El Hospital Ruber Internacional implanta una nueva técnica para identificar el foco en epilepsia

En la imagen se aprecia cómo ha sido implantado uno de los electrodos mostrando una lesión en esa localización alrededor del electrodo realizándose termocoagulación.
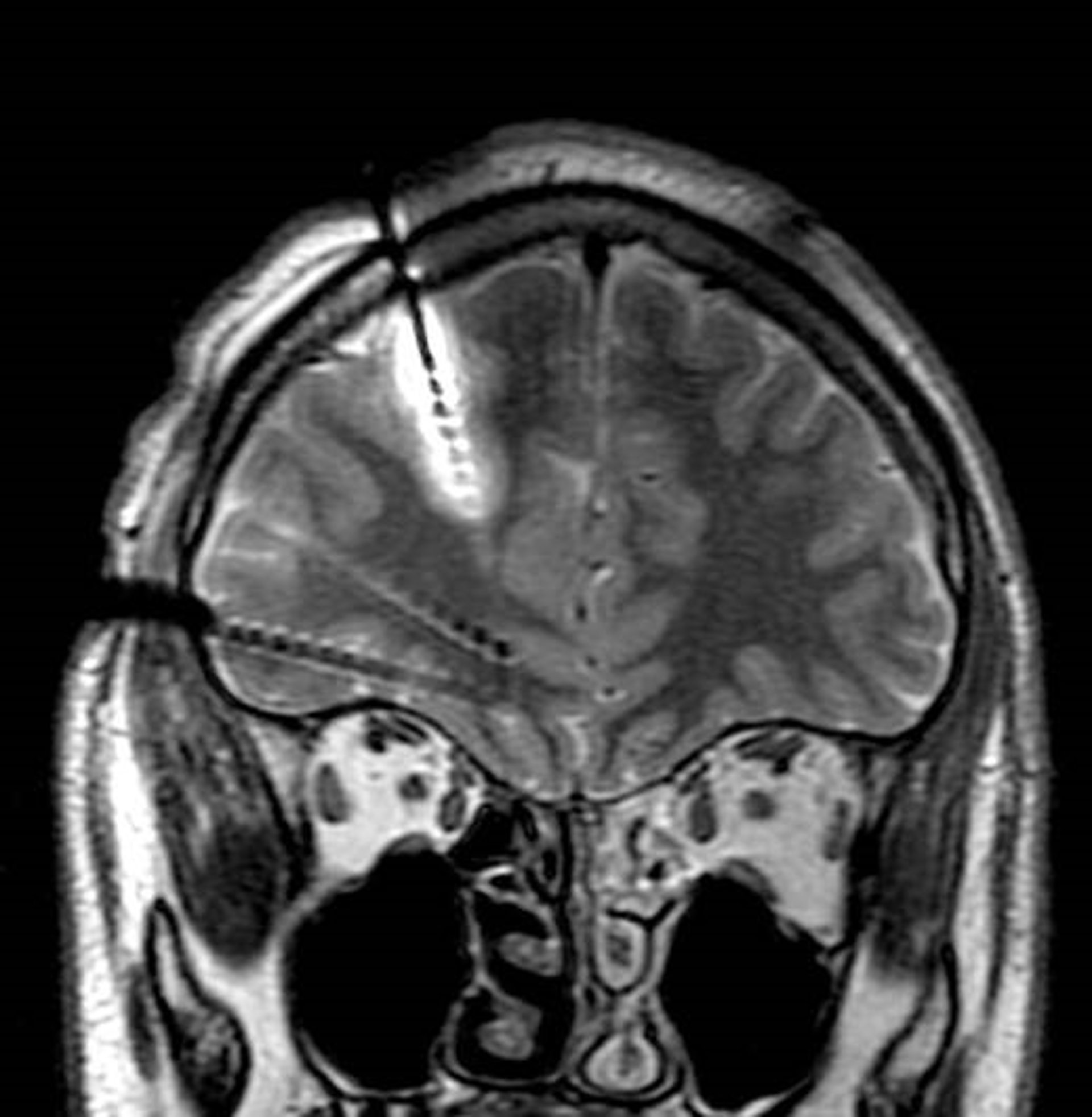
En la imagen se aprecia cómo ha sido implantado uno de los electrodos mostrando una lesión en esa localización alrededor del electrodo realizándose termocoagulación. - HOSPITAL RUBER INTERNACIONAL
Infosalus
Publicado: miércoles, 6 noviembre 2019 14:56


MADRID, 6 Nov. (EUROPA PRESS) -

El Hospital Ruber Internacional ha implantado una nueva técnica para el tratamiento de la epilepsia que permite identificar el foco epiléptico en nueve de cada diez pacientes con enfermedad refractaria, es decir, en aquellos en los que las crisis epilépticas no se pueden controlar con medicación.

Esta técnica, basada en electrodos profundos y termocoagulación, se ha validado a través del primer estudio en pacientes españoles sobre este procedimiento, que se ha publicado en la revista 'Neurología', editada por la Sociedad Española de Neurología (SEN). Los buenos resultados que se extraen del estudio son similares a los de otros proyectos llevados a cabo a nivel internacional, en países como Francia, Italia y Estados Unidos.

El trabajo, realizado en 71 niños y adultos, indica que esta nueva técnica permite localizar el foco epiléptico en muchos pacientes en los que antes no era posible. Una vez localizado el foco puede tratarse mediante termocoagulación, que utiliza los mismos electrodos ya implantados y que es menos invasivo que otras técnicas, o incluso, proceder a la cirugía. En el 90 por ciento de los casos, fue posible identificar el foco epiléptico y tratarlo mediante termocoagulación o cirugía. Además, en el 77 por ciento el resultado de la cirugía ha sido positivo.

"La mayoría de los pacientes intervenidos quedaron libres de crisis o con crisis infrecuentes que no interferían con su actividad habitual. En todos ellos se observó una marcada mejoría en su calidad de vida, fue posible reducir la medicación antiepiléptica y en algunos casos suspenderla. La termocoagulación eliminó el foco de epilepsia y evitó la cirugía en cerca del 5% de los casos", ha explicado el director del Programa de Epilepsia del Hospital Ruber Internacional, Antonio Gil-Nagel Rein.

Según los expertos del hospital madrileño, la extirpación quirúrgica del foco epiléptico (la zona enferma) permite el control de las crisis en el 70 por ciento de los pacientes. "Esta localización del foco epiléptico es sencilla cuando éste es visible en una resonancia magnética (RM) cerebral, pero se complica cuando la resonancia magnética es normal, aproximadamente el 75 por ciento de los pacientes", ha añadido.

Contenido patrocinado