Las terapias para la enfermedad inflamatoria intestinal no producen infertilidad

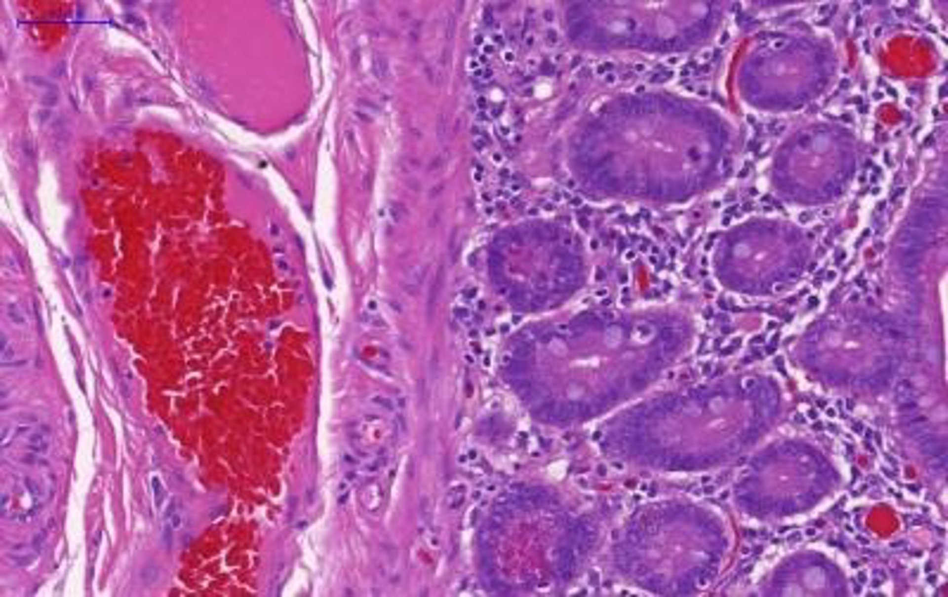
Intestino humano de un paciente con enfermedad inflamatoria intestinal.
UNIVERSIDAD DE MANCHESTER
Infosalus
Actualizado: viernes, 8 abril 2016 12:16

   MADRID, 8 Abr. (Reuters/EP) -

   Un estudio liderado por el gastroenterólogo de la Universidad de Leeds en el Reino Unido, Christian Selinger, ha mostrado que el desconocimiento que muchas mujeres tienen sobre las terapias para la enfermedad inflamatoria intestinal hace que no se queden embarazadas por miedo a que estas terapias afecten a su fertilidad.

   A esta conclusión han llegado tras analizar a más de 1.300 mujeres con esta patología, que consiste en la inflamación crónica o recurrente del tracto gastrointestinal, de las cuales, casi una de cada seis no habían sido madres porque eran mayores, tenían agudos síntomas de la enfermedad o no habían sido conscientes de las opciones que existen para tener un bebé.

   Y es que, esta enfermedad no necesariamente reduce la fertilidad, si bien es verdad que hay ciertos medicamentos o tratamientos quirúrgicos para tratarla que pueden reducir las probabilidades de concepción. No obstante, tal y como han recordado los expertos, las actuales tecnologías de reproducción y la fertilización 'in vitro' son técnicas eficaces para concebir.

   En este sentido, en el estudio los investigadores comprobaron que las mujeres que no habían querido tener hijos eran más propensas a tener más hospitalizaciones y a someterse a más cirugías para tratar la enfermedad, que aquellas que ya lo habían sido o que querían quedarse embarazadas. Además, las mujeres que no tenían planes para tener hijos también estaban preocupadas por si el bebé heredaba la enfermedad o por si iban a tener dificultades para criarlo como consecuencia de la patología.

    Sin embargo, los expertos han comprobado que sí pueden ser madres ya que la "gran mayoría" de los tratamientos para la enfermedad son "completamente seguros" para el embarazo y la lactancia.

Contenido patrocinado