Neurólogos defienden el uso de terapias de alta eficacia desde el inicio de la esclerosis múltiple

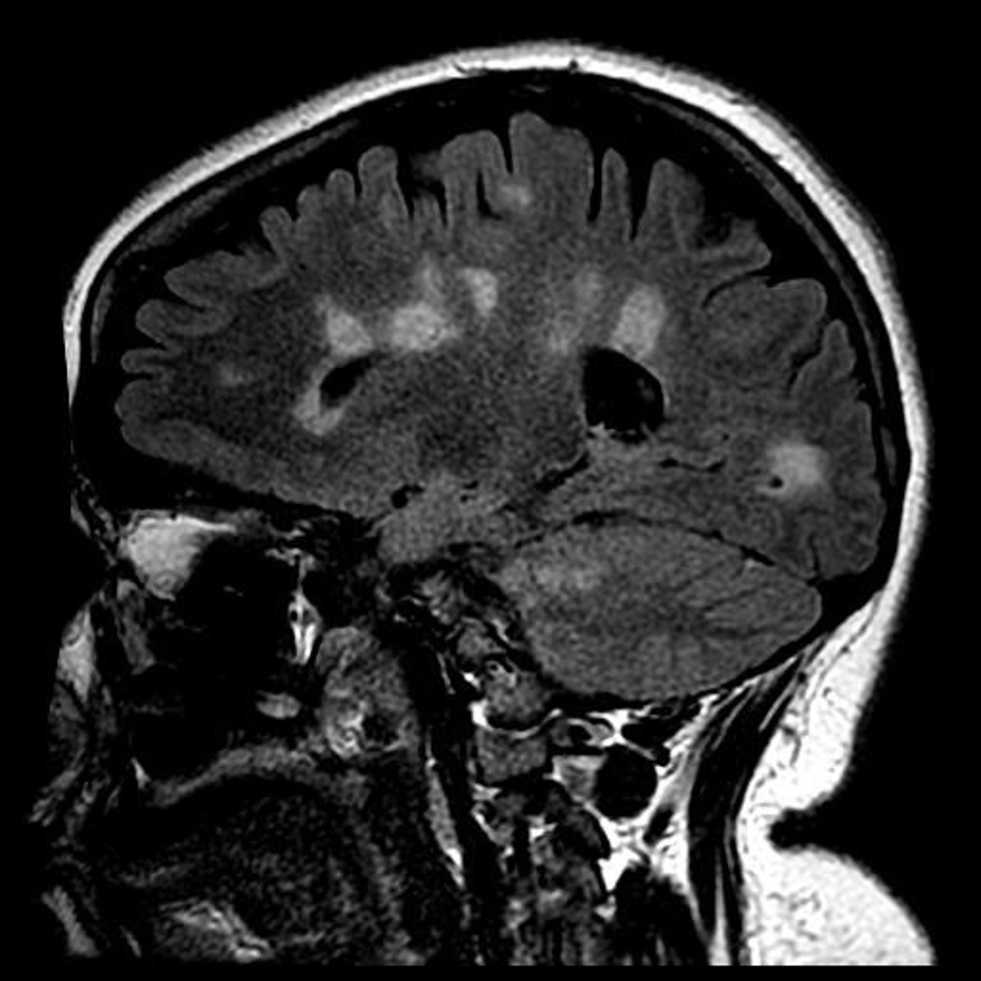
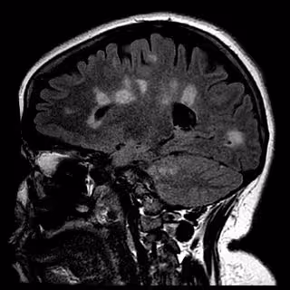
Archivo - Cicatrización del cerebro en la esclerosis múltiple
Archivo - Cicatrización del cerebro en la esclerosis múltiple - UNIVERSITY OF BRITISH COLUMBIA - Archivo
Infosalus
Publicado: miércoles, 19 octubre 2022 14:27

MADRID 19 Oct. (EUROPA PRESS) -

Neurólogos expertos en esclerosis múltiple, reunidos en el foro anual sobre neurología de Novartis 'Ágora de NeuroExpertos', han defendido el uso de terapias de alta eficacia desde el inicio de la enfermedad como nuevo enfoque terapéutico.

En España, alrededor de 55.000 personas padecen esclerosis múltiple y cada año se producen más de 1.800 nuevos diagnósticos, generalmente son personas jóvenes que ven interrumpidas sus vidas en las etapas más productivas. De hecho, el 80 por ciento de las personas son diagnosticadas antes de los 40 años y el 50 por ciento antes de los 30 años. Para estos pacientes recién diagnosticados, es fundamental un control temprano de la enfermedad.

Precisamente, para los expertos, el manejo y control de la patología desde las fases tempranas es esencial y repercutirá en la progresión de la enfermedad. "Lo que sucede al principio de la enfermedad es muy importante. Está demostrado que, los pacientes con ciertos factores pronósticos, tratados con un fármaco de alta eficacia desde etapas tempranas de la enfermedad, se correlacionan con un mejor pronóstico a largo plazo", ha destacado el director del CEMCAT y jefe de Neurología del Hospital Vall d'Hebron, Xavier Montalbán.

Se trata, según ha apuntado por su parte la jefa de Sección del servicio de Neurología del Hospital Universitario Clínico San Carlos y coordinadora del CSUR de Esclerosis Múltiple, Celia Oreja-Guevara, de tomar una actitud terapéutica al principio y no cuando es "demasiado tarde".

Algo especialmente importante ante la llegada de nuevas terapias de alta eficacia para el tratamiento de EMRR y que han demostrado buenos resultados a largo plazo en la ausencia y actividad de la enfermedad (brotes y lesiones en la resonancia magnética). De hecho, hasta ahora, los tratamientos de alta eficacia eran administrados en pacientes que estaban en fases tardías.

"Hemos visto que estos tratamientos -de alta eficacia- pueden usarse desde el principio de la enfermedad, evitando que el paciente tenga inflamación. Si reducimos mucho la inflamación desde el principio, vamos a conseguir que el paciente no tenga secuelas ni discapacidad a largo plazo. Los pacientes van a estar muchos años con muy buena calidad de vida y con muy poca discapacidad", ha recordado Oreja-Guevara.

Un cambio de enfoque terapéutico que viene respaldado por una sólida evidencia científica y en la práctica clínica, la evidencia científica cada vez es "más clara", también si, según Montalbán, se analiza la evidencia en la vida real, empezar de forma temprana con alta eficacia tiene un beneficio a largo plazo.

Contenido patrocinado