La calcificación aórtica abdominal puede indicar un ataque cardiaco futuro

La calcificación aórtica abdominal puede indicar un ataque cardiaco futuro
RADIOLOGICAL SOCIETY OF NORTH AMERICA
Infosalus
Actualizado: jueves, 4 octubre 2018 7:14

   MADRID, 4 Oct. (EUROPA PRESS) -

   Las medidas de calcificación obtenidas gracias a la tomografía computarizada (TC) en la aorta abdominal son fuertes predictores de ataques cardiacos y otros eventos cardiovasculares adversos, incluso más fuertes que la puntuación de riesgo de Framingham, según concluye un nuevo estudio publicado en la revista 'Radiology'.

   Las enfermedades cardiovasculares son la principal causa de muerte en todo el mundo. De estas muertes, las enfermedades cardiacas y los accidentes cerebrovasculares son las más letales. Las medidas efectivas de riesgo de enfermedad cardiovascular son cruciales para predecir qué pacientes necesitan intervenciones tempranas, como cambios en la dieta y el estilo de vida, o medicamentos para reducir el colesterol.

   "Encontramos una fuerte relación entre la calcificación aórtica abdominal y los futuros eventos cardiovasculares", dice la autora principal Stacy D. O'Connor, profesora asistente de Radiología en el Colegio de Medicina de Wisconsin, en Milwaukee, Estados Unidos. "Con la enfermedad cardiaca como la principal causa de muerte, cualquier cosa que podamos hacer para que nuestros pacientes sean más conscientes de su riesgo ayudará", añade.

   El puntaje de riesgo de Framingham es un modelo de predicción bien conocido y ampliamente utilizado para la enfermedad cardiovascular basado en factores de riesgo tradicionales como la edad, el colesterol y la presión arterial. Sin embargo, muchos pacientes evaluados por el puntaje de riesgo de Framingham caen en una categoría de riesgo indeterminado y podrían beneficiarse de herramientas no invasivas adicionales para refinar la evaluación de riesgos, como mediciones de aterosclerosis, que es el estrechamiento de las arterias por acumulación de placa.

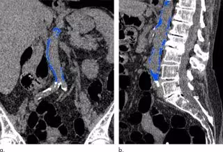
La TC se usa comúnmente para medir el calcio, un componente de la placa, en las arterias coronarias. También puede calcular el calcio en la aorta abdominal, el gran vaso que transporta sangre oxigenada a las extremidades inferiores. La aorta abdominal se puede ver en exámenes de imágenes abdominales como la colonografía por TC, también conocida como colonoscopia virtual, y en el estudio de diagnóstico para la colecistitis aguda, una inflamación de la vesícula biliar a menudo causada por cálculos biliares.

   Para el nuevo estudio, realizado en la Escuela de Medicina y Salud Pública de la Universidad de Wisconsin en Madison, los científicos evaluaron la relación entre la calcificación aórtica abdominal en la TC y los eventos cardiovasculares en 829 pacientes asintomáticos con una edad media de aproximadamente 58 años.

   Los pacientes habían sido sometidos a una colonografía de TC sin contraste entre abril de 2004 y marzo de 2005. Los científicos pudieron seguir a los pacientes durante un promedio de 11 años para ver si habían desarrollado eventos cardiovasculares adversos como ataque cardiaco, accidente cerebrovascular, muerte o insuficiencia cardiaca congestiva.

UNA HERRAMIENTA DE DETECCIÓN

   De los 829 pacientes, 156 (el 18,8 por ciento) tuvieron un evento cardiovascular importante. Los eventos ocurrieron casi siete años después de la TC, en promedio, e incluyeron un ataque cardiaco en 39 y muerte en 79. La calcificación aórtica abdominal basada en TC fue un fuerte predictor de eventos cardiovasculares futuros, superando el puntaje de riesgo de Framingham. La calcificación aórtica abdominal fue más de cinco veces mayor, en promedio, entre los que tuvieron un evento cardiovascular que entre los que no.

Los resultados apuntan al potencial de la evaluación de la calcificación aórtica abdominal como una herramienta de detección oportunista, algo que podría agregarse a otros exámenes sin la necesidad de tiempo adicional del paciente o dosis de radiación. Los pacientes podrían ser asignados a regímenes de tratamiento preventivo en función de sus categorías de riesgo cardiovascular.

   "Hay miles de tomografías computarizadas realizadas todos los días en Estados Unidos, por lo que nos da la oportunidad de llegar a mucha gente --destaca O'Connor--. Por ejemplo, si alguien se somete a un examen de detección de colecistitis y vemos calcificación aórtica abdominal en la TC, podemos abordar cosas como la presión arterial y el colesterol con el paciente".

   Los investigadores planean desarrollar sus resultados estudiando grupos más grandes de pacientes. También tienen la intención de avanzar hacia un protocolo totalmente automatizado para una implementación más generalizada de la evaluación. "Es nuestra esperanza que estas medidas oportunistas se puedan agregar a los informes para pacientes sometidos a tomografía computarizada abdominal de rutina, independientemente de la indicación de las imágenes", concluye O'Connor.

Últimas noticias sobre estos temas

Contenido patrocinado