Desarrollan un sistema basado en técnicas de aprendizaje para agilizar la detección de la enfermedad de Kawasaki

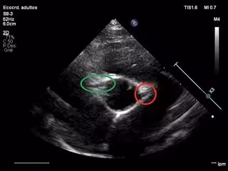
Imagen de un ecocardiograma en el que aparecen ambas arterias coronarias. Redondeada de color rojo la arteria coronaria izquierda y de color verde la arteria coronaria derecha
Imagen de un ecocardiograma en el que aparecen ambas arterias coronarias. Redondeada de color rojo la arteria coronaria izquierda y de color verde la arteria coronaria derecha - UPM
Infosalus
Publicado: lunes, 10 enero 2022 12:26


MADRID, 10 Ene. (EUROPA PRESS) -

Investigadores del Grupo de Investigación de Tratamiento de Imágenes de la Universidad Politécnica de Madrid (UPM) han desarrollado un sistema basado en técnicas de aprendizaje profundo capaz de agilizar el análisis de las imágenes procedentes del ecocardiograma mejorando y agilizando así el diagnóstico de la enfermedad de Kawasaki.

Dicha patología, según indican los científicos, es la afección cardíaca más común presente en los niños de los países desarrollados. Si la enfermedad no se diagnostica pronto puede generar vasculitis, miocarditis y dilatación coronaria pudiendo causar complicaciones cardíacas a largo plazo por el daño generado en los vasos sanguíneos.

Por ello, remarca la UPM, es importante perfeccionar las técnicas de detección de las que se dispone a partir del análisis de los datos procedentes de técnicas de imagen inocuas como puede ser el ecocardiograma.

"La realización de ecocardiogramas permite detectar anomalías en las arterias coronarias. Este proceso es difícil de automatizar, por lo que se realiza de forma manual, siendo normalmente un proceso complejo, lento y tedioso, pero el más efectivo para diagnosticar esta patología", ha explicado uno de los investigadores de la UPM, Julián Cabrera.

El modelo propuesto por los investigadores aborda el primer paso de análisis automático del ecocardiograma: la detección de las arterias coronarias en los fotogramas del mismo. "En esta primera etapa, el sistema extrae todos los fotogramas pertenecientes al ecocardiograma y se clasifican en función de las arterias que aparecen en ellos: arteria izquierda, arteria derecha, ambas arterias o ninguna", ha añadido el científico.

En este sentido, la investigación se ha centrado en el diseño, desarrollo y evaluación de redes neuronales convolucionales de diferente profundidad diseñadas específicamente para clasificar imágenes de ecocardiografía.

"Este primer desarrollo va a permitir seleccionar automáticamente los fotogramas relevantes a analizar dentro del ecocardiograma, permitiendo agilizar el diagnóstico de la enfermedad y facilitando el trabajo a los cardiólogos", ha concluido Cabrera.

Contenido patrocinado