Fibras de colágeno pulmonar evitan la tuberculosis

Pulmones
KRZYSZTOFM
Infosalus
Actualizado: martes, 20 abril 2010 14:16

BARCELONA 20 Abr. (EUROPA PRESS) -

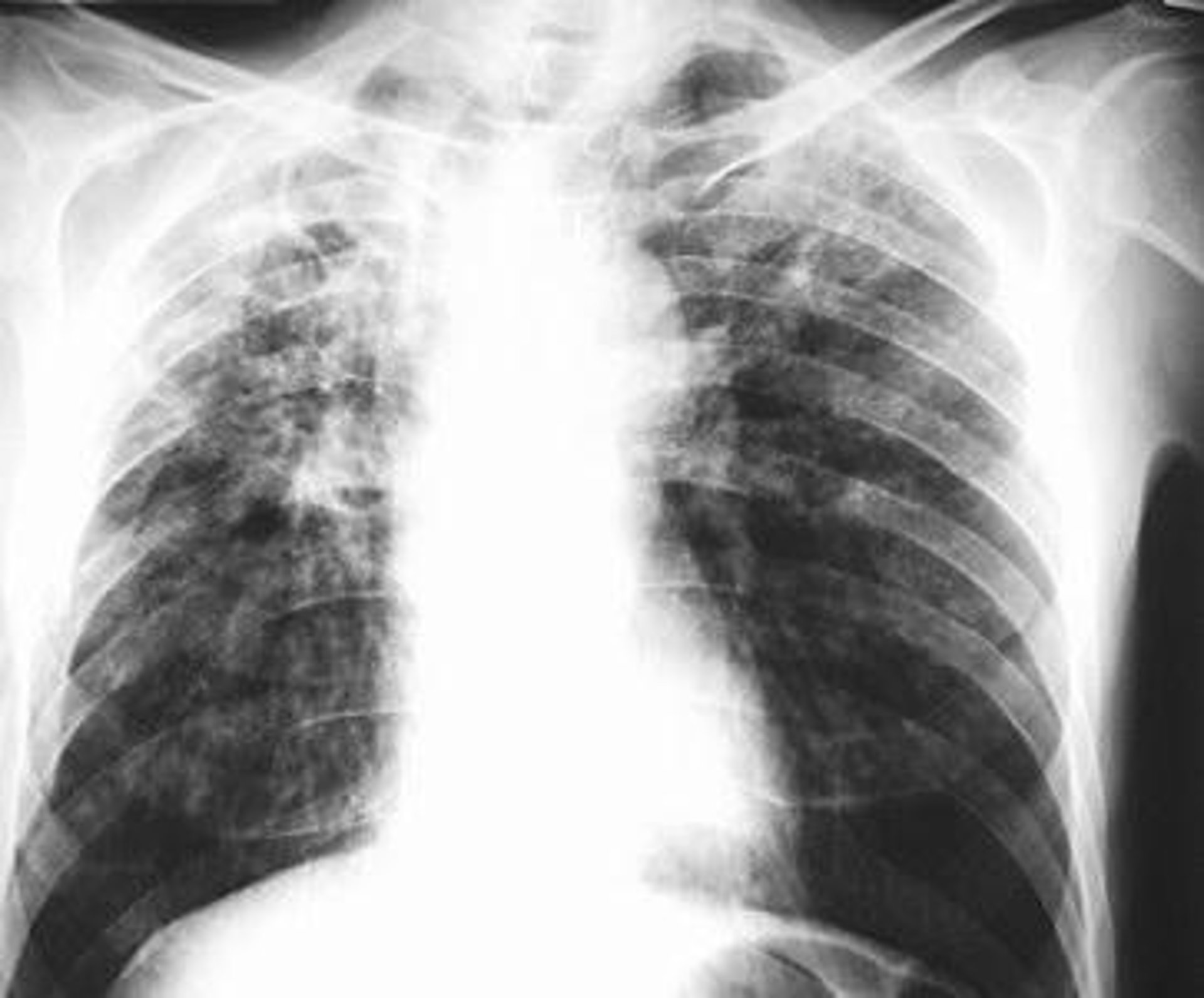
Investigadores del Hospital Germans Trias i Pujol, en Badalona (Barcelona), y del Centro de Investigación en Sanidad Animal (CReSA) de la Universitat Autònoma de Barcelona (UAB) han descubierto que fibras de colágeno pulmonar evitan que nueve de cada diez humanos infectados de tuberculosis desarrolle la enfermedad, más allá del consumo de antibióticos.

El hallazgo, que publica la revista científica 'PLOS One', demuestra por primera vez la importancia del tejido pulmonar en el control de la infección gracias a investigaciones en cerdos, que generalmente se hacían en ratones.

Y es que los cerdos tienen un tejido pulmonar diferente al de los ratones, pero muy similar al de los humanos, en que el órgano se estructura con fibras de colágeno que tienen la capacidad de envolver y aislar las lesiones que causan las bacterias de la tuberculosis dentro de los pulmones, lo que evita que las bacterias mismas vayan reinfectando estos órganos.

La tuberculosis es una enfermedad infecciosa provocada por la entrada en el organismo de una bacteria del género 'mycobacterium', que normalmente se instala en los pulmones. Los síntomas de la enfermedad, que es muy frecuente que no se desarrolle o tarde muchos años en hacerlo, causan tos seca de más de semanas de evolución con fiebre, y ocasiona lesiones en los lóbulos pulmonares superiores, e incluso meningitis.

Si bien históricamente se ha creído que el bacterio se instala en los pulmones después de entrar en el organismo y permanece latente hasta desarrollar la enfermedad, los investigadores de la Unidad de Tuberculosis Experimental de la Fundación Instituto de Investigación en Ciencias de la Salud Germans Trias i Pujol (IGTP) ya apostaron hace años por una nueva hipótesis.

A ésta la han bautizado como 'Hipótesis dinámica', y sostiene que las bacterias de la tuberculosis una vez están en el tejido pulmonar van reproduciéndose, no se quedan quietas, sino que van pasando a formar parte de los aerosoles que se generan en los pulmones de los infectados, y con el movimiento se van reinfectando nuevos puntos.

Ello causa constantes lesiones que no son destacables con las radiografías del tórax, el método diagnóstico que actualmente se utiliza para saber si una persona que ha dado positivo en la prueba de la tuberculina está desarrollando la enfermedad o no.

Estas lesiones por las que apostaba la hipótesis no se habían podido visualizar en ratones, conejos porcinos o macacos. Los investigadores catalanes las han localizado por primera vez en vivo a raíz del estudio con cerdos, a la vez que coinciden con las que describió hace más de medio siglo el Instituto Pasteur de París, que llevó a cabo necropsias en personas que se sabía que tenían una infección tuberculosa latente, infectados sin la enfermedad.

De esta forma, los investigadores, liderados por el jefe de la Unidad de Tuberculosis Experimental, Pere-Joan Cardona, no sólo han descubierto el motivo de por qué sólo una decena parte de los humanos infectados desarrollan la tuberculosis, sino las lesiones microscópicas que causa.

Contenido patrocinado