La Fundación Jiménez Díaz trata un secuestro pulmonar en una paciente de 19 meses mediante embolización

Tratan un secuestro pulmonar con embolización en vez de con la cirugía clásica
HOSPITAL UNIVERSITARIO FUNDACIÓN JIMÉNEZ DÍAZ.
Infosalus
Publicado: lunes, 28 enero 2019 21:08


MADRID, 28 Ene. (EUROPA PRESS) -

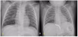
La Fundación Jiménez Díaz ha tratado con éxito un secuestro pulmonar en una paciente de 19 meses mediante embolización, como alternativa a la cirugía clásica. Se trata de una malformación congénita, que sufre entre el 0,15 y el 1,8 por ciento de la población general, puede producir infecciones de repetición y, en los casos más graves, hemoptisis o hemorragias pulmonares, hipertensión pulmonar, insuficiencia cardíaca congestiva severa e incluso fallo cardíaco.

Según ha informado la FJD en un comunicado, la embolización de los vasos sistémicos en los secuestros pulmonares se presenta en la actualidad "como una alternativa terapéutica factible, y un recurso a tener en cuenta en casos seleccionados, que puede incluso constituir la primera línea de tratamiento en centros experimentados, frente a la lobectomía pulmonar con resección del lóbulo pulmonar afecto, tratamiento de elección hasta el momento".

Al tratarse de una técnica menos invasiva que la intervención quirúrgica clásica, entre sus beneficios destacan la reducción de riesgos operatorios y complicaciones postoperatorias, la disminución del tiempo de hospitalización y la ausencia de cicatriz postquirúrgica

Por ello, el doctor Eduardo Crespo Vallejo, jefe de Radiología Vascular e Intervencionista de la Fundación Jiménez Díaz y de los hospitales públicos gestionados por Quirónsalud en la Comunidad de Madrid, ha subrayado la importancia de realizar "un diagnóstico y tratamiento precoz de estas malformaciones congénitas en caso de repercusión hemodinámica o infecciones de repetición" dirigido a prevenir el desarrollo de complicaciones.

A su juicio, este procedimiento "se posiciona ya como la gran alternativa al tratamiento de elección hasta el momento para esta patología, que se ha basado en la lobectomía pulmonar con resección del lóbulo pulmonar afecto".

Y es que, al tratarse de una técnica menos invasiva que la intervención quirúrgica clásica, entre los beneficios de la embolización destacan la reducción de riesgos operatorios y complicaciones postoperatorias, la disminución del tiempo de hospitalización, la ausencia de cicatriz postquirúrgica y el hecho de que evita la aparición de la escoliosis y pectus excavatum asociados a las toracotomías. "Se han descrito incluso involuciones totales de las lesiones parenquimatosas tras la embolización", ha asevera el doctor Crespo.

Últimas noticias sobre estos temas

Contenido patrocinado