Un nuevo contraste mejora la visualización en resonancias magnéticas de tumores cerebrales

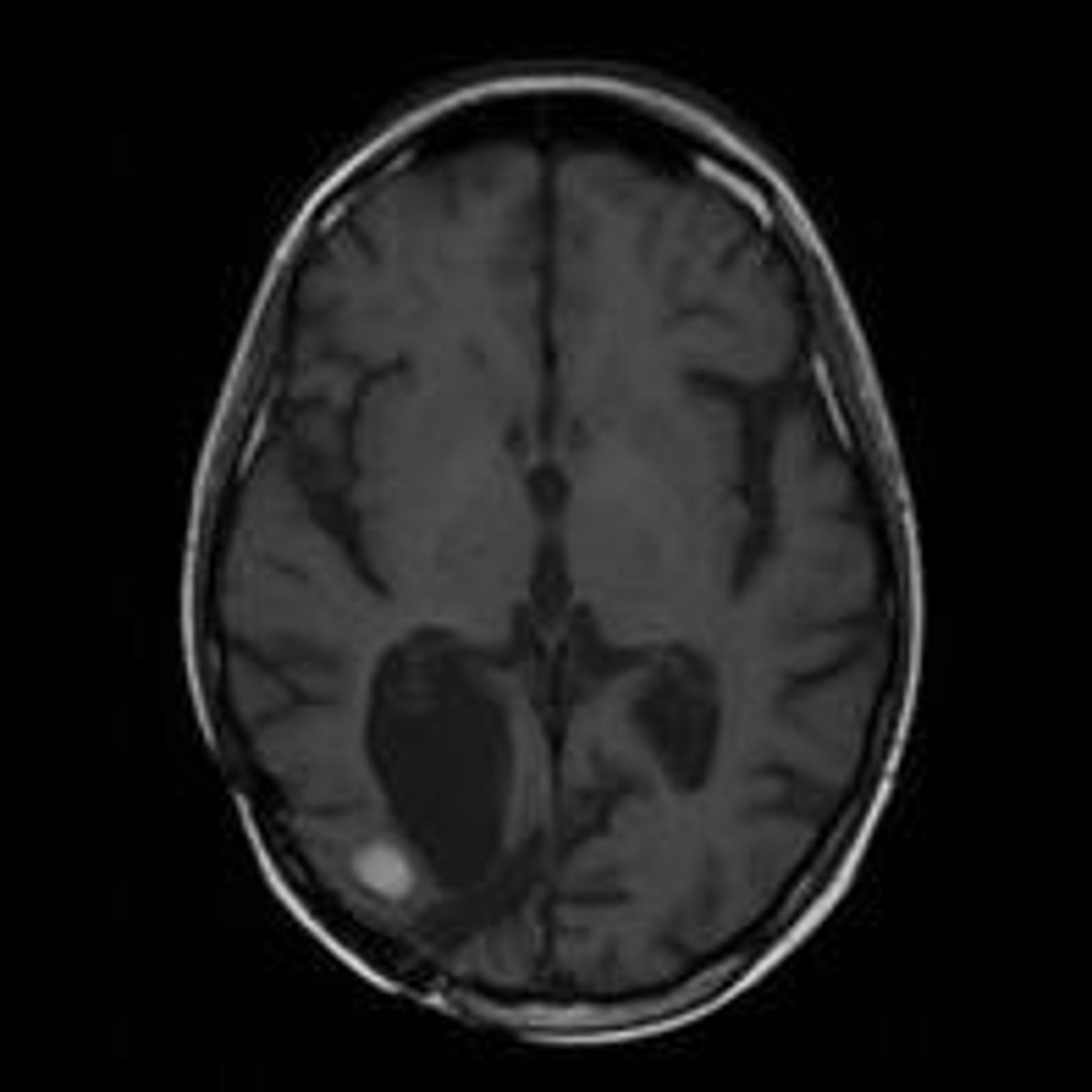
Resonancia Magnética De Un Cerebro Con Metástasis
IDIBELL
Infosalus
Actualizado: jueves, 31 enero 2013 15:41

GIRONA 31 Ene. (EUROPA PRESS) -

Científicos del Instituto de Investigación Biomédica del Hospital Josep Trueta de Girona (Idibgi) han testado con éxito un nuevo contraste que mejora la visualización en resonancias magnéticas la extensión de los tumores cerebrales más agresivos.

El trabajo, del que la revista 'European Radiology' ha publicado los resultados preliminares, permite realizar un diagnóstico "mucho más preciso" de las lesiones.

El trabajo ha sido llevado a cabo por el Grupo de Investigación en Imagen Médica del Idibgi y por el Departamento de Radiología del Instituto de Diagnóstico por la Imagen del Josep Trueta, y se inició en 2008 con el análisis de 35 pacientes de Girona.

Los científicos han comparado los resultados obtenidos entre el líquido de contraste convencional, el 'gadobutrol', con el 'gadofosveset', utilizado habitualmente para estudiar la aorta y los vasos ilíacos.

Los datos demuestran que el máximo nivel de información diagnóstica se logra seis horas después de haberse inyectado el contraste por vía intravenosa, cuando el tumor cerebral presenta "una definición no conseguida hasta ahora" y permite a los especialistas delimitar mejor su extensión.

Contenido patrocinado