La embolización de la arteria gástrica para perder peso reduce tanto la grasa como el músculo

La embolización de la arteria gástrica para adelgazar reduce grasa y músculo
RADIOLOGICAL SOCIETY OF NORTH AMERICA
Infosalus
Actualizado: martes, 27 noviembre 2018 7:51

MADRID 27 Nov. (EUROPA PRESS) -

La embolización de la arteria gástrica izquierda, un nuevo procedimiento intervencionista utilizado para tratar la obesidad, conduce a la pérdida de grasa y músculo, según un nuevo estudio que se presenta este lunes en la reunión anual de la Sociedad Radiológica de América del Norte (RSNA, por sus siglas en inglés). Los investigadores dicen que la pérdida de masa muscular es preocupante y subrayan la importancia de un asesoramiento nutricional adecuado después del procedimiento.

La obesidad es un problema de salud importante en todo el mundo, vinculado con enfermedades graves como patologías del corazón, cáncer y diabetes. Los tratamientos de primera línea, como la dieta y el ejercicio, a menudo no funcionan, lo que lleva a muchos pacientes a optar por la cirugía de bypass gástrico. La cirugía, que reduce el tamaño del estómago, ha sido eficaz en el tratamiento de la obesidad, pero conlleva costos significativos y posibles complicaciones.

Actualmente bajo investigación en ensayos clínicos, la embolización de la arteria gástrica izquierda es una opción menos invasiva a la cirugía. En el procedimiento, se inyectan perlas microscópicas bajo la guía de imágenes en la arteria que suministra sangre al estómago. Las perlas bloquean el flujo de sangre al estómago y reducen la producción de grelina, una hormona que estimula el hambre. Los primeros estudios han demostrado que la embolización es eficaz para ayudar a las personas a perder peso, pero falta información sobre cómo podría cambiar la composición muscular y grasa de un paciente.

"Ha habido mucha investigación centrada en la eficacia de la embolización de la arteria gástrica para perder peso --dice el autor principal del estudio, Edwin A. Takahashi, investigador de Radiología Vascular e intervencionista en la Clínica Mayo, en Rochester, Minnesota (Estados Unidos)--. Sin embargo, no ha habido datos sobre qué contribuye a la pérdida de peso, si los pacientes están perdiendo grasa, según lo deseado, o masa muscular, o alguna combinación de los dos".

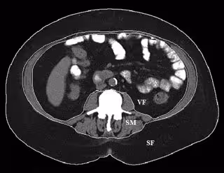
Para obtener más información, el doctor Takahashi y sus colegas estudiaron las tomografías computarizadas de 16 pacientes con sobrepeso u obesos que se habían sometido a una embolización de la arteria gástrica para tratar el sangrado gastrointestinal. Las tomografías computarizadas, cuando se usan junto con un software especial, permiten mediciones de la composición corporal en función de las diferentes densidades de tejidos, como la grasa y los músculos.

Se realizaron exploraciones antes y aproximadamente 1,5 meses después del procedimiento. Se compararon los resultados con los de un grupo de control de 16 pacientes ambulatorios que no se sometieron a una embolización de la arteria gástrica izquierda, pero a los que se les realizaron tomografías computarizadas en dos periodos diferentes ante la presencia de dolor abdominal no específico.

EL ÍNDICE DE MÚSCULO ESQUELÉTICO DISMINUYE CASI UN 7 POR CIENTO

Los 16 individuos experimentaron una pérdida de peso significativa después del procedimiento de embolización, perdiendo un promedio del 6,4 por ciento de su peso corporal durante 1,5 meses. El índice de masa corporal (IMC), una medida del peso corporal en relación con la altura de una persona, cayó un 6,3 por ciento.

Aunque la pérdida de peso no fue sorprendente para los investigadores, los cambios en la composición corporal sí lo fueron. El índice de músculo esquelético, una medida de la cantidad de músculo que se conecta al esqueleto y ayuda a mover las extremidades, cayó un 6,8 por ciento. El músculo esquelético es importante para la salud y su pérdida puede afectar a la función física y el metabolismo y hacer que una persona corra mayor riesgo de lesión.

"La disminución significativa en la cantidad de músculo esquelético destaca el hecho de que los pacientes que se someten a este procedimiento corren el riesgo de perder masa muscular y deben tratarse en consecuencia después del procedimiento --apunta el doctor Takahashi--. Debemos asegurarnos de que reciben una nutrición adecuada para minimizar la cantidad de tejido muscular que pierden".

Los pacientes también perdieron una cantidad significativa de grasa corporal. Su índice general de grasa corporal se redujo en un promedio de un 3,7 por ciento; pero, gran parte de la pérdida de grasa fue subcutánea (grasa que se encuentra directamente debajo de la piel). La grasa visceral, la grasa más peligrosa que rodea a los órganos y está asociada con problemas de salud graves, como las enfermedades cardiacas y la diabetes, no disminuyó significativamente durante el seguimiento.

Últimas noticias sobre estos temas

Contenido patrocinado