Así puede causar el estrés crónico fallos en distintos órganos

Microinflamación en zonas específicas del cerebro
HOKKAIDO UNIVERSITY
Infosalus
Publicado: martes, 22 agosto 2017 14:16


MADRID, 22 Ago. (EUROPA PRESS) -

Científicos de la Universidad de Hokkaido (Japón) han descubierto los mecanismos neuronales que hacen que el estrés crónico pueda provocar fallos orgánicos, como sucede con el intestino de pacientes con esclerosis múltiple, que pueden resultar fatales.

El hallazgo, descrito en la revista 'eLife', ayudará al desarrollo de nuevas estrategias terapéuticas para este trastorno del sistema nervioso, sobre todo para las formas progresivas de la enfermedad que actualmente no tienen tratamiento.

En la esclerosis múltiple, trastorno del sistema nervioso central de origen autoinmune, juegan un papel clave las células T CD4+ autoreactivas, que en el estudio fueron utilizadas en modelos de ratón sanos para recrear la enfermedad.

Estudios previos han revelado que estas células inmunes cruzan la barrera hematoencefálica en sitios específicos y causan inflamación en el sistema nervioso central, incluyendo el cerebro y la médula espinal.

Y vieron que la presencia de una "puerta" para que estas células crucen esta barrera es gracias a la activación neuronal en esta zona desencadenada por interacciones sensoriales-simpáticas específicas, detectando hasta tres tipos distintos.

En este caso, los modelos de ratón sirvieron para investigar las posibles relaciones entre el estrés crónico, la microinflamación en el cerebro y los fallos orgánicos causados por el estrés.

Para ello, perturbaron a los roedores alterando su sueño o criándoles en un espacio húmedo, observando que en estas situaciones de estrés la transferencia de células T CD4 causó síntomas graves como fallos gastrointestinales e incluso muerte súbita.

SE ACUMULAN EN DOS SITIOS ESPECÍFICOS

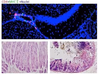
Su estudio identificó un complejo mecanismo nervioso relacionado con este proceso, ya que las células T CD4+ inyectadas se acumulaban alrededor de los vasos sanguíneos en dos sitios específicos en el centro de los cerebros de los ratones estresados.

La microinflamación se desarrolló alrededor de los vasos sanguíneos específicos, y los sitios inflamados entonces lanzaron una pequeña molécula llamada ATP que conectó con una vía del nervio que normalmente suele apagarse. Un cambio que causó disfunciones intestinales, sangrado e insuficiencia cardiaca. Además, la hemorragia propició un aumento de los niveles de potasio en la sangre, que fue uno de los factores que dan lugar a ese fallo cardiaco.

En el estudio los autores fueron capaces de prevenir el fallo intestinal mediante la supresión de la inflamación en el cerebro o el bloqueo de las vías nerviosas desde el cerebro hasta el intestino.

De hecho, los resultados sugieren que pequeñas áreas de inflamación alrededor de algunos vasos específicos en el cerebro, que se sabe que suceden en diversas enfermedades cerebrales como la esclerosis múltiple, son un factor de riesgo para las disfunciones orgánicas, incluyendo el intestino o la insuficiencia cardíaca.

"Estos resultados demuestran un vínculo directo entre la microinflamación cerebral y las enfermedades gastrointestinales letales mediante el establecimiento de una nueva vía neural por estrés", según Masaaki Murakami, autor del estudio, que reconoce que estas microinflamaciones también se han visto en otras dolencias como el Alzheimer o el Parkinson.

Últimas noticias sobre estos temas

Contenido patrocinado