Demostrada una prueba para mejorar la identificación de los quistes pancreáticos precancerosos

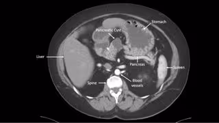
TC del páncreas con quiste
TC del páncreas con quiste - JOHNS HOPKINS
Infosalus
Publicado: viernes, 19 julio 2019 12:39


MADRID, 19 Jul. (EUROPA PRESS) -

Un equipo científico internacional dirigido por invetigadores del Centro de Cáncer Kimmel de Johns Hopkins (EEUU) han desarrollado una prueba de laboratorio que, utilizando herramientas de inteligencia artificial, puede determinar con mayor precisión qué personas con quistes pancreáticos desarrollarán un cáncer.

La prueba, denominada CompCyst -para el análisis completo de quistes-, incorpora medidas de marcadores moleculares y clínicos en los fluidos de los quistes, y parece estar bien encaminada para mejorar significativamente las pruebas clínicas y de imagen convencionales, según el equipo de investigación.

Los investigadores explican que CompCyst identificó correctamente qué pacientes necesitaban tratamiento de los más de 800 pacientes con quistes pancreáticos que se sometieron a un análisis de líquido quístico y cirugía de extirpación de quistes en el Hospital Johns Hopkins y en otros 15 centros médicos de todo el mundo. Específicamente, descubrieron que el uso de la prueba habría evitado la cirugía en más de la mitad de los pacientes que se sometieron a la extirpación de quistes, que luego se consideraron innecesarios porque era poco probable que los quistes hubieran dado lugar a cáncer.

Sobre la base del análisis histopatológico de los quistes resecados quirúrgicamente, los investigadores encontraron que la cirugía no era necesaria para el 45% de los pacientes que se sometieron a una cirugía por sus quistes. Esta cirugía innecesaria se realizó porque los médicos no pudieron determinar si los quistes eran peligrosos. En estos pacientes, si se hubiera utilizado CompCyst, los investigadores estimaron que entre el 60% y el 74% de los pacientes podrían haber evitado estas cirugías innecesarias. La descripción del trabajo se publicará en la revista 'Science Translational Medicine'.

"Las pruebas clínicas y de imagen actualmente disponibles a menudo no distinguen los quistes precancerosos de los que tienen poco o ningún potencial para volverse cancerosos, lo que dificulta determinar qué pacientes no requerirán seguimiento y cuáles necesitarán seguimiento a largo plazo o resección quirúrgica inmediata. Este estudio aborda directamente estos problemas fundamentales en el manejo de los quistes pancreáticos", ha indicado Christopher Wolfgang, investigador del estudio y director de oncología quirúrgica en el Centro de Cáncer Kimmel de Johns Hopkins.

"Creemos que CompCyst tiene la capacidad de reducir sustancialmente las cirugías innecesarias para los quistes pancreáticos. Durante los próximos cinco años, esperamos usar CompCyst en muchos más pacientes con quistes en un esfuerzo por guiar el tratamiento quirúrgico, para determinar cuándo es necesaria la cirugía y cuándo no es necesario", ha afirmado Bert Vogelstein, codirector del Ludwig Center en el Johns Hopkins Kimmel Cancer Center.

Últimas noticias sobre estos temas

Contenido patrocinado