Descubren cómo el cerebro humano compensa cuando se elimina un hemisferio

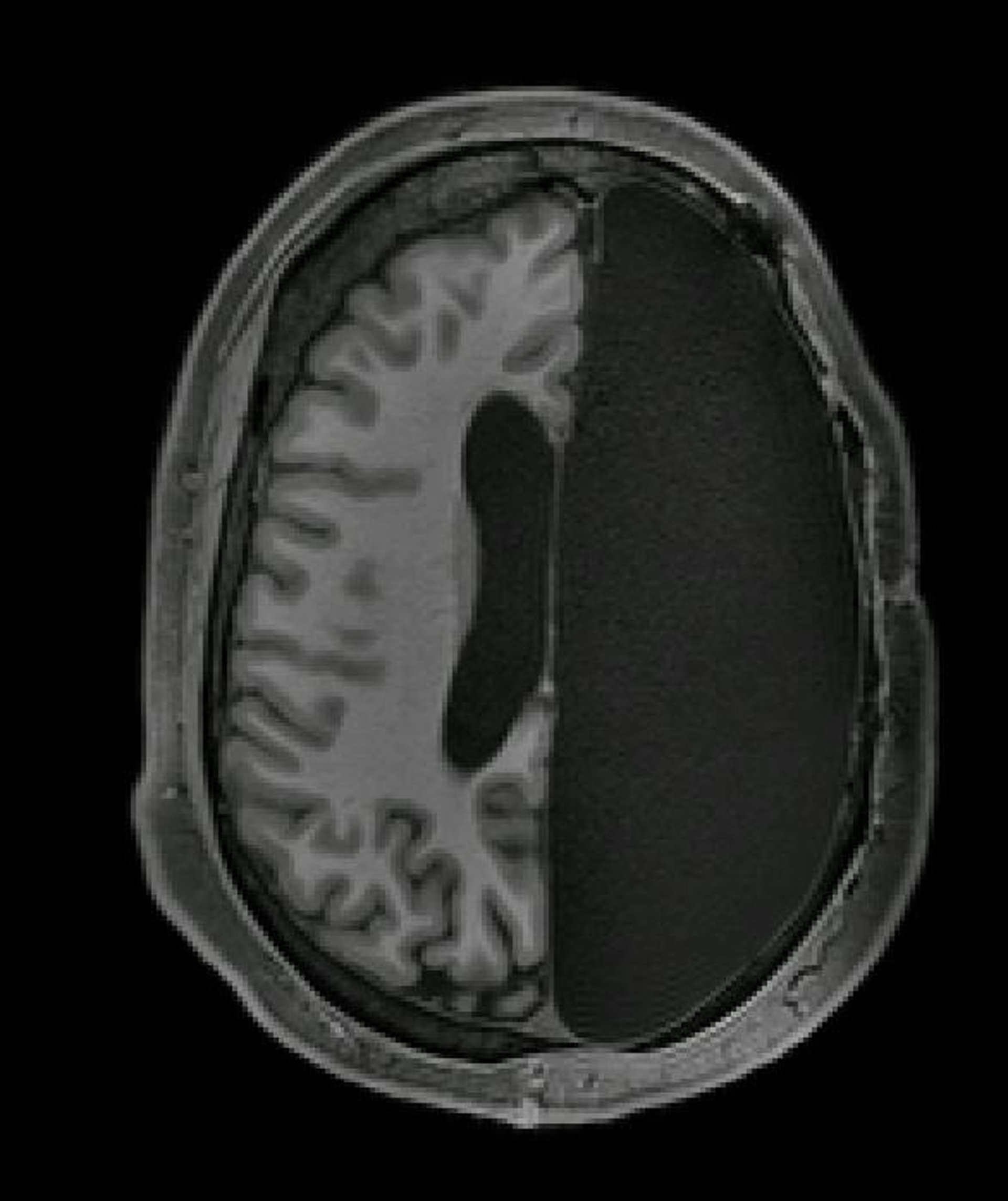
Imagen fr resonancia magnéticaque muestra el cerebro de un adulto al que se le extirpó un hemisferio completo durante la infancia debido a la epilepsia. Hemisferectomía.
Imagen fr resonancia magnéticaque muestra el cerebro de un adulto al que se le extirpó un hemisferio completo durante la infancia debido a la epilepsia. Hemisferectomía. - CALTECH BRAIN IMAGING CENTER
Infosalus
Publicado: jueves, 28 noviembre 2019 7:03

   MADRID, 28 Nov. (EUROPA PRESS) -

   Investigadores que estudiaron a seis adultos a los que se les extrajo uno de sus hemisferios cerebrales durante la infancia para reducir las convulsiones epilépticas descubrieron que la mitad restante del cerebro había formado conexiones inusualmente fuertes entre diferentes redes cerebrales funcionales, que potencialmente ayudan al cuerpo a funcionar como si el cerebro estuviera intacto.

   Este estudio, que investiga la función cerebral en estos individuos con hemisferectomía, ha sido publicado en la revista 'Cell Reports' por investigadores del Instituto de Tecnología de California.

   "Las personas con hemisferectomías que estudiamos tenían un funcionamiento notablemente alto. Tienen habilidades lingüísticas intactas y cuando les puse en el escáner hicimos una pequeña charla, al igual que los cientos de otras personas que escaneé", explica la primera autora Dorit Kliemann, una alumna postdoctoral del Instituto de Tecnología de California.

   "Casi puedes olvidar su condición cuando los conoces por primera vez --asegura--. Cuando me siento frente a la computadora y veo sus imágenes de resonancia magnética que muestran solo medio cerebro, todavía me maravillo de que las imágenes provengan del mismo ser humano que yo acabo de ver hablar y caminar y quién eligió dedicar su tiempo a la investigación".

   Los participantes del estudio, incluidos seis adultos con hemisferectomía infantil y seis personas como control, recibieron instrucciones de tumbarse en una máquina de resonancia magnética funcional, relajarse e intentar no quedarse dormidos mientras los investigadores realizaban un seguimiento de la actividad cerebral espontánea en reposo.

   Los investigadores observaron redes de regiones cerebrales conocidas por controlar cosas como la visión, el movimiento, las emociones y la cognición. También compararon los datos recopilados en el Caltech Brain Imaging Center con una base de datos de aproximadamente 1.500 cerebros normales del Brain Genomics Superstruct Project.

   Pensaron que podrían encontrar conexiones más débiles dentro de redes particulares en las personas con un solo hemisferio, ya que muchas de esas redes generalmente involucran ambos hemisferios del cerebro en personas con cerebros típicos. En cambio, encontraron una conectividad global sorprendentemente normal, y conexiones más fuertes que los controles entre diferentes redes.

   Los seis participantes tenían entre 20 y 30 años durante el estudio, pero tenían entre 3 meses y 11 años en el momento de sus hemisferectomías. La amplia gama de edades en las que se sometieron a las cirugías permitió a los investigadores centrarse en cómo el cerebro se reorganiza cuando se lesiona.

   "Puede ayudarnos a examinar cómo es posible la organización del cerebro en casos muy diferentes de pacientes con hemisferectomía, lo que nos permitirá comprender mejor los mecanismos generales del cerebro", señala Kliemann.

   En el futuro, el programa de investigación de hemisferectomía en Caltech espera replicar y expandir este estudio para comprender mejor cómo se desarrolla, se organiza y funciona el cerebro en individuos con una amplia gama de atipicidades cerebrales.

   "Tan notable como es que haya personas que pueden vivir con medio cerebro, a veces una lesión cerebral muy pequeña como un derrame cerebral o una lesión cerebral traumática como un accidente de bicicleta o un tumor puede tener efectos devastadores", dice Kliemann.

   "Estamos tratando de comprender los principios de la reorganización del cerebro que pueden conducir a una compensación. Tal vez en el futuro, ese trabajo puede informar estrategias de intervención específicas y diferentes escenarios de resultados para ayudar a más personas con lesiones cerebrales", señala.

Contenido patrocinado