El daño pulmonar puede persistir mucho tiempo después de la neumonía por COVID-19

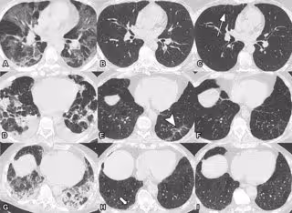
TC torácicos axiales seriados sin contraste de tres participantes en el estudio con neumonía COVID-19 previa.
TC torácicos axiales seriados sin contraste de tres participantes en el estudio con neumonía COVID-19 previa. - RADIOLOGICAL SOCIETY OF NORTH AMERICA
Infosalus
Publicado: miércoles, 30 marzo 2022 17:01


MADRID, 30 Mar. (EUROPA PRESS) -

Algunas personas que se recuperan de una neumonía por COVID-19 presentan daños pulmonares que persisten un año después de la aparición de los síntomas, según un nuevo estudio publicado en la revista científica 'Radiology'.

Los efectos a corto plazo del COVID-19 en los pulmones, como la neumonía, están bien documentados. Se sabe mucho menos sobre los efectos a largo plazo de la enfermedad en los pulmones.

Como parte de un estudio observacional en Austria sobre el desarrollo de enfermedades pulmonares en pacientes con infección por SARS-CoV-2, los investigadores examinaron los patrones y las tasas de mejora de las anomalías de la TC torácica en pacientes un año después de la neumonía por COVID-19. El TC ha sido una herramienta de imagen importante en el estudio de los pacientes con sospecha de COVID-19.

Los investigadores evaluaron las anomalías pulmonares en la TC de tórax en 91 participantes, con una edad media de 59 años, en varios puntos durante un año después de la aparición de los síntomas de COVID-19.

Al año, las anomalías de la TC estaban presentes en 49, o el 54%, de los 91 participantes. De estos 49 participantes, dos (4%) habían recibido sólo tratamiento ambulatorio, mientras que 25 (51%) fueron tratados en una sala general del hospital y 22 (45%) habían recibido tratamiento en la unidad de cuidados intensivos (UCI).

"Las anomalías observadas en el TC de tórax de nuestro estudio son indicativas de tejido pulmonar dañado. Sin embargo, actualmente no está claro si representan una cicatrización persistente, y si retroceden con el tiempo o conducen a la fibrosis pulmonar", explica la coautora del estudio, la doctora Anna Luger, del Departamento de Radiología de la Universidad Médica de Innsbruck (Austria).

Aunque las anomalías de la TC disminuyeron en los seguimientos iniciales, el 63 por ciento de los participantes con anomalías no mostraron ninguna mejora adicional después de seis meses. La edad superior a los 60 años, la gravedad crítica de la COVID-19 y el sexo masculino se asociaron con la persistencia de las anomalías de la TC al cabo de un año.

Según el coautor del estudio, el doctor Leonhard Gruber, del Departamento de Radiología de la Universidad Médica de Innsbruck, los datos del brote de SARS-CoV-1 de 2002 a 2004 muestran que las anomalías pulmonares pueden seguir siendo detectables incluso después de décadas, pero no muestran ninguna progresión. Sin embargo, estudios recientes han puesto de manifiesto un riesgo de progresión de las anomalías pulmonares como las que muestra el TC.

"En un estudio clínico publicado recientemente por nuestro grupo de trabajo interdisciplinario CovILD, pudimos demostrar que la gravedad de la COVID-19 aguda, la inflamación sistémica prolongada y la presencia de anomalías residuales en la TC de tórax están fuertemente relacionadas con el deterioro persistente de la función pulmonar y los síntomas clínicos", detalla el coautor del estudio, el doctor Christoph Schwabl, de la Universidad Médica de Innsbruck.

Contenido patrocinado