Una nueva técnica de radioterapia para delimitar los tumores de hígado

La técnica mejora en un 45% la delimitación del tumor
ALPHAGALILEO
Infosalus
Actualizado: miércoles, 9 septiembre 2015 11:34

   MADRID, 9 Sep. (EUROPA PRESS) -

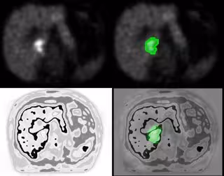
   Una nueva técnica, basada en la utilización de un algoritmo, permite obtener una precisión mucho mayor en la delimitación de los tumores de hígado, según un estudio de la Universidad de Alcalá de Henares (Madrid).

   Este nuevo sistema, que ha sido presentado en el Congreso de la Sociedad Europea de Radiología y Oncología (ESTRO), permite mejorar la delimitación hasta en un 45 por ciento y facilita la radiación del tumor sin destruir tejido sano. Todo ello reduce el tiempo de recuperación del paciente y las complicaciones en el postoperatorio.

   La investigadora del grupo RSG, Rocío Sánchez, ha afirmado que "este algoritmo mejora la calidad de la imagen, haciéndola más precisa y concretando lo que es y lo que no es lesión tumoral". Hasta ahora no existían instrumentos para delimitar el volumen de los tumores de hígado y lo que se hacía era sobredimensionar la lesión, lo que puede ser "problemático" cuando los tumores se encuentran en órganos vitales o próximos a ellos.

   Según los investigadores, este método es óptimo para la radioterapia ablativa, un tratamiento que reduce el número de sesiones pero utiliza dosis más altas, y se está probando su aplicación en tumores cerebrales. Actualmente, el grupo de investigación trabaja en la validación del método y en la posible incorporación de la técnica a los planificadores radiológicos existentes en el mercado.

   El grupo RSG es pionero en las técnicas de detección de tumores y trabaja en colaboración con el hospital Puerta de Hierro. Su sistema para detectar micro-calcificaciones en mamografías digitales fue galardonado con el Premio a la Mejor Comunicación en el III Congreso Conjunto de la Sociedad de Física Médica y de la Sociedad de Protección Radiológica.

Contenido patrocinado