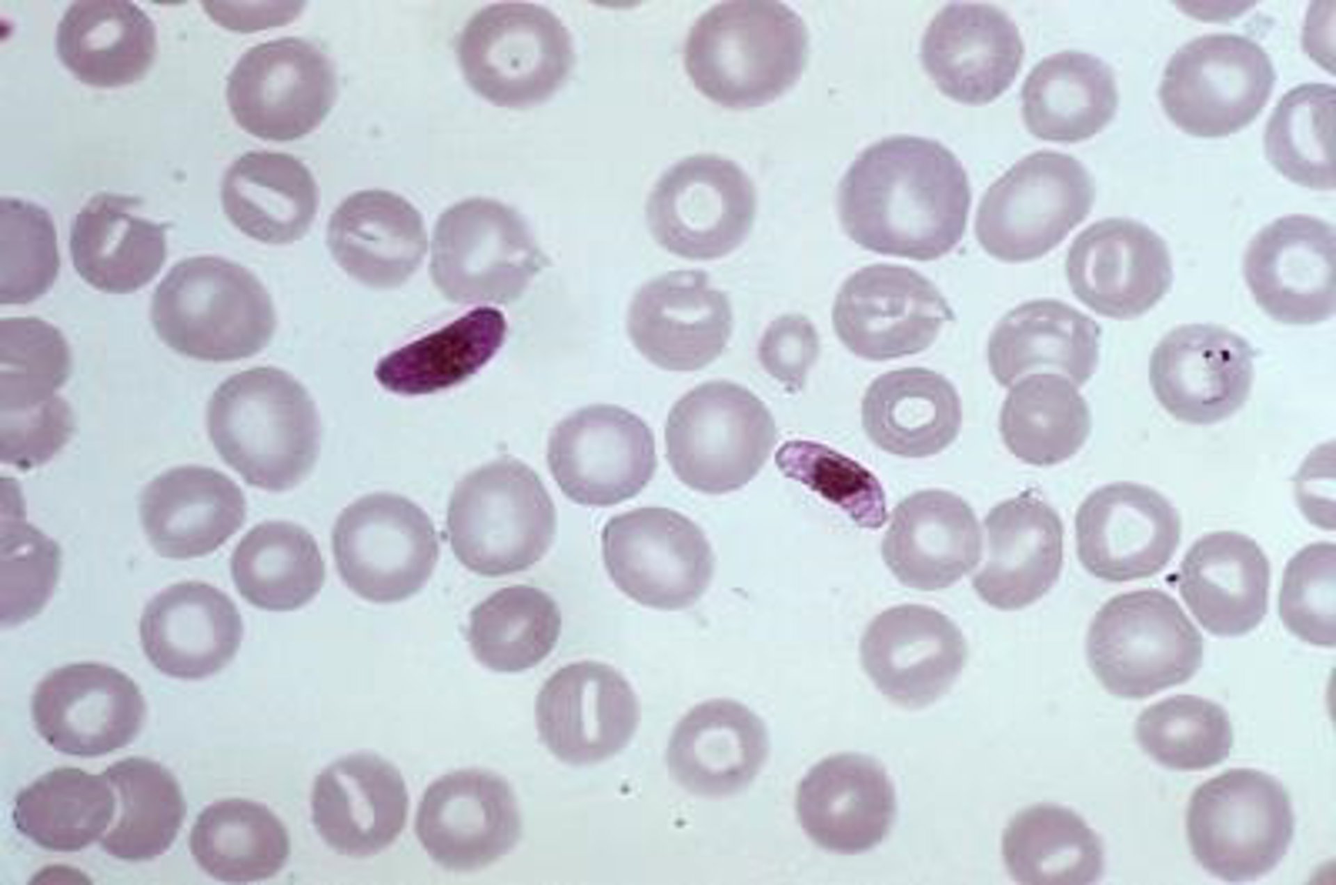
Parásitos de la malaria entre glóbulos rojos normales
CDC/MAE MELVIN
Infosalus
Actualizado: martes, 17 mayo 2016 15:46

BARCELONA, 17 May. (EUROPA PRESS) -

Investigadores de la unidad mixta de Nanomalaria IBEC/ISGlobal han mostrado que ciertos azúcares obtenidos a partir de organismos marinos inhiben el crecimiento de uno de los parásitos que causa la malaria, 'Plasmodium falciparum', al bloquear su capacidad de invadir a los glóbulos rojos.

El estudio, publicado en la revista 'Scientific Reports', abre nuevas vías para el desarrollo de medicamentos antimaláricos contra los cuales Plasmodium no parece desarrollar resistencias.

"Los organismos marinos son una fuente rica en polisacáridos sulfatados (azúcares) similares a la heparina", ha dicho la investigadora de la unidad mixta Ibec/ISGlobal y primera autora del estudio, Joana Marques.

"La ventaja es que dichas moléculas tienen actividades anticoagulantes suficientemente pequeñas para ser utilizadas en la sangre circulante a sus concentraciones activas sin incurrir en el riesgo de hemorragia interna", ha añadido.

Cuando el parásito de la malaria entra en el torrente sanguíneo, invade las células del hígado para producir miles de merozoítos --una fase del ciclo de vida del parásito Plasmodium--.

Dichos merozoítos vuelven a incorporarse al torrente, donde infectan los glóbulos rojos y logran escapar a la vigilancia del sistema inmunitario.

Desde hace tiempo se sabe que algunas biomoléculas como la heparina pueden bloquear la adhesión y entrada de los merozoítos a los glóbulos rojos, aunque la heparina no es un buen candidato terapéutico debido a que las cantidades necesarias para el tratamiento de la malaria podrían provocar hemorragias internas.

PEPINOS DE MAR, ALGAS ROJAS Y ESPONJAS MARINAS

En el estudio, los autores exploraron la capacidad antimalárica de polisacáridos sulfatados parecidos a la heparina, derivados de pepinos de mar, algas rojas y esponjas marinas, y encontraron que dichos compuestos inhiben de manera significativa el crecimiento de Plasmodium falciparum, aún a concentraciones bajas a las que no tienen actividad anticoagulante.

Además, la mayoría de los compuestos analizados aumentaron la supervivencia de ratones infectados con otra especie de Plasmodium e, incluso en alguno de los ratones infectados, observaron la aparición de anticuerpos contra el parásito, lo cual sugiere que el hecho de retardar la invasión de los glóbulos rojos favorece la generación de una respuesta inmune contra el parásito.

Contenido patrocinado