Osteotomías y artrosis: Una alternativa a la cirugía protésica que permite conservar la rodilla natural

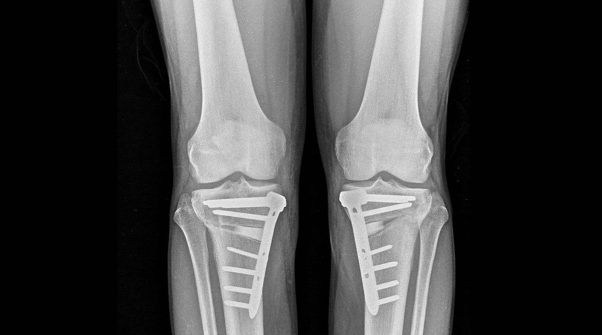
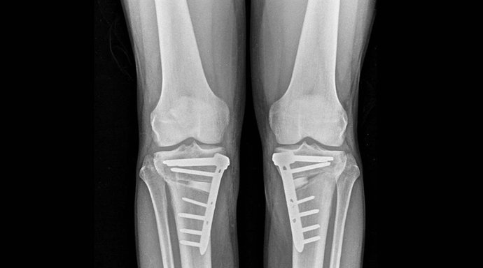
Radiografías de rodilla.
Radiografías de rodilla. - SOCIALNIUS
Infosalus
Publicado: miércoles, 29 octubre 2025 15:17

MADRID 29 Oct. (EUROPA PRESS) -

El especialista en Cirugía Ortopédica y Traumatología Juan Arnal, profesional en el Hospital Universitario Gregorio Marañón (Madrid), ha destacado que la osteotomía en pacientes seleccionados con factores genéticos que condicionen una degeneración puede ayudar a "retrasar durante décadas o, incluso, evitar la necesidad de una prótesis" de rodilla.

Esta técnica quirúrgica corrige las deformidades de las piernas, como el 'genu varo', una deformidad que provoca que las rodillas se curven hacia fuera, y el 'genu valgo', que genera piernas en forma de 'X'; preserva la rodilla natural y ayuda a frenar la artrosis sin necesidad de implantar una prótesis.

Según ha señalado el doctor Arnal, cada vez más pacientes jóvenes optan por este procedimiento como alternativa a la prótesis y acuden a consulta preocupados "porque su padre o madre ya tiene una prótesis". "Son pacientes informados, con conciencia preventiva, que quieren actuar antes de que aparezca la artrosis", ha apuntado.

En este sentido, ha detallado que el paciente ideal es aquel con una deformidad leve o moderada, dolor inicial y sin lesiones graves de menisco o cartílago. A estos tres aspectos, se debe añadir la certeza de que tenga factores genéticos que van a favorecer la degeneración.

AVANCES TECNOLÓGICOS

La osteotomía consiste en realizar un corte planificado en el hueso (tibia o fémur) para modificar el eje de carga de la pierna. De esta forma, se redistribuyen las fuerzas sobre la articulación, aliviando el dolor y deteniendo la progresión del desgaste.

A este respecto, el especialista ha comentado que el "gran cambio" no es la técnica, conocida, sino la "enorme mejora" que ha experimentado gracias a avances tecnológicos como la planificación digital tridimensional y los nuevos sistemas de fijación e implantes. "Hoy podemos planificar en el ordenador la corrección exacta y, si lo deseamos, imprimir en 3D guías quirúrgicas personalizadas. Además, los nuevos sistemas de fijación permiten que el paciente empiece a apoyar la pierna a las 24 horas", ha detallado Arnal.

Para el traumatólogo, la osteotomía ocupa un lugar especial entre las cirugías de rodilla. "Es una de las operaciones con mayor grado de satisfacción por parte del paciente. Ver cómo alguien recupera su movilidad, su rendimiento deportivo y su confianza estética es enormemente gratificante", ha concluido.

Contador

Contenido patrocinado