En España se diagnostican más de 2.000 nuevos casos de esclerosis múltiple al año

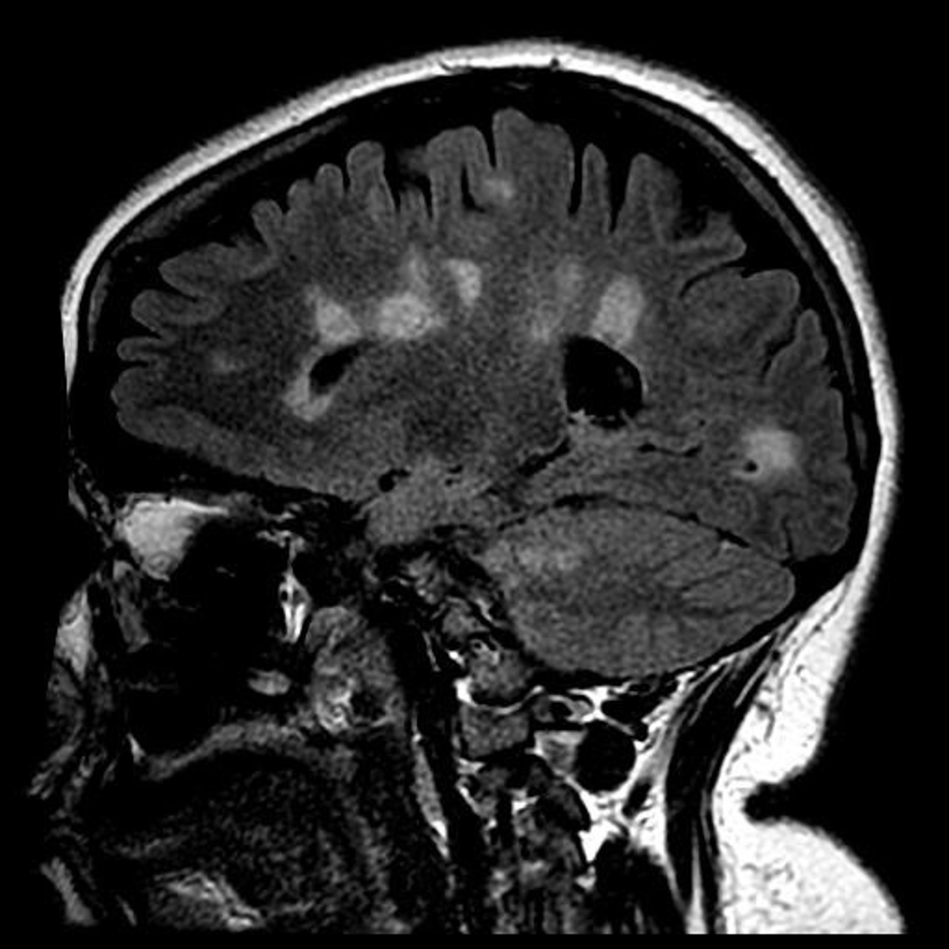
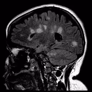
Archivo - Cicatrización del cerebro en la esclerosis múltiple
Archivo - Cicatrización del cerebro en la esclerosis múltiple - UNIVERSITY OF BRITISH COLUMBIA - Archivo
Infosalus
Publicado: lunes, 30 mayo 2022 10:07


MADRID, 30 May. (EUROPA PRESS) -

En España se diagnostican más de 2.000 nuevos casos de esclerosis múltiple al año, según ha informado la Sociedad Española de Neurología (SEN) con motivo de la celebración, este lunes, del Día Mundial de la enfermedad.

Se trata de una patología autoinmune que afecta al sistema nervioso central caracterizada porque los pacientes presentan episodios recurrentes de "brotes" de disfunción neurológica. Se estima que en el mundo padecen esta enfermedad unos 3 millones de personas y que en Europa afecta a más de 700.000 personas. En España la padecen unas 55.000 personas.

"La presentación clínica más habitual de la esclerosis múltiple es la presencia de brotes y remisiones que, tras un período variable de tiempo, normalmente entre 10 y 15 años da paso una evolución progresiva durante la cual se reducen, o desaparecen por completo, estas recaídas. No obstante, en un 10-15 por ciento de los pacientes, la enfermedad se presenta con una progresión continua desde el inicio, con períodos más o menos largos de estabilidad", ha explicado el coordinador del Grupo de Estudio de Enfermedades Demielinizantes de la Sociedad Española de Neurología, Miguel Ángel Llaneza.

En todo caso, prosigue, se trata de una enfermedad muy variable en cuanto a síntomas y evolución. Además, el hecho de que en los últimos años se hayan introducido nuevos tratamientos, ha hecho cambiar de manera considerable la historia natural de la enfermedad.

"Por esa razón, en la actualidad, no se puede predecir para un paciente concreto cuál será su evolución, si tendrá más o menos brotes o cómo será el grado de discapacidad que podrá llegar a desarrollar, si bien no hay que olvidar que sigue siendo una enfermedad crónica y con un alto coste sociosanitario. Solo en Europa supone un coste de más de 9.000 millones de euros anuales", ha añadido el experto.

Al menos un 25 por ciento de los pacientes con esclerosis múltiple ingresan anualmente en el hospital debido a recaídas de su enfermedad y más del 50 por ciento de los pacientes tienen una afectación importante que les empeora considerablemente su calidad de vida. La espasticidad, presente en el 80 por ciento de los pacientes, y la fatiga, en el 95 por ciento de los casos, son los síntomas más frecuentes en las personas con esclerosis múltiple. Asimismo, hasta un 70 por ciento de los pacientes llegará a desarrollar problemas cognitivos.

Además, los pacientes con esclerosis múltiple tienen un riesgo mayor que la población general de desarrollar comorbilidades, tanto agudas como crónicas. Casi el 80 por ciento de los pacientes con esclerosis múltiple presentan, entre otras patologías, ansiedad, depresión o hipertensión.

Diferentes estudios internacionales también confirman que España es una región con una prevalencia media-alta de esta enfermedad a lo largo de toda su geografía, aunque las cifras más altas de prevalencia proceden de zonas con latitudes más altas.

Actualmente en España se diagnostican más de 2.000 nuevos casos de esclerosis múltiple al año, principalmente en personas de entre 20 y 40 años, convirtiendo a la esclerosis múltiple en la enfermedad neurológica más frecuente en adultos jóvenes y, en los países desarrollados, la segunda causa de discapacidad en adultos jóvenes, únicamente superada por los traumatismos cráneo-encefálicos.

"Aunque los primeros síntomas de la esclerosis múltiple pueden aparecer en personas de entre 10 y 60 años, y menos del 6% del total de casos su aparición se da por debajo o por encima de estas edades, la edad de inicio de la esclerosis múltiple sigue siendo fundamentalmente entre la segunda y la cuarta década de vida. No obstante, en los últimos años, también estamos observando que está aumentado ligeramente la edad de inicio de esta enfermedad", ha recalcado Llaneza.

Las razones de este aumento progresivo en el número de casos, del mayor aumento de casos entre las mujeres, pero también de los cambios en la edad de inicio, aún no están claras, si bien no solo pueden ser atribuibles a que se hayan mejorado las técnicas diagnósticas. Las investigaciones sugieren que detrás de estos incrementos pueden estar tanto cambios de vida como una mayor exposición a los diversos factores ambientales a los que se ha asociado esta enfermedad.

"La esclerosis múltiple es una enfermedad de etiología desconocida, pero se presume que se produce, en personas con una determinada predisposición genética, ante la exposición a ciertos factores ambientales. Las infecciones víricas (especialmente la infección por el virus de Epstein-Barr), el tabaquismo, la deficiencia de vitamina D o algunos patrones hormonales, son factores que parecen influir en el desarrollo de esta enfermedad", ha enfatizado el experto.

Además, tal y como ha argumentado, de haberse identificado más de 200 genes que parecen conferir al individuo un mayor riesgo de padecerla, son muchos los estudios realizados para tratar de identificar cuál, o cuáles, son los factores ambientales directamente relacionados con el desarrollo de la enfermedad sin que hasta ahora haya podido establecerse una relación definitivamente consistente con ninguno de ellos.

Contenido patrocinado