El Clínico de Valencia participa en un estudio internacional sobre un dispositivo que reduce la cefalea

Dispositivo Que Permite Reducir Dolores De Cabeza
GVA
Infosalus
Actualizado: viernes, 13 mayo 2011 14:55

VALENCIA 13 May. (EUROPA PRESS) -

El Hospital Clínico de Valencia participa en un estudio que se está llevando a cabo a nivel internacional para eliminar el dolor que provoca la cefalea en racimos. En concreto, colaboran seis hospitales en todo el mundo y en el caso del Clínico, participan los servicios de Neurología y Maxilofacial.

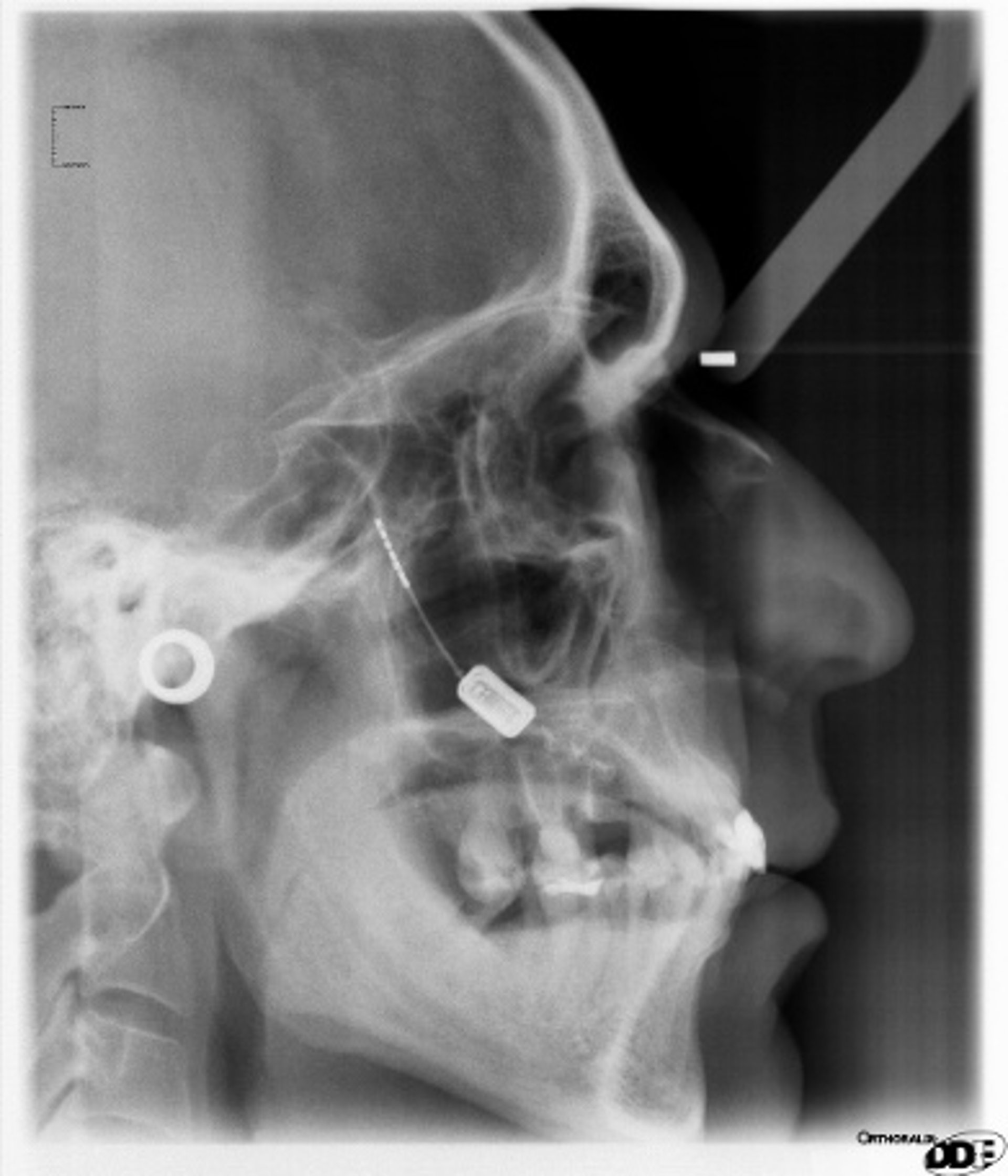
La técnica que se está probando consiste en la implantación de un pequeño dispositivo/neuroestimulador en el maxilar superior del paciente que produce una pequeña descarga, imperceptible para el paciente, que estimula un ganglio (esfenopalatino) y termina con el ataque de dolor.

El paciente dispone de un aparato, un pequeño mando, que, cuando comienza a notar los síntomas que le conducen a un dolor agudo de cabeza, presiona sobre el dispositivo instalado en el maxilar para producir dicha descarga eléctrica.

La cefalea en racimos, es un dolor de cabeza extremadamente intenso, debilitante, no pulsátil, que tiende a repetirse en la misma zona de la cabeza o de la cara en forma de crisis intensísimas que provocan una situación de completa invalidez del paciente y que sólo responde a inyecciones repetidas de triptanos.

El jefe del servicio de Neurología del Hospital Clínico, José Miguel Láinez, comenta que se trata de un estudio "muy importante porque supone un nuevo concepto en el abordaje de estos pacientes con una técnica de poca agresividad quirúrgica", al tiempo que se muestra "satisfecho" por ser uno de los seis hospitales en el mundo seleccionados para llevar a cabo el estudio.

Láinez ha destacado la colaboración que está realizando en este proyecto el Servicio de Cirugía Máxilofacial del Clínico dirigido por el doctor Miguel Puche. Hasta el momento, el estudio se ha desarrollado en dos pacientes que han notado una "evidente mejoría" de los dolores de cabeza que padecen. Está previsto que el estudio se realice en 10 ó 12 pacientes con este tipo de cefalea. Posteriormente, se trabajará sobre pacientes que padecen migrañas, en cuyo diseño están trabajando actualmente.

José Miguel Láinez ha destacado la importancia de esta técnica, que espera pueda ser aplicable a otros tipos de cefalea resistente a las terapias convencionales. En la Comunitat la cefalea por racimos, la padecen tres de cada 1.000 personas, pero es de una "severidad extrema" que conduce al paciente a una situación "desesperada".

La migraña la sufre el 12 por ciento de los ciudadanos y el dos por ciento de la población presenta formas crónicas de migraña, que son las que se podrían beneficiar de estas nuevas técnicas.

Contenido patrocinado