Científicos demuestran que la melatonina protege del daño renal provocado por la obesidad con diabetes

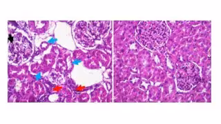
Imágenes microscópicas que muestran el aspecto anormal del riñón (con daños renales) en las ratas obesas y diabéticas sin tratamiento con melatonina (panel izquierdo) y en la de derecha muestran mejora del daño renal de las tratas con melatonina.
Imágenes microscópicas que muestran el aspecto anormal del riñón (con daños renales) en las ratas obesas y diabéticas sin tratamiento con melatonina (panel izquierdo) y en la de derecha muestran mejora del daño renal de las tratas con melatonina. - UGR
Infosalus
Publicado: viernes, 28 mayo 2021 17:28

GRANADA 28 May. (EUROPA PRESS) -

Científicos de la Universidad de Granada (UGR), el Hospital Universitario La Paz (Madrid) y la Universidad de Texas (EEUU) han demostrado que la melatonina protege el daño renal provocado por la obesidad con diabetes.

Concretamente, los investigadores han demostrado que la administración crónica de melatonina en dosis previene la alteración mitocondrial y del retículo endoplasmático, que juegan un papel crítico en el desarrollo y la patogénesis del daño en las células del riñón (nefronas), y su progresión hacia la insuficiencia renal.

Así, se ha comprobado que la melatonina previene la afectación en la función y de la dinámica de las mitocondrias celulares, disminuyendo el aumento de la producción de radicales libre de oxígeno (responsables del estrés oxidativo).

También previene la alteración patológica en la función del retículo endoplasmático, que en condiciones de estrés oxidativo anormalmente elevado se relaciona con un incremento de la muerte celular programada (la nefrona) conducente a la pérdida de la funcionalidad renal, como paso previo al desarrollo de la insuficiencia renal y necesidad de hemodiálisis o de trasplante.

Los estudios coordinados por la UGR muestran la eficacia de la melatonina, a la hora de detener la progresión del daño renal mediada por el daño mitocondrial y el exceso del estrés del retículo endoplasmático.

Según explica el autor principal de este estudio, el investigador del departamento de Farmacología de la UGR Ahmad Agil, "el daño renal está causado por las complicaciones metabólicas de la obesidad, tales como la diabetes, hipertensión, alteraciones de la lípidos en sangre o la enfermedad del hígado graso. Dado que la prevalencia de estas patologías (en su conjunto reconocidas como síndrome metabólico) no dejan de aumentar, el daño renal y su progresión en el tiempo a insuficiencia renal, se ha convertido en un problema de salud que afecta a millones de personas en todo el mundo, con un gran coste socioeconómico, al requerir instalaciones de hemodiálisis y/o servicios de trasplante renal, con los correspondientes estudios de compatibilidad necesarios".

La importancia de los trabajos radica no sólo en la eficacia de la melatonina para contrarrestar los dos mecanismos de daño renal propuestos, basados por un lado en la alteración de la función y la dinámica mitocondrial, y por otro en la función del retículo endoplasmático (RE)), sino que además también proponen un tratamiento alternativo preventivo. Este mejoraría esta función renal con un fármaco bien estudiado y con un perfil de seguridad muy alto como la melatonina, que es un medicamento que en la UE ha de ser, obligatoriamente, prescrito por un médico y que ya se administra en el tratamiento del insomnio.

Contenido patrocinado