Asocian diferencias estructurales del cerebro con la dislexia

Cerebro
WIKIMEDIA COMMONS
Infosalus
Actualizado: martes, 11 mayo 2010 12:40

MADRID 11 May. (EUROPA PRESS) -

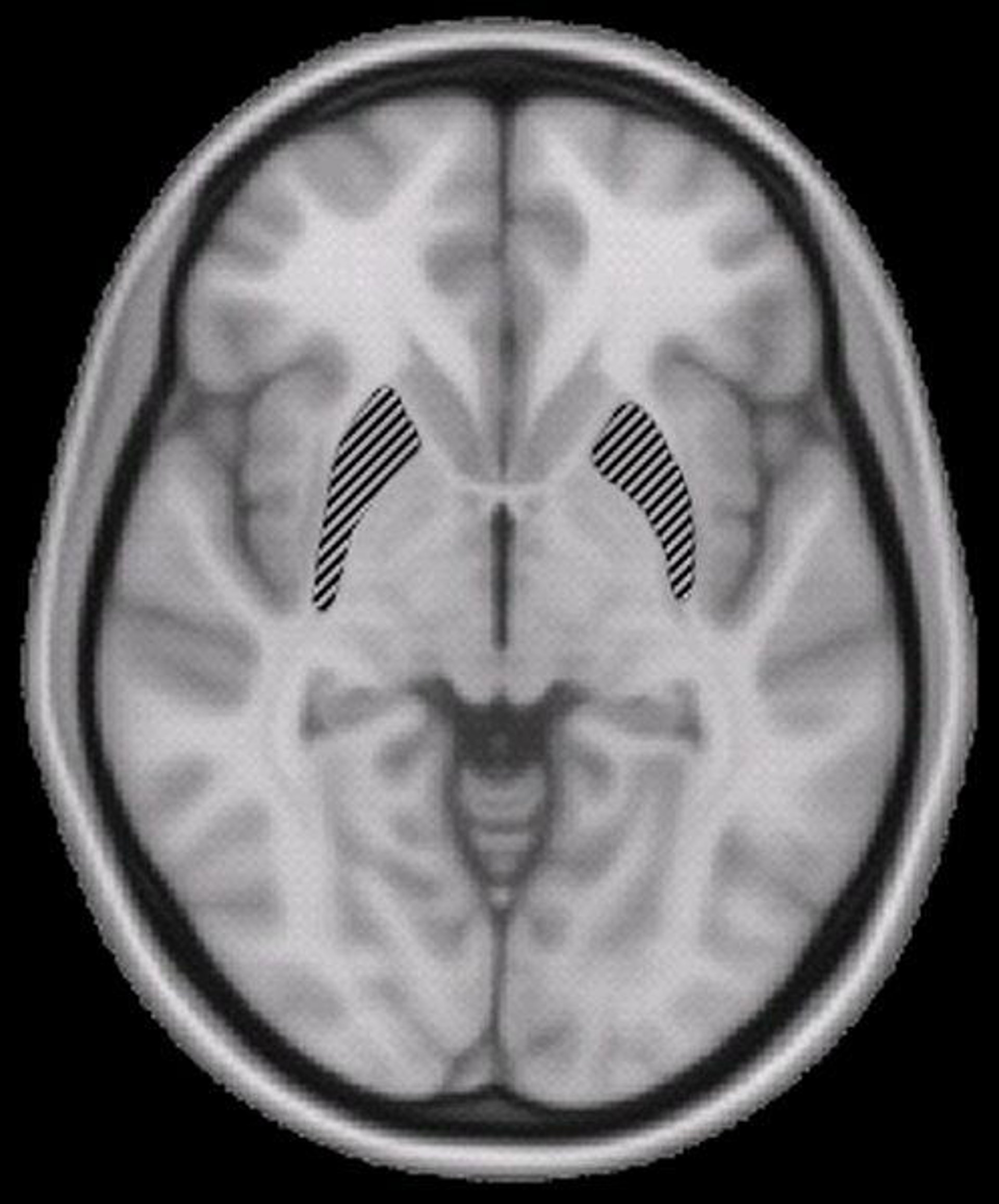
Las dificultades que sufren los niños con dislexia a la hora de leer, escribir o deletrear podrían estar relacionadas con diferencias estructurales existentes en una importante vía de información que hay en el cerebro y que juega un importante rol en el lenguaje oral, han descubierto investigadores de la Universidad Vanderbilt (Estados Unidos) en un estudio que se publicará el próximo junio en la revista especializada 'Cortex'.

Los investigadores Sheryl Rimrodt y Laurie Cutting, de la Universidad Vanderbilt, en colaboración con la Universidad Johns Hopkins y el Instituto Kennedy Krieger, utilizaron una nueva técnica de resonancia magnética por imagen (MRI) denominada DTI-- para buscar evidencias que vincularan la dislexia con diferencias estructurales en la materia blanca situada en el hemisferio izquierdo del cerebro, donde se aloja el lenguaje.

La materia blanca se compone de fibras que actúan como los cables que permiten la comunicación entre las células cerebrales. La red del lenguaje situada en el hemisferio izquierdo del cerebro está compuesta de manojos de estas fibras y ramificaciones que se extienden desde la parte de atrás del cerebro (donde se incluyen las células de la visión) hasta las partes frontales, responsables de la articulación y el habla.

Según Cutting, "cuando se está leyendo, básicamente se están diciendo en alto cosas que están en la cabeza". "Si una persona tiene algún problema en la materia blanca de este área, la parte frontal y la de atrás del cerebro no se comunican la una con la otra. Esto puede afectar a la lectura, porque se necesitan ambas zonas para actuar como una sóla unidad", indicó.

Los autores del trabajo usaron la técnica de DTI para seguir el curso de un importante bolsa de materia blanca en esta red y descubrieron que recorría la región frontal del cerebro, conocida por estar peor organizada en el cerebro disléxico. También descubrieron que las fibras en esa parte frontal estaban orientadas de forma distinta en el disléxico.

Según Rimrodt, "es muy emocionante encontrar una convergencia entre las evidencias del MRI que va más allá de identificar una región del cerebro que difiere en la dislexia a vincularla a una estructura identificable y explorar sus características físicas". "Esto nos permite estar algo más cerca de entender cómo se produce la dislexia", concluyó.

Contenido patrocinado