Un equipo de investigadores logra detectar placas amiloides con tomografías PET

Foto de la Noticia
Foto: + Ampliar
Infosalus
Actualizado: martes, 12 agosto 2008 18:58

   WASHINGTON, 12 Ago. (Reuters/EP) -

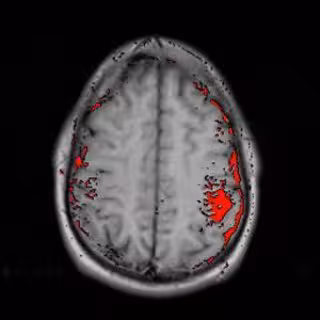
   Un equipo de la Universidad de Kuopio (Finlandia) ha conseguido determinar si una persona tiene placas amiloides, principal síntoma indicativo de la enfermedad de Alzheimer, a través de imágenes obtenidas con tomografía por emisión de positrones (PET), según demuestra un estudio publicado en la revista 'Archives of Neurology'. Por lo general, los médicos no pueden identificar las placas hasta que el cerebro es analizado en la autopsia.

   Esta tecnología podría permitir el diagnóstico del Alzheimer en fases iniciales y paliar a través del tratamiento farmacológico el deterioro cognitivo asociado a esta enfermedad.

   El estudio involucró a diez personas que habían sido sometidas a una biopsia cerebral por un supuesto aumento anormal del fluido cerebroespinal. Los pacientes se sometieron a una tomografía PET que, tras la inyección de un marcador químico, consiguió determinar correctamente en nueve de los diez pacientes cuáles tenían placas amiloides y cuáles no.

   Ninguna de las diez personas que participaron en el estudio había desarrollado una demencia severa en el momento de someterse a las pruebas. Sin embargo, tras las tomografía se detectó que seis de las personas presentaban placas indicativas de un estadio precoz de la enfermedad de Alzheimer.


Contenido patrocinado