La SEMG destaca la "gran utilidad" de la ecografía pulmonar en el diagnóstico del Covid-19

Imagen incluida Suplemento COVID 19 EuroEco
Imagen incluida Suplemento COVID 19 EuroEco - SEMG
Infosalus
Publicado: martes, 7 abril 2020 11:01

MADRID 7 Abr. (EUROPA PRESS) -

El Grupo de Trabajo de Ecografía Clínica de la Sociedad Española de Médicos Generales y de Familia (SEMG) ha asegurado que la ecografía pulmonar podría ser de "gran utilidad" para el manejo del Covid-19, la enfermedad que provoca el nuevo coronavirus, debido a su "seguridad, repetibilidad, ausencia de radiación" y posibilidad de usarla a pie de cama del paciente.

Así se concluye en el último número de la 'Revista de Ecografía Digital EuroEco', que incluye un suplemento especial con una revisión actualizada de la literatura existente en ecografía pulmonar en la infección por Covid-19, con el fin de que pueda servir de guía al médico de familia, así como a otros profesionales que se dediquen a diagnosticar y tratar pacientes infectados, como médicos de Urgencias, intensivistas, anestesistas, internistas y neumólogos, entre otros.

El objetivo de su elaboración por parte del Grupo de Trabajo de Ecografía Clínica de la SEMG es difundir, entre los profesionales de Atención Primaria, la utilidad de la ecografía en el diagnóstico y seguimiento de la infección por Covid-19, basada en la experiencia contrastada de los médicos chinos que la utilizaron en Wuhan (China).

"Aunque inicialmente su utilización, de forma reglada, fue por parte de los especialistas en cuidados críticos, se puede extrapolar a los pacientes que son vistos por el médico de Atención Primaria, ya que son los primeros que ven los pacientes, y que la sensibilidad de la radiografía de tórax para diagnóstico de infección por Covid-19 no es muy alta, siendo superada por el TAC de alta resolución, no disponible ni siquiera en todos los hospitales de rutina", han dicho desde el Grupo de Ecografía de la SEMG.

AYUDA A EVITAR EL COLAPSO EN URGENCIAS

En cuanto a los beneficios de la utilización de la ecografía pulmonar en esta nueva enfermedad, los expertos han destacado la agilización del diagnóstico y tratamiento, así como el inicio del aislamiento en caso de que sea necesario. "Si a pie de consulta se hacen ecografías a los pacientes con sospecha de Covid-19 y se objetivan datos ecográficos compatibles con el virus, se pueden detectar hallazgos que sugieran mal pronóstico de forma precoz para derivarlos al hospital", han añadido.

Por otra parte, al realizarse la ecografía en el centro de salud o incluso en el domicilio del paciente si se dispusiera de él, se coopera con las medidas de aislamiento de la población y se ayuda a evitar el colapso de las urgencias hospitalarias.

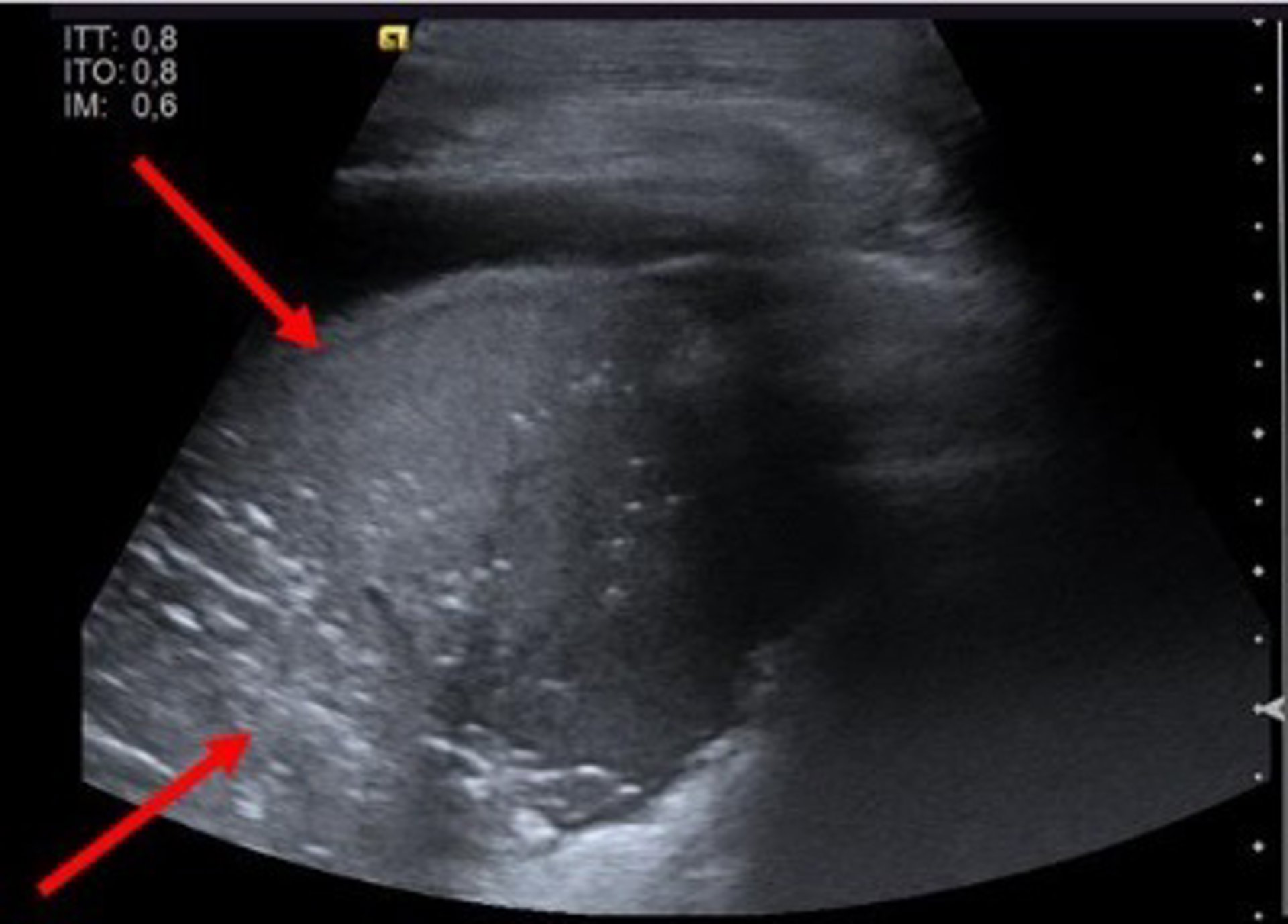
Y es que, los pacientes con Covid-19 presentan un patrón ecográfico característico: adelgazamiento de la línea pleural con irregularidad de la misma; múltiples líneas B con variabilidad de patrones; consolidaciones pulmonares; aparición de líneas A durante la fase de recuperación; y derrame pleural infrecuente.

"La ecografía pulmonar en manos del médico de familia podría ser de gran utilidad para el diagnóstico y para valorar la evolución de esta nueva enfermedad, gracias a que se trata de una técnica de exploración, rápida, barata, inocua, repetible las veces que queramos, con ausencia de radiaciones ionizantes, que se puede utilizar en la consulta, en el domicilio y a pie de cama del paciente", han zanjado los expertos.

Contenido patrocinado