Mejoran la predicción del riesgo de sufrir algunos tipos de cáncer hereditario

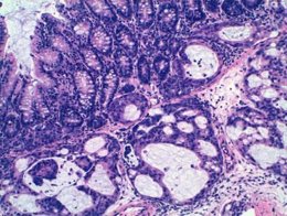
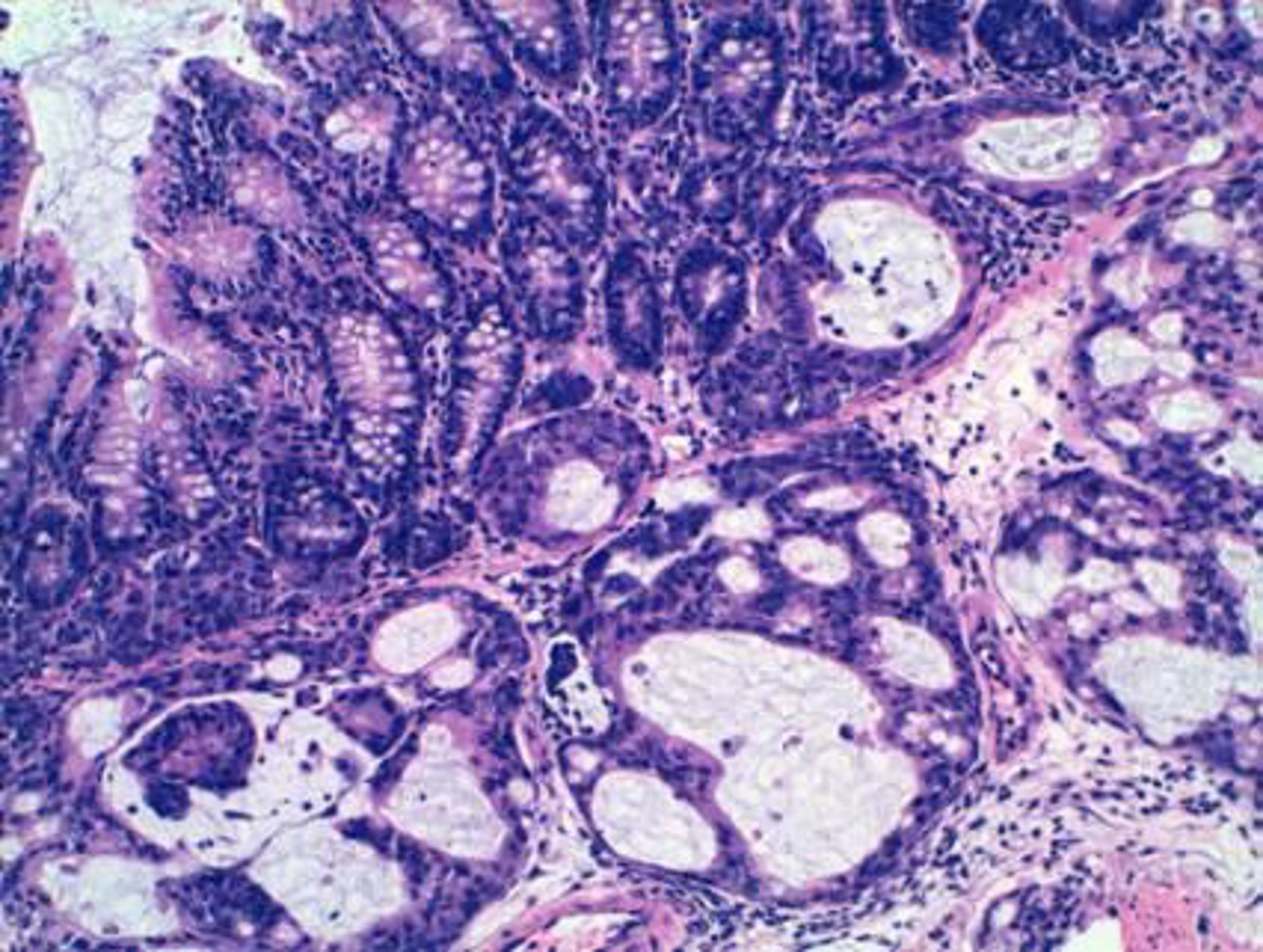
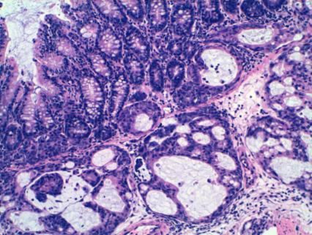
Tumor de colon cuyo crecimiento está inhibico con enoxacina
IDIBELL

BARCELONA, 15 Ene. (EUROPA PRESS) -

Investigadores de la International Society for Gastroeintestinal Hereditary Tumours (InSiGHT), en el que participa el Instituto Catalán de Oncología (ICO-Idibell), han desarrollado un método depurado que permite identificar a las personas que tienen riesgo de sufrir determinados cánceres hereditarios como consecuencia del síndrome de Lynch.

El hallazgo, publicado en la revista 'Nature Genetics', ha sido financiado a nivel español por el Ministerio de Ciencia e Innovación y la Fundació Científica de la Asociación Española Contra el Cáncer (AECC), ha informado este miércoles el ICO-Idibell en un comunicado.

En el 95 por ciento de los casos de cáncer, los enfermos han nacido con los genes funcionando correctamente hasta que, por factores externos, por errores que se pueden producir durante la replicación normal del ADN o por el paso del tiempo, el material genético, que siempre había funcionado correctamente, se estropea.

Cuando los genes adoptan alteraciones o mutaciones, las células no realizan su función de manera adecuada: todos los tipos de cáncer son consecuencia de alteraciones en el material genético de las células, que hacen que éstas pierdan su función y se conviertan en malignas.

Entre el 5 y el 10 por ciento de enfermos ya nacen con un error en el material genético que aumenta las posibilidades de sufrir cáncer y cuando ésta es la principal causa de la aparición de la enfermedad, se considera que existe una predisposición hereditaria.

El síndrome de Lynch, también denominado cáncer colorrectal hereditario no asociado a poliposis --en inglés HNPCC--, es una enfermedad hereditaria que incrementa el riesgo de sufrir varios tumores, especialmente cáncer de colon y endometrio, siendo el responsable de entre el 2% y el 5% de los casos.

El equipo investigador ha recopilado datos de miles de variantes genéticas identificadas en los genes reparadores en todo el mundo, candidatas a ser responsables del síndrome de Lynch.

El modelo --que ha utilizado la experiencia de investigadores y clínicos de todo el mundo con el conocimiento del síndrome-- ha permitido esencialmente que datos de secuenciación puedan traducirse en información útil clínicamente.

A través de este esfuerzo colaborativo se ha conseguido la clasificación de un gran número de variantes de significado desconocido.

La clasificación de una variante como responsable de síndrome de Lynch es clave para el asesoramiento genético de las familias, permitiendo el estudio predictivo de familiares en riesgo y, si son portadores, ayudarlos a tomar las medidas de prevención y seguimiento adecuadas.

Últimas noticias sobre estos temas

Contenido patrocinado