Experto avisa de que se están diagnosticando y tratando inadecuadamente las fracturas de radio

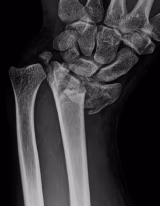
Fractura de radio
HOSPITAL LA LUZ
Infosalus
Actualizado: jueves, 29 diciembre 2016 12:40

MADRID 29 Dic. (EUROPA PRESS) -

El director del Instituto de Cirugía Plástica y de la Mano Doctor Piñal y Asociados con sede en Santander y en el Hospital La Luz de Madrid, Francisco del Piñal, ha avisado de que se está diagnosticando y tratando inadecuadamente las fracturas de radio debido a que hay un "exceso de confianza" porque están consideradas lesiones de buen pronóstico.

En este sentido, el experto ha comentado que un abordaje clínico "incorrecto" provoca "grave secuelas y complicaciones" en el paciente, caracterizadas por el dolor continuo, la pérdida de movilidad o la falta de fuerza, que en personas de mayor edad llegan a ser inhabilitadas.

"Durante mucho tiempo se han considerado lesiones de muñeca benignas, abordándose con yesos u otros tratamientos incorrectos y realmente existen soluciones para quienes se encuentren en esta situación. El comportamiento instintivo al sentir dolor cuando se hace fuerza con la muñeca es dejar de hacerla, esto genera una atrofia progresiva de la zona. Por tanto, la limitación funcional no se detiene en los puros efectos de la fractura mal curada, sino que tiene un carácter progresivo", ha señalado.

Dicho esto, ha asegurado que existen diferentes procedimientos para paliar los "errores" cometidos por ser un tipo de fractura que puede pasar "inadvertida" como, por ejemplo, diagnósticos de fisuras que, en realidad, son fractura articular con escalón.

"El factor tiempo es fundamental en la corrección de secuelas, ya que diversos elementos de la muñeca van desestructurándose con su paso. No obstante, aunque hayan transcurrido diez años desde la fractura, siempre se pueden hacer cosas para mejorar la funcionalidad", ha recalcado Del Piñal.

Por tanto, prosigue, una fractura mal tratada, no es irreversible, sino que tiene alternativas. "Realizamos una osteotomía, es decir, un corte en el hueso en el lugar en que se fracturó inicialmente, para volverlo a alinear; para corregir la mala unión de la fractura, facilitando que suelde correctamente y en función del punto de fractura se recurre o no a la artroscopia, colocación de placas, barras o tornillos. En la mayoría de los casos, el paciente nota mejoría en cuestión de días y puede iniciarse la movilización de la zona de manera inmediata", ha explicado.

En este tipo de fracturas hay personas que han sido tratadas con un yeso o, incluso, con medicación innecesaria y el facultativo se limita, en muchas ocasiones, a animar a resignarse a su situación de sufrimiento por no poder hacer más. "No es aceptable padecer secuelas asociadas a una fractura de radio sin plantearse otras soluciones y desahuciar a un paciente en estas condiciones es un grave error de ese profesional", concluye ha zanjado Del Piñal.

Contenido patrocinado