Las células tumorales conquistan el territorio de sus vecinas

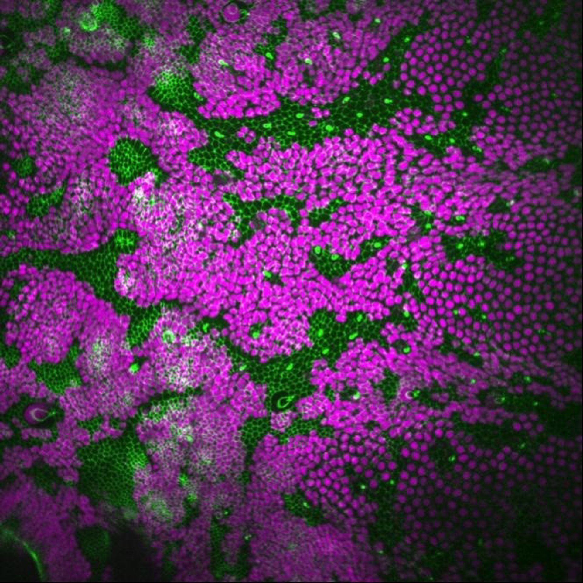
Expansión de células tumorales (púrpura) y deformación de células vecinas (verde
ROMAIN LEVAYER AND EDUARDO MORENO
Infosalus
Actualizado: lunes, 17 diciembre 2018 7:53

   MADRID, 17 Dic. (EUROPA PRESS) -

   A pesar de décadas de investigación sobre el cáncer, las fases iniciales de la progresión del tumor que conectan la aparición de pocas células anormales con la formación de una masa tumoral clínicamente detectable aún no se conocen bien. Anteriormente, se propuso que ciertas mutaciones podrían dar una ventaja competitiva a un subconjunto de células que les permitiría matar y reemplazar a sus vecinas, iniciando así un tumor canceroso; pero los mecanismos en la base de dicha competencia no estaban claros.

   Investigadores del Instituto Pasteur, en París, Francia, y del Centro Champalimaud para lo Desconocido, en Lisboa, Portugal, acaban de descubrir un nuevo mecanismo que puede explicar cómo las células tumorales pueden eliminar a sus vecinos y diseminarse por todo el cuerpo.

   En un estudio publicado hace dos años, Eduardo Moreno, del Centro Champalimaud para lo Desconocido, y Romain Levayer, del Instituto Pasteur, identificaron una forma de competencia entre células que no se conocía anteriormente, a la que llamaron competencia mecánica. "Durante el desarrollo normal, por ejemplo, hay fases en las que los tejidos se saturan y luego se eliminan algunas células --dice Moreno--. Pero se pensó que estas células estaban siendo expulsadas del tejido superpoblado por la extrusión de células vivas, lo que significa que simplemente saldrían".

   El equipo descubrió que no era así. Las células fueron asesinadas activamente por una forma de competencia que antes era desconocida. "Cuando bloqueamos la ruta programada de la muerte celular, estas células en realidad se comprimirían y comprimirían, pero no morirían ni se expulsarían. Fue entonces cuando nos dimos cuenta de que debe haber un tipo diferente de competencia, una mecánica, en la que las células de alguna manera percibimos la creciente presión física y la utilizamos para eliminar a sus vecinos", explican Moreno y Levayer.

   En este nuevo estudio, publicado este jueves en la revista científica 'Current Biology', los investigadores dieron un paso más e identificaron el mecanismo molecular que lleva a la eliminación de las células comprimidas. Para eso, optaron por centrarse en los tejidos corporales epiteliales, como los que forman la piel y el sistema digestivo. "El epitelio es el tejido más común en nuestro cuerpo. Está compuesto de capas de células que forman barreras que separan el interior del exterior --detalla Levayer--. La mayoría de los tumores humanos (aproximadamente el 90 por ciento) surgen del epitelio".

   Usando un epitelio de la mosca de la fruta 'Drosophila melanogaster' como un sistema modelo y una combinación de herramientas de biología y física, los investigadores encontraron que una vía celular interna llamada EGFR/ERK, un conocido regulador de la supervivencia celular, estaba modulada por el estrés mecánico.

   Específicamente, encontraron que cuando las células sanas estaban comprimidas por las células tumorales, primero disminuyó la señal de EGFR/ERK que promueve la supervivencia en las células sanas, y luego murieron. Es importante destacar que, cuando se activó artificialmente la misma vía en células sanas comprimidas, se evitó su eliminación y se ralentizó la expansión de las células tumorales.

MUTACIÓN DE LAS VÍAS DE AUTO-ELIMINACIÓN EN LAS CÉLULAS CANCERÍGENAS

   ¿Por qué las células tumorales ganan contra las células sanas en esta competición mecánica? En principio, podría ir en cualquier dirección, ya que ambas están sujetas a las mismas fuerzas externas. Moreno explica que el tumor a menudo tiene la ventaja de tener bloqueadas sus vías de auto-eliminación. "Es una de las características del cáncer --señala--. Además de ser más proliferativas, también tienen todas estas vías apoptóticas (auto-eliminación) mutadas, por lo que son más resistentes a la muerte".

   En conjunto, estos resultados hacen de la vía EGFR/ERK un candidato principal como un importante mecanismo celular a través del cual funciona la competencia mecánica y sugieren un posible papel para ella en futuras aplicaciones clínicas.

   "Identificar la vía que detecta las deformaciones y desencadena la eliminación celular es un importante paso adelante. Sugiere que prevenir la eliminación de las células sanas que rodean los tumores al prevenir la activación disminuida de esta vía, puede ser una nueva estrategia terapéutica para detener el crecimiento del tumor y reducir la morbilidad por cáncer en el futuro", concluye Levayer.

   El trabajo futuro ayudará a encontrar cómo de general es este mecanismo y si se conserva en los mamíferos. Esta observación también puede tener consecuencias para entender cómo se forman nuestros tejidos durante la embriogénesis y cómo se regulan su tamaño y forma.

Últimas noticias sobre estos temas

Contenido patrocinado