El Clínico prueba un sistema pionero en el mundo frente a cefaleas que produce mejoría en el 80% de los casos

Radiografía
HOSPITAL CLÍNICO
Infosalus
Actualizado: lunes, 14 mayo 2012 22:11

VALENCIA 14 May. (EUROPA PRESS) -

El Hospital Clínico Universitario de Valencia, junto a otros seis centros europeos, está probando un sistema pionero en el mundo frente a cefaleas que produce mejoría en el 80 por ciento de los casos mediante neuroestimulación implantable.

Estos son los resultados preliminares del estudio que se ha presentado en la Reunión Anual de la Academia Americana de Neurología, celebrada en Nueva Orleans, según ha informado el centro sanitario valenciano en un comunicado.

El doctor José Miguel Láinez, jefe del Servicio de Neurología del Hospital Clínico Universitario de Valencia, que ha presentado estos datos, ha explicado que "la cefalea en racimos es uno de los dolores más graves que sufre el ser humano y puede producir ataques de dolor de cabeza varias veces al día con una duración de entre 15 minutos y 3 horas".

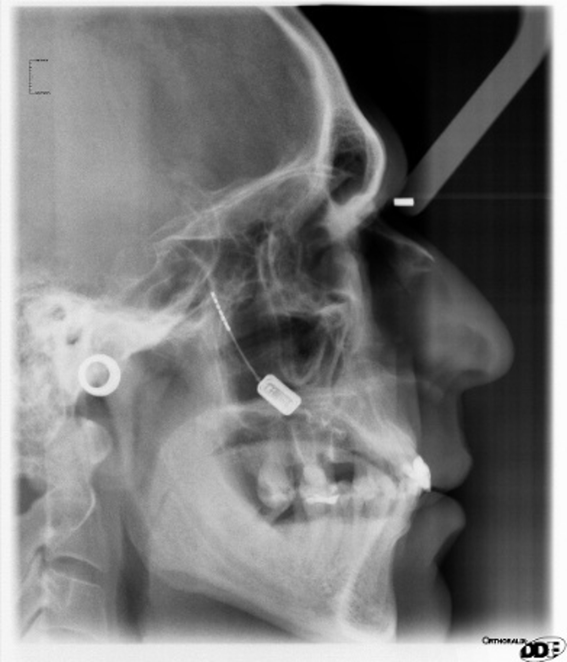
El sistema empleado consiste en un dispositivo que se ha diseñado específicamente para tratar el dolor de cabeza severo y que estimula el ganglio esfenopalatino, con un controlador remoto de mano (un mando) que maneja el propio paciente proporcionando estimulación cuando tiene dolor.

"El estimulador --ha señalado el doctor Láinez-- es aproximadamente del tamaño de una almendra y se coloca a través de una incisión quirúrgica en el maxilar superior sin dejar cicatrices externas; el uso de un mando poco más grande que un teléfono móvil permite a los pacientes desactivar la terapia de estimulación cuando ya no hay dolor".

43 DISPOSITIVOS

Hasta el momento se han implantado 43 dispositivos en los diferentes centros y los datos presentados corresponden a los 26 primeros, con un total de 1020 crisis de cefaleas en racimos. "Es importante señalar que todos los pacientes estudiados eran crónicos y refractarios a todas las formas de terapia preventiva y que la estimulación ha producido buenos resultados tanto en el tratamiento de las crisis --59% de los pacientes habían reducido o eliminado su dolor a los 15 minutos-- como en la reducción de los episodios. En total, más del 80% de los pacientes respondieron al tratamiento agudo o preventivo".

Láinez ha asegurado que las ventajas de este sistema, que es recargable, van más allá de los resultados porque se trata de pacientes que en muchas ocasiones "han probado de todo" para calmar su dolor: son grandes consumidores de medicamentos y "les produce una gran satisfacción ver cómo pueden reducir el número de pastillas y tener mayor calidad de vida. Para nosotros es muy gratificante que nuestros pacientes sean los primeros en poder probar esta terapia que, por otra parte, requiere de una importante coordinación con el servicio de cirugía oral y maxilofacial que en nuestro hospital dirige el doctor Miguel Puche".

La cefalea en racimos se caracteriza por un intenso dolor punzante en el área de un ojo, a menudo acompañado de enrojecimiento ocular, lagrimeo y congestión nasal y desasosiego en el paciente (nerviosismo), al contrario de lo que ocurre en las migrañas, donde lo que el paciente demanda es estar relajado.

"A pesar de que este estudio se está realizando en enfermos con cefalea en racimos, vamos a empezar un nuevo ensayo clínico para valorar la eficacia de este sistema de estimulación entre los pacientes afectados de migraña frecuente que no responden bien al tratamiento preventivo.

Contenido patrocinado